Suppr超能文献

一例与克罗恩病相关的直肠软斑病:一项意外发现。

A Case of Rectal Malakoplakia Associated With Crohn's Disease: An Incidental Finding.

作者信息

Lafontaine Álvarez Jean C, Portilla Skerret Gabriela, Marcos Martínez María J, Rodríguez López Rafael

机构信息

Pathology and Laboratory Medicine, University of Puerto Rico, Medical Sciences Campus, San Juan, PRI.

Gastroenterology, University of Puerto Rico, Medical Sciences Campus, San Juan, PRI.

出版信息

Cureus. 2025 May 26;17(5):e84829. doi: 10.7759/cureus.84829. eCollection 2025 May.

Abstract

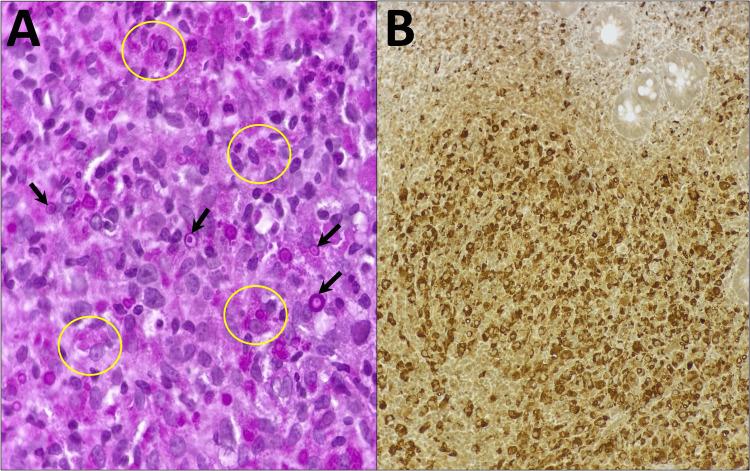
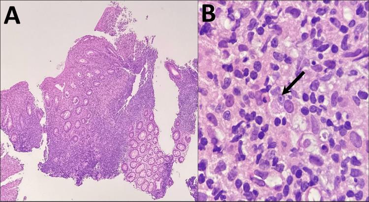
Malakoplakia is a rare granulomatous disorder characterized by defective phagolysosomal activity in macrophages and the presence of Michaelis-Gutmann (MG) bodies, often affecting immunosuppressed individuals. Although it most frequently involves the genitourinary tract, gastrointestinal involvement - particularly in the rectum and sigmoid colon - has been documented. We report a rare case of rectal malakoplakia in a 28-year-old female with penetrating ileocolonic Crohn's disease (CD) on infliximab. During surveillance colonoscopy, distal rectal mucosal nodularity, erythema, and friability were noted. Histopathology showed foamy histiocytes containing periodic acid Schiff-positive, diastase-resistant MG bodies, and CD68 confirmed histiocytic origin. A diagnosis of rectal malakoplakia was rendered, and the patient was managed with ciprofloxacin while continuing immunosuppressive therapy and a scheduled follow-up colonoscopy. Malakoplakia may mimic malignancy or inflammatory bowel disease clinically and endoscopically, making histologic evaluation essential for accurate diagnosis. is the most commonly implicated organism, and fluoroquinolones are typically effective treatments. Surgical intervention is generally reserved for refractory cases. This case highlights the need to consider malakoplakia in the differential diagnosis of atypical rectal lesions in immunosuppressed patients, including those with CD, to ensure timely and appropriate management.

摘要

软斑病是一种罕见的肉芽肿性疾病,其特征是巨噬细胞中吞噬溶酶体活性缺陷以及存在米氏小体(MG小体),常累及免疫抑制个体。虽然它最常累及泌尿生殖道,但胃肠道受累——尤其是直肠和乙状结肠——已有文献记载。我们报告一例罕见的28岁女性直肠软斑病病例,该患者患有穿透性回结肠克罗恩病(CD),正在接受英夫利昔单抗治疗。在监测结肠镜检查时,发现直肠远端黏膜有结节、红斑和脆性增加。组织病理学显示泡沫状组织细胞含有高碘酸希夫染色阳性、抗淀粉酶的MG小体,CD68证实为组织细胞来源。诊断为直肠软斑病,患者接受环丙沙星治疗,同时继续免疫抑制治疗并按计划进行随访结肠镜检查。软斑病在临床和内镜下可能类似恶性肿瘤或炎症性肠病,因此组织学评估对于准确诊断至关重要。大肠杆菌是最常涉及的病原体,氟喹诺酮类药物通常是有效的治疗方法。手术干预一般用于难治性病例。该病例强调在免疫抑制患者,包括患有CD的患者中,非典型直肠病变的鉴别诊断需要考虑软斑病,以确保及时和适当的处理。

https://cdn.ncbi.nlm.nih.gov/pmc/blobs/ffcf/12189029/59020cce5ffd/cureus-0017-00000084829-i01.jpg

文献AI研究员

20分钟写一篇综述,助力文献阅读效率提升50倍。

立即体验

用中文搜PubMed

大模型驱动的PubMed中文搜索引擎

马上搜索

文档翻译

学术文献翻译模型,支持多种主流文档格式。

立即体验