Suppr超能文献

超越曲线:脊髓内肋骨小头疝作为1型神经纤维瘤病小儿患者营养不良性脊柱侧凸的关键并发症

Beyond the Curve: Intra-spinal Rib Head Herniation as a Critical Complication of Dystrophic Scoliosis in Pediatric Patients With Neurofibromatosis Type 1.

作者信息

Wei Katherine, Launier Kristen, Aminian Afshin, Eghbal Azam, Nikam Rahul

机构信息

Radiology, University of California Irvine School of Medicine, Irvine, USA.

Radiology, Children's Hospital of Orange County, Orange, USA.

出版信息

Cureus. 2025 May 26;17(5):e84841. doi: 10.7759/cureus.84841. eCollection 2025 May.

Abstract

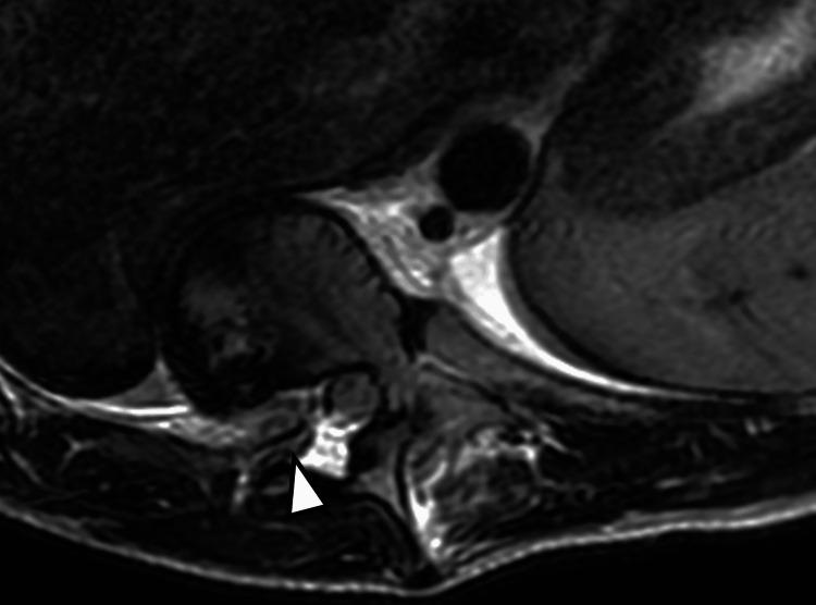
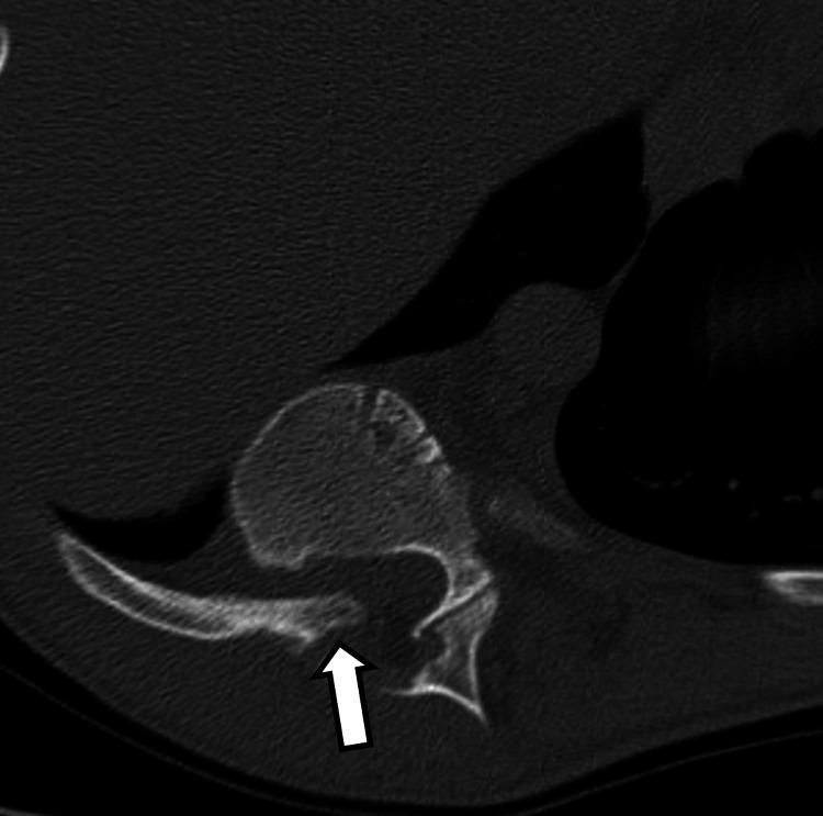
Neurofibromatosis type 1 (NF1) is frequently associated with a multitude of skeletal abnormalities including dystrophic scoliosis. A rare but severe complication of dystrophic scoliosis in NF1 is the herniation of rib heads into the spinal canal, potentially leading to devastating spinal cord compression. We present two pediatric cases of NF1-associated dystrophic scoliosis with intra-spinal herniation of rib heads. Case 1 involves a teenage male with progressive thoracolumbar scoliosis and protrusion of T10 and T11 rib heads into the spinal canal, who underwent successful posterior spinal fusion (T3-L3) with instrumentation, osteotomies, and rib head resection. Case 2 involves a teenage female with progressive thoracolumbar scoliosis and intra-spinal protrusion of T4 and T5 rib heads, who remains neurologically intact despite worsening curvature. Intra-spinal herniation of rib heads is a clinically important complication of NF1-associated dystrophic scoliosis requiring close surveillance. Familiarity with this complication is important as imaging findings may be subtle early on. Surgical management typically involves both spinal fusion and resection of rib heads to prevent neurological compromise, though timing may vary based on symptoms and progression. Multidisciplinary care is essential.

