• 文献检索
  • 文档翻译
  • 深度研究
  • 学术资讯
  • Suppr Zotero 插件Zotero 插件
  • 邀请有礼
  • 套餐&价格
  • 历史记录
应用&插件
Suppr Zotero 插件Zotero 插件浏览器插件Mac 客户端Windows 客户端微信小程序
定价
高级版会员购买积分包购买API积分包
服务
文献检索文档翻译深度研究API 文档MCP 服务
关于我们
关于 Suppr公司介绍联系我们用户协议隐私条款
关注我们

Suppr 超能文献

核心技术专利:CN118964589B侵权必究
粤ICP备2023148730 号-1Suppr @ 2026

文献检索

告别复杂PubMed语法,用中文像聊天一样搜索,搜遍4000万医学文献。AI智能推荐,让科研检索更轻松。

立即免费搜索

文件翻译

保留排版,准确专业,支持PDF/Word/PPT等文件格式,支持 12+语言互译。

免费翻译文档

深度研究

AI帮你快速写综述,25分钟生成高质量综述,智能提取关键信息,辅助科研写作。

立即免费体验

非远处转移鼻咽癌患者的甲状腺保留容积调强弧形放疗:一项可行性研究。

Thyroid-sparing volume-modulated arc therapy in patients with non-distant metastatic nasopharyngeal carcinoma: a feasibility study.

作者信息

Xie Renxian, Lu Jiayang, Cai Qingxin, Li Longbo, Xie Keyan, Chen Tong, Huang Hongxin, Chen Jianzhou, Zhang Ying, Chen Chuangzhen

机构信息

Department of Radiation Oncology, Cancer Hospital of Shantou University Medical College, Shantou, China.

Shantou University Medical College, Shantou, China.

出版信息

Front Oncol. 2025 Jun 12;15:1443226. doi: 10.3389/fonc.2025.1443226. eCollection 2025.

DOI:10.3389/fonc.2025.1443226
PMID:40575166
原文链接:https://pmc.ncbi.nlm.nih.gov/articles/PMC12198196/
Abstract

PURPOSE

To assess the dosimetric feasibility of thyroid-sparing volume-modulated arc therapy (TS VMAT) in patients with non-distant metastatic nasopharyngeal carcinoma.

METHODS

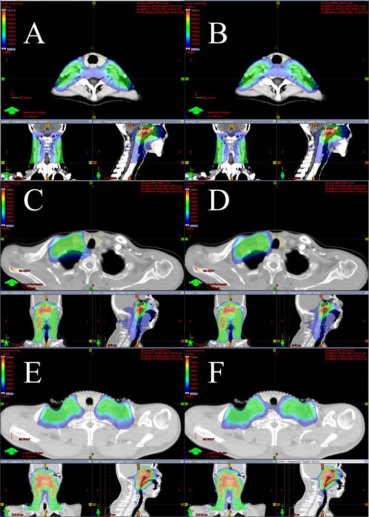
TS VMAT plans and non-thyroid-sparing volume-modulated arc therapy (NTS VMAT) plans were created using inverse-planning VMAT and computed tomography datasets of 60 patients from two centers using the Eclipse version 15.6 treatment planning system. These patients were split up into three groups, each consisting of ten patients: the bilateral upper neck irradiation group, the one-side lower neck irradiation group, and the bilateral lower neck irradiation group. Dose volume histograms, the homogeneity index (HI), conformity index (CI), and irradiation doses to the thyroid and other OARs were used to assess the two treatment plans.

RESULTS

There were no statistically significant differences in HI, CI, and dosage distribution to OARs between the two plans, except for the bilateral lower neck irradiation group, where mild but clinically acceptable differences were observed. Surprisingly, the TS VMAT plans significantly reduced the radiation dose to the thyroid gland across all three groups without compromising target coverage, conformity, or dose homogeneity. Specifically, the mean dose to the thyroid was substantially lower in the TS VMAT plans compared to the NTS VMAT plans. Additionally, the volume of the thyroid irradiated with 40 Gy or more was also significantly reduced in the TS VMAT plans.

CONCLUSIONS

The TS VMAT plan is appropriate for radiotherapy planning in patients with non-distant metastatic nasopharyngeal carcinoma. The TS VMAT plan reduces radiation dosage to the thyroid gland compared to the NTS VMAT plan, lowering the risk of hypothyroidism without exacerbating the HI, CI, and the irradiation doses to OARs.

