Suppr超能文献

Single-cell analysis of heterogeneity and molecular changes in cultured corneal epithelial stem cells during serial passage.

作者信息

Reinprayoon Usanee, Khramchantuk Supaporn, Kittimawikrom Natthida, Ingrungruanglert Praewphan, Phodang Sarinya, Jaemthaworn Thanakorn, Sriswasdi Sira, Israsena Nipan

机构信息

Center of Excellence for Cornea and Stem Cell Transplantation, Department of Ophthalmology, Faculty of Medicine, Chulalongkorn University, Bangkok, 10330, Thailand.

Excellence Center for Cornea and Stem Cell Transplantation, Department of Ophthalmology, King Chulalongkorn Memorial Hospital, Thai Red Cross Society, Bangkok, 10330, Thailand.

出版信息

Stem Cells. 2025 Sep 17;43(10). doi: 10.1093/stmcls/sxaf041.

Abstract

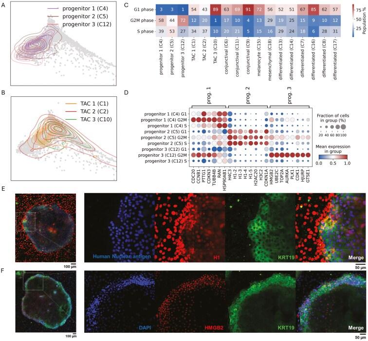
The maintenance of corneal epithelial homeostasis relies on limbal stem cells (LSCs) located at the limbus. Although short-term cultured LSC transplantation effectively treats LSC deficiency, prolonged culture leads to stemness loss and abortive colony formation, and the mechanisms remain elusive. In this study, we employed single-cell transcriptomics to investigate LSC population dynamics and changes in gene expression during extended serial culture. Transcriptomic data from 22 708 cells revealed 19 clusters, identifying 3 distinct limbal progenitor populations (Progenitors 1-3) with unique transcriptional profiles and cell division kinetics. All progenitor subgroups expressed stemness-related genes such as ANLN, AURKB, and HMGB2 and were detected at all stages of the cell cycle. Notably, Progenitor3 exhibited the highest levels of genes associated with stemness and the G2/M checkpoint, including ANLN, PLK1, AURKA, HMGB2, and TOP2A, and had the largest proportion of cells in G2/M. Progenitor2 was marked by histone H1 expression, while Progenitor1 displayed distinctive cell cycle kinetics. Despite stable proportions of the three progenitor populations throughout prolonged passaging, mitochondrial gene downregulation, and ribosomal gene upregulation were observed. Treatment with the small molecule RepSox partially preserved LSC maintenance in long-term culture by inhibiting the epithelial-mesenchymal transition program and modulating energy and metabolic pathways. These findings provide insights for optimizing in vitro LSC expansion for cell-based therapies.

摘要
https://cdn.ncbi.nlm.nih.gov/pmc/blobs/55bd/12463447/e978b6346d8f/sxaf041_fig7.jpg

文献AI研究员

20分钟写一篇综述,助力文献阅读效率提升50倍。

立即体验

用中文搜PubMed

大模型驱动的PubMed中文搜索引擎

马上搜索

文档翻译

学术文献翻译模型,支持多种主流文档格式。

立即体验