• 文献检索
  • 文档翻译
  • 深度研究
  • 学术资讯
  • Suppr Zotero 插件Zotero 插件
  • 邀请有礼
  • 套餐&价格
  • 历史记录
应用&插件
Suppr Zotero 插件Zotero 插件浏览器插件Mac 客户端Windows 客户端微信小程序
定价
高级版会员购买积分包购买API积分包
服务
文献检索文档翻译深度研究API 文档MCP 服务
关于我们
关于 Suppr公司介绍联系我们用户协议隐私条款
关注我们

Suppr 超能文献

核心技术专利:CN118964589B侵权必究
粤ICP备2023148730 号-1Suppr @ 2026

文献检索

告别复杂PubMed语法,用中文像聊天一样搜索,搜遍4000万医学文献。AI智能推荐,让科研检索更轻松。

立即免费搜索

文件翻译

保留排版,准确专业,支持PDF/Word/PPT等文件格式,支持 12+语言互译。

免费翻译文档

深度研究

AI帮你快速写综述,25分钟生成高质量综述,智能提取关键信息,辅助科研写作。

立即免费体验

一名乳腺癌患者出现眼球扑动的抗Ri副肿瘤性神经综合征

Anti-Ri Paraneoplastic Neurological Syndrome Presenting with Ocular Flutter in a Patient with Breast Cancer.

作者信息

Cascone Francesca, Stella Federica, Barbato Christian, Minni Antonio, Attanasio Giuseppe

机构信息

Department of Sense Organs, Sapienza University of Rome, Policlinico Umberto I, 00161 Roma, Italy.

Institute of Biochemistry and Cell Biology (IBBC-CNR), Sapienza University Rome, Policlinico Umberto I, 00161 Roma, Italy.

出版信息

Brain Sci. 2025 Jun 11;15(6):628. doi: 10.3390/brainsci15060628.

DOI:10.3390/brainsci15060628
PMID:40563798
原文链接:https://pmc.ncbi.nlm.nih.gov/articles/PMC12191030/
Abstract

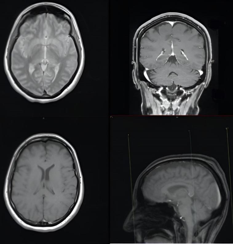
Ocular flutter is an uncommon ophthalmic finding that may indicate paraneoplastic phenomena, and it is clinically characterized by intermittent bursts of conjugate, horizontal saccades without an intersaccadic interval. Ocular flutter must be differentiated from opsoclonus, which, although also characteristic of certain paraneoplastic syndromes, is instead defined by multidirectional saccades on both the horizontal and vertical planes. This report describes a very rare presentation of anti-Ri syndrome in a patient with an undiagnosed breast cancer, presenting with ocular flutter, dizziness, blurred vision, photophobia, and vomiting. Comprehensive evaluations, including contrast-enhanced brain Magnetic Resonance Imaging (MRI), brain Computed Tomography (CT) scan, ophthalmological assessment, viral serology, complete blood count and thyroid, renal coagulation, hepatic function assessments, vitamin D and B12 levels, were all normal. Upon excluding other potential etiologies for the neurological symptoms, a paraneoplastic origin was considered. Serological tests confirmed the presence of anti-Ri onconeural antibodies, and a whole-body CT scan identified nodules in the right breast. Despite surgical excision of the primary tumor and subsequent medical therapy, there was no improvement in the neurological symptoms. Follow-up evaluations at 2 months, 6 months, 1 year and 2 years revealed persistent vestibular and neurological symptoms, with serum tests remaining positive for anti-Ri antibodies and no clinical or radiological evidence of neoplastic recurrence.

摘要

眼球扑动是一种罕见的眼科表现,可能提示副肿瘤现象,其临床特征为共轭性水平扫视的间歇性发作,且无扫视间隔。眼球扑动必须与眼阵挛相鉴别,眼阵挛虽然也是某些副肿瘤综合征的特征,但它是由水平和垂直平面上的多向扫视所定义。本报告描述了一名未确诊乳腺癌患者出现的非常罕见的抗Ri综合征表现,患者伴有眼球扑动、头晕、视力模糊、畏光和呕吐。包括增强脑磁共振成像(MRI)、脑计算机断层扫描(CT)、眼科评估、病毒血清学、全血细胞计数以及甲状腺、肾脏凝血、肝功能评估、维生素D和B12水平在内的全面评估均正常。在排除神经系统症状的其他潜在病因后,考虑为副肿瘤起源。血清学检测证实存在抗Ri肿瘤神经抗体,全身CT扫描发现右乳有结节。尽管对原发肿瘤进行了手术切除并随后进行了药物治疗,但神经系统症状并无改善。在2个月、6个月、1年和2年时的随访评估显示,前庭和神经系统症状持续存在,血清检测抗Ri抗体仍为阳性,且无肿瘤复发的临床或影像学证据。