摘要

目的

评估在非远处转移性鼻咽癌患者中实施甲状腺保护容积调强弧形放疗(TS VMAT)的剂量学可行性。

方法

利用Eclipse 15.6版治疗计划系统,通过逆向计划VMAT及来自两个中心的60例患者的计算机断层扫描数据集,创建TS VMAT计划和非甲状腺保护容积调强弧形放疗(NTS VMAT)计划。这些患者被分为三组,每组10例:双侧上颈部照射组、单侧下颈部照射组和双侧下颈部照射组。采用剂量体积直方图、均匀性指数(HI)、适形指数(CI)以及甲状腺和其他危及器官的照射剂量来评估这两种治疗计划。

结果

除双侧下颈部照射组观察到轻微但临床可接受的差异外,两种计划在HI、CI以及危及器官的剂量分布方面无统计学显著差异。令人惊讶的是,TS VMAT计划在不影响靶区覆盖、适形性或剂量均匀性的情况下,显著降低了所有三组患者甲状腺的辐射剂量。具体而言,与NTS VMAT计划相比,TS VMAT计划中甲状腺的平均剂量显著更低。此外,TS VMAT计划中接受40 Gy或更高剂量照射的甲状腺体积也显著减少。

结论

TS VMAT计划适用于非远处转移性鼻咽癌患者的放射治疗计划。与NTS VMAT计划相比,TS VMAT计划降低了甲状腺的辐射剂量,降低了甲状腺功能减退风险,且未加重HI、CI以及危及器官的照射剂量。

https://cdn.ncbi.nlm.nih.gov/pmc/blobs/7601/12198196/cbd72b7e5b54/fonc-15-1443226-g004.jpg
https://cdn.ncbi.nlm.nih.gov/pmc/blobs/7601/12198196/2705696a060d/fonc-15-1443226-g001.jpg
https://cdn.ncbi.nlm.nih.gov/pmc/blobs/7601/12198196/a93b708b88af/fonc-15-1443226-g002.jpg
https://cdn.ncbi.nlm.nih.gov/pmc/blobs/7601/12198196/ef098ff21636/fonc-15-1443226-g003.jpg
https://cdn.ncbi.nlm.nih.gov/pmc/blobs/7601/12198196/cbd72b7e5b54/fonc-15-1443226-g004.jpg
https://cdn.ncbi.nlm.nih.gov/pmc/blobs/7601/12198196/2705696a060d/fonc-15-1443226-g001.jpg
https://cdn.ncbi.nlm.nih.gov/pmc/blobs/7601/12198196/a93b708b88af/fonc-15-1443226-g002.jpg
https://cdn.ncbi.nlm.nih.gov/pmc/blobs/7601/12198196/ef098ff21636/fonc-15-1443226-g003.jpg
https://cdn.ncbi.nlm.nih.gov/pmc/blobs/7601/12198196/cbd72b7e5b54/fonc-15-1443226-g004.jpg

相似文献

1
Thyroid-sparing volume-modulated arc therapy in patients with non-distant metastatic nasopharyngeal carcinoma: a feasibility study.非远处转移鼻咽癌患者的甲状腺保留容积调强弧形放疗:一项可行性研究。
Front Oncol. 2025 Jun 12;15:1443226. doi: 10.3389/fonc.2025.1443226. eCollection 2025.
2
Dosimetric Study of Biaxially Rotational Dynamic Radiation Therapy for Hippocampal-Sparing Whole Brain Irradiation.海马体保护全脑照射的双轴旋转动态放射治疗剂量学研究
Cancers (Basel). 2025 Jun 11;17(12):1949. doi: 10.3390/cancers17121949.
3
Enhancing Delivery Efficiency on the Magnetic Resonance-Linac: A Comprehensive Evaluation of Prostate Stereotactic Body Radiation Therapy Using Volumetric Modulated Arc Therapy.提高磁共振直线加速器的递送效率:使用容积调强弧形治疗对前列腺立体定向体部放射治疗的综合评估。
Int J Radiat Oncol Biol Phys. 2025 Jul 15;122(4):976-985. doi: 10.1016/j.ijrobp.2024.10.028. Epub 2024 Oct 26.
4
Target specific collimation within a VMAT trajectory delivery for stereotactic radiosurgery.在用于立体定向放射外科的容积调强弧形治疗(VMAT)轨迹输送中进行靶区特异性准直。
Med Dosim. 2025 Jun 26. doi: 10.1016/j.meddos.2025.05.007.
5
Improving Lung Stereotactic Body Radiation Therapy Dose Conformity Using a Simple Noncoplanar Volumetric Modulated Arc Therapy Technique.使用简单的非共面容积调强弧形治疗技术提高肺部立体定向体部放射治疗的剂量适形度
Pract Radiat Oncol. 2025 Jul-Aug;15(4):e332-e338. doi: 10.1016/j.prro.2025.02.007. Epub 2025 Feb 25.
6
Non-coplanar VMAT plans for lung SABR to reduce dose to the heart: a planning study.非共面容积旋转调强放疗(VMAT)计划用于降低肺部立体定向消融放疗(SABR)中心脏剂量:一项计划研究。
Br J Radiol. 2020 Jan;93(1105):20190596. doi: 10.1259/bjr.20190596. Epub 2019 Oct 22.
7
Impact of monitor unit optimization in volumetric modulated arc therapy planning for nasopharyngeal carcinoma.鼻咽癌容积调强弧形放疗计划中监测单位优化的影响
PLoS One. 2025 Jun 25;20(6):e0327153. doi: 10.1371/journal.pone.0327153. eCollection 2025.
8
Dosimetric comparison between Intensity Modulated Radiation Therapy (IMRT) vs dual arc Volumetric Arc Therapy (VMAT) for nasopharyngeal cancer (NPC): Systematic review and meta-analysis.调强放射治疗(IMRT)与双弧容积旋转调强放疗(VMAT)治疗鼻咽癌(NPC)的剂量学比较:系统评价和荟萃分析。
J Med Imaging Radiat Sci. 2023 Mar;54(1):167-177. doi: 10.1016/j.jmir.2022.10.195. Epub 2022 Nov 29.
9
Dosimetric Advantages of Online Adaptive Radiation Therapy for Head and Neck Squamous Cell Carcinoma: Results From a Prospective Registry Study.头颈部鳞状细胞癌在线自适应放射治疗的剂量学优势:一项前瞻性登记研究的结果
Int J Radiat Oncol Biol Phys. 2025 Jul 15;122(4):917-925. doi: 10.1016/j.ijrobp.2025.03.050. Epub 2025 Mar 30.
10
Comparison of static and dynamic intensity-modulated radiotherapy for nasopharyngeal carcinoma: Dosimetric and normal tissue complication probability analysis.鼻咽癌静态与动态调强放射治疗的比较:剂量学及正常组织并发症概率分析
Cancer Radiother. 2025 Jul;29(4):104645. doi: 10.1016/j.canrad.2025.104645. Epub 2025 Jun 23.