摘要

1型神经纤维瘤病(NF1)常伴有多种骨骼异常,包括营养不良性脊柱侧凸。NF1中营养不良性脊柱侧凸的一种罕见但严重的并发症是肋骨小头疝入椎管,可能导致毁灭性的脊髓压迫。我们报告两例NF1相关的营养不良性脊柱侧凸伴肋骨小头椎管内疝的儿科病例。病例1为一名青少年男性,患有进行性胸腰椎脊柱侧凸,T10和T11肋骨小头突入椎管,接受了成功的后路脊柱融合术(T3-L3),包括器械固定、截骨术和肋骨小头切除术。病例2为一名青少年女性,患有进行性胸腰椎脊柱侧凸,T4和T5肋骨小头椎管内突出,尽管脊柱侧凸加重,但神经功能仍保持完好。肋骨小头椎管内疝是NF1相关的营养不良性脊柱侧凸的一种重要临床并发症,需要密切监测。熟悉这种并发症很重要,因为早期影像学表现可能很细微。手术治疗通常包括脊柱融合和肋骨小头切除,以防止神经功能受损,不过手术时机可能因症状和病情进展而异。多学科护理至关重要。

https://cdn.ncbi.nlm.nih.gov/pmc/blobs/2245/12191422/754b47e4f086/cureus-0017-00000084841-i01.jpg

本文引用的文献

2
Revised diagnostic criteria for neurofibromatosis type 1 and Legius syndrome: an international consensus recommendation.
Genet Med. 2021 Aug;23(8):1506-1513. doi: 10.1038/s41436-021-01170-5. Epub 2021 May 19.
3
The Use of MEK Inhibitors in Neurofibromatosis Type 1-Associated Tumors and Management of Toxicities.
Oncologist. 2020 Jul;25(7):e1109-e1116. doi: 10.1634/theoncologist.2020-0069. Epub 2020 Apr 22.
4
Health Supervision for Children With Neurofibromatosis Type 1.
Pediatrics. 2019 May;143(5). doi: 10.1542/peds.2019-0660.
5
Neurofibromatosis type 1 (NF1): diagnosis and management.
Handb Clin Neurol. 2013;115:939-55. doi: 10.1016/B978-0-444-52902-2.00053-9.
6
Rib head protrusion into the central canal in type 1 neurofibromatosis.
Pediatr Radiol. 2010 Dec;40(12):1902-9. doi: 10.1007/s00247-010-1789-1. Epub 2010 Aug 3.
7
Neurofibromatosis type 1.
J Am Acad Dermatol. 2009 Jul;61(1):1-14; quiz 15-6. doi: 10.1016/j.jaad.2008.12.051.
8
Late post-operative paraparesis after rib penetration of the spinal canal in a patient with neurofibromatous scoliosis.
J Orthop Traumatol. 2008 Sep;9(3):163-6. doi: 10.1007/s10195-008-0010-x. Epub 2008 May 10.
10
Modulation of spinal deformities in patients with neurofibromatosis type 1.
Spine (Phila Pa 1976). 2000 Jan;25(1):69-75. doi: 10.1097/00007632-200001010-00013.

文献AI研究员

20分钟写一篇综述,助力文献阅读效率提升50倍。

立即体验

用中文搜PubMed

大模型驱动的PubMed中文搜索引擎

马上搜索

文档翻译

学术文献翻译模型,支持多种主流文档格式。

立即体验