https://cdn.ncbi.nlm.nih.gov/pmc/blobs/c707/12191030/f9108291c6ff/brainsci-15-00628-g008.jpg
https://cdn.ncbi.nlm.nih.gov/pmc/blobs/c707/12191030/3651277ffa6e/brainsci-15-00628-g001.jpg
https://cdn.ncbi.nlm.nih.gov/pmc/blobs/c707/12191030/66704bc7bb06/brainsci-15-00628-g002.jpg
https://cdn.ncbi.nlm.nih.gov/pmc/blobs/c707/12191030/1b150f935195/brainsci-15-00628-g003.jpg
https://cdn.ncbi.nlm.nih.gov/pmc/blobs/c707/12191030/1cdffd2ed0f9/brainsci-15-00628-g004.jpg
https://cdn.ncbi.nlm.nih.gov/pmc/blobs/c707/12191030/8fccc2f1ea9d/brainsci-15-00628-g005.jpg
https://cdn.ncbi.nlm.nih.gov/pmc/blobs/c707/12191030/770f8435d363/brainsci-15-00628-g006.jpg
https://cdn.ncbi.nlm.nih.gov/pmc/blobs/c707/12191030/71eccb1aebe1/brainsci-15-00628-g007.jpg
https://cdn.ncbi.nlm.nih.gov/pmc/blobs/c707/12191030/f9108291c6ff/brainsci-15-00628-g008.jpg
https://cdn.ncbi.nlm.nih.gov/pmc/blobs/c707/12191030/3651277ffa6e/brainsci-15-00628-g001.jpg
https://cdn.ncbi.nlm.nih.gov/pmc/blobs/c707/12191030/66704bc7bb06/brainsci-15-00628-g002.jpg
https://cdn.ncbi.nlm.nih.gov/pmc/blobs/c707/12191030/1b150f935195/brainsci-15-00628-g003.jpg
https://cdn.ncbi.nlm.nih.gov/pmc/blobs/c707/12191030/1cdffd2ed0f9/brainsci-15-00628-g004.jpg
https://cdn.ncbi.nlm.nih.gov/pmc/blobs/c707/12191030/8fccc2f1ea9d/brainsci-15-00628-g005.jpg
https://cdn.ncbi.nlm.nih.gov/pmc/blobs/c707/12191030/770f8435d363/brainsci-15-00628-g006.jpg
https://cdn.ncbi.nlm.nih.gov/pmc/blobs/c707/12191030/71eccb1aebe1/brainsci-15-00628-g007.jpg
https://cdn.ncbi.nlm.nih.gov/pmc/blobs/c707/12191030/f9108291c6ff/brainsci-15-00628-g008.jpg

相似文献

1
Anti-Ri Paraneoplastic Neurological Syndrome Presenting with Ocular Flutter in a Patient with Breast Cancer.一名乳腺癌患者出现眼球扑动的抗Ri副肿瘤性神经综合征
Brain Sci. 2025 Jun 11;15(6):628. doi: 10.3390/brainsci15060628.
2
Ventilation tubes (grommets) for otitis media with effusion (OME) in children.鼓膜置管(通气管)用于儿童分泌性中耳炎(OME)。
Cochrane Database Syst Rev. 2023 Nov 15;11(11):CD015215. doi: 10.1002/14651858.CD015215.pub2.
3
Cost-effectiveness of using prognostic information to select women with breast cancer for adjuvant systemic therapy.利用预后信息为乳腺癌患者选择辅助性全身治疗的成本效益
Health Technol Assess. 2006 Sep;10(34):iii-iv, ix-xi, 1-204. doi: 10.3310/hta10340.
4
Pharmacological intervention for irritability, aggression, and self-injury in autism spectrum disorder (ASD).自闭症谱系障碍(ASD)中易怒、攻击行为和自我伤害的药物干预。
Cochrane Database Syst Rev. 2023 Oct 9;10(10):CD011769. doi: 10.1002/14651858.CD011769.pub2.
5
A rapid and systematic review of the clinical effectiveness and cost-effectiveness of topotecan for ovarian cancer.拓扑替康治疗卵巢癌的临床有效性和成本效益的快速系统评价。
Health Technol Assess. 2001;5(28):1-110. doi: 10.3310/hta5280.
6
Interventions for eye movement disorders due to acquired brain injury.针对后天性脑损伤所致眼球运动障碍的干预措施。
Cochrane Database Syst Rev. 2018 Mar 5;3(3):CD011290. doi: 10.1002/14651858.CD011290.pub2.
7
Systemic pharmacological treatments for chronic plaque psoriasis: a network meta-analysis.慢性斑块状银屑病的全身药理学治疗:一项网状荟萃分析。
Cochrane Database Syst Rev. 2017 Dec 22;12(12):CD011535. doi: 10.1002/14651858.CD011535.pub2.
8
Inhaled mannitol for cystic fibrosis.吸入用甘露醇治疗囊性纤维化。
Cochrane Database Syst Rev. 2018 Feb 9;2(2):CD008649. doi: 10.1002/14651858.CD008649.pub3.
9
Curative catheter ablation in atrial fibrillation and typical atrial flutter: systematic review and economic evaluation.心房颤动和典型心房扑动的根治性导管消融术:系统评价与经济评估
Health Technol Assess. 2008 Nov;12(34):iii-iv, xi-xiii, 1-198. doi: 10.3310/hta12340.
10
Systemic pharmacological treatments for chronic plaque psoriasis: a network meta-analysis.慢性斑块状银屑病的全身药理学治疗:一项网状Meta分析。
Cochrane Database Syst Rev. 2020 Jan 9;1(1):CD011535. doi: 10.1002/14651858.CD011535.pub3.