本文引用的文献

1
Cancer incidence and mortality in China, 2015.2015年中国的癌症发病率和死亡率
J Natl Cancer Cent. 2020 Dec 17;1(1):2-11. doi: 10.1016/j.jncc.2020.12.001. eCollection 2021 Mar.
2
Dosimetry of intensity-modulated radiation therapy and volumetric-modulated arc therapy techniques after modified radical mastectomy for breast cancer and hypofractionated intensity-modulated radiotherapy.调强放疗和容积旋转调强弧形放疗技术在乳腺癌改良根治术后的剂量学研究和适形分割调强放疗。
J Cancer Res Ther. 2023 Dec 1;19(6):1568-1574. doi: 10.4103/jcrt.jcrt_51_23. Epub 2023 Dec 28.
3
Post-radiation primary hypothyroidism in patients with head and neck cancer: External validation of thyroid gland dose-volume constraints with long-term endocrine outcomes.
头颈部癌症患者放疗后原发性甲状腺功能减退症:甲状腺剂量-体积限制与长期内分泌结果的外部验证。
Radiother Oncol. 2022 Dec;177:105-110. doi: 10.1016/j.radonc.2022.10.034. Epub 2022 Nov 3.
4
Predictors of radiation-induced hypothyroidism in nasopharyngeal carcinoma survivors after intensity-modulated radiotherapy.调强放疗后鼻咽癌生存者放射性甲状腺功能减退症的预测因素。
Radiat Oncol. 2022 Mar 21;17(1):57. doi: 10.1186/s13014-022-02028-z.
5
Dose-volume predictors of post-radiation primary hypothyroidism in head and neck cancer: A systematic review.头颈部癌放疗后原发性甲状腺功能减退的剂量-体积预测因素:一项系统综述
Clin Transl Radiat Oncol. 2022 Jan 24;33:83-92. doi: 10.1016/j.ctro.2022.01.001. eCollection 2022 Mar.
6
Dosimetric Comparison of Helical Tomotherapy, Volume-Modulated Arc Therapy, and Fixed-Field Intensity-Modulated Radiation Therapy in Locally Advanced Nasopharyngeal Carcinoma.螺旋断层放射治疗、容积调强弧形放疗和固定野调强放疗在局部晚期鼻咽癌中的剂量学比较
Front Oncol. 2021 Nov 5;11:764946. doi: 10.3389/fonc.2021.764946. eCollection 2021.
7
Knowledge of Thyroid Disease Manifestations and Risk Factors Among Residents of the Eastern Province, Saudi Arabia.沙特阿拉伯东部省份居民对甲状腺疾病表现及危险因素的了解情况。
Cureus. 2021 Jan 31;13(1):e13035. doi: 10.7759/cureus.13035.
8
Global Cancer Statistics 2020: GLOBOCAN Estimates of Incidence and Mortality Worldwide for 36 Cancers in 185 Countries.《全球癌症统计数据 2020:全球 185 个国家和地区 36 种癌症的发病率和死亡率估计》。
CA Cancer J Clin. 2021 May;71(3):209-249. doi: 10.3322/caac.21660. Epub 2021 Feb 4.
9
Is prone free breathing better than supine deep inspiration breath-hold for left whole-breast radiotherapy? A dosimetric analysis.自主呼吸与仰卧深吸气屏气在左侧全乳放疗中的优劣比较:一项剂量学分析。
Strahlenther Onkol. 2021 Apr;197(4):317-331. doi: 10.1007/s00066-020-01731-8. Epub 2021 Jan 8.
10
Hypothyroidism after radiation exposure: brief narrative review.辐射暴露后甲状腺功能减退症:简要叙述性综述。
J Neural Transm (Vienna). 2020 Nov;127(11):1455-1466. doi: 10.1007/s00702-020-02260-5. Epub 2020 Oct 9.