本文引用的文献

1
Opsoclonus and ocular flutter: evaluation and management.眼球震颤和眼阵挛:评估与管理。
Curr Opin Ophthalmol. 2023 Nov 1;34(6):465-469. doi: 10.1097/ICU.0000000000000998. Epub 2023 Aug 21.
2
Paraneoplastic Neurological Syndromes of the Central Nervous System: Pathophysiology, Diagnosis, and Treatment.中枢神经系统副肿瘤性神经综合征:病理生理学、诊断与治疗
Biomedicines. 2023 May 9;11(5):1406. doi: 10.3390/biomedicines11051406.
3
Minocycline as Treatment for Psychiatric and Neurological Conditions: A Systematic Review and Meta-Analysis.
米诺环素治疗精神和神经系统疾病的疗效:系统评价和荟萃分析。
Int J Mol Sci. 2023 Mar 9;24(6):5250. doi: 10.3390/ijms24065250.
4
Human Umbilical Cord Mesenchymal Stem Cells for Severe Neurological Sequelae due to Anti--Methyl-d-Aspartate Receptor Encephalitis: First Case Report.抗 N-甲基-D-天冬氨酸受体脑炎致严重神经系统后遗症患者应用人脐带间充质干细胞治疗:首例报告
Cell Transplant. 2022 Jan-Dec;31:9636897221110876. doi: 10.1177/09636897221110876.
5
Antibody Therapies in Autoimmune Encephalitis.自身免疫性脑炎的抗体治疗。
Neurotherapeutics. 2022 Apr;19(3):823-831. doi: 10.1007/s13311-021-01178-4. Epub 2022 Jan 20.
6
Movement disorders associated with neuronal antibodies: a data-driven approach.与神经元抗体相关的运动障碍:一种数据驱动的方法。
J Neurol. 2022 Jul;269(7):3511-3521. doi: 10.1007/s00415-021-10934-7. Epub 2022 Jan 13.
7
Breast cancer-associated opsoclonus-myoclonus syndrome: a case report.乳腺癌相关性眼震-肌阵挛综合征:病例报告。
World J Surg Oncol. 2021 Nov 16;19(1):328. doi: 10.1186/s12957-021-02436-7.
8
International Consensus Recommendations for the Treatment of Pediatric NMDAR Antibody Encephalitis.国际儿童抗 NMDAR 脑炎治疗共识推荐。
Neurol Neuroimmunol Neuroinflamm. 2021 Jul 22;8(5). doi: 10.1212/NXI.0000000000001052. Print 2021 Jul.
9
Refractory Nivolumab-Induced Myasthenia Gravis Treated With Abatacept.用阿巴西普治疗难治性纳武单抗诱导的重症肌无力
Am J Ther. 2022;29(5):e576-e577. doi: 10.1097/MJT.0000000000001405. Epub 2021 Jul 9.
10
Updated Diagnostic Criteria for Paraneoplastic Neurologic Syndromes.更新后的副肿瘤性神经系统综合征诊断标准。
Neurol Neuroimmunol Neuroinflamm. 2021 May 18;8(4). doi: 10.1212/NXI.0000000000001014. Print 2021 Jul.