Suppr超能文献

扭转乾坤:解析鸭嘴兽式呼吸-直立性低氧血症综合征中的主动脉动力学和卵圆孔未闭

Turning the Tide: Unraveling Aortic Dynamics and Patent Foramen Ovale in Platypnea-Orthodeoxia Syndrome.

作者信息

Ahmed Dalia, Abbas Shuja, Bhatia Raghav T, Williams Oyeronke, Antony Renjith

机构信息

Hull University Teaching Hospitals NHS Trust, Kingston-Upon-Hull, United Kingdom.

Hull University Teaching Hospitals NHS Trust, Kingston-Upon-Hull, United Kingdom.

出版信息

JACC Case Rep. 2025 Jun 25;30(16):104159. doi: 10.1016/j.jaccas.2025.104159.

Abstract

BACKGROUND

Platypnea-orthodeoxia syndrome (POS) is a rare disorder characterized by positional dyspnea and hypoxemia due to right-to-left shunting, often through a patent foramen ovale (PFO). It requires both an anatomical substrate and a functional trigger.

CASE SUMMARY

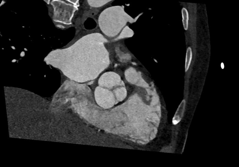
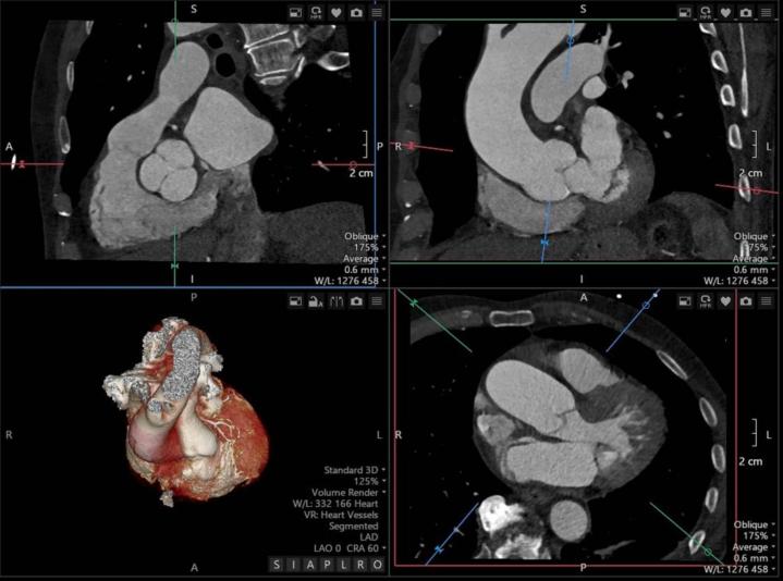
A man in his 70s presented with acute cerebellar stroke, breathlessness, and profound hypoxia worsened by the upright position. He tested positive for COVID-19, and computed tomography demonstrated a small pulmonary embolism, aorta dilation, and steep aortic angulation. Transthoracic echocardiography with a bubble study confirmed the presence of a PFO with right-to-left shunting during the Valsalva maneuver. Percutaneous PFO closure resulted in clinical improvement and resolution of hypoxemia.

DISCUSSION

This case highlights the interplay of PFO, aortic dilatation, and aortic angulation as key contributors to POS. Multimodal imaging is crucial for diagnosis and management.

TAKE-HOME MESSAGE: POS should be considered in positional hypoxia cases, and imaging is essential for diagnosis and treatment planning.

摘要

背景

平卧呼吸-直立性低氧血症综合征(POS)是一种罕见疾病,其特征为因右向左分流(通常通过卵圆孔未闭[PFO])导致的体位性呼吸困难和低氧血症。它需要解剖学基础和功能性触发因素。

病例摘要

一名70多岁男性因急性小脑卒中来诊,伴有呼吸困难,且直立位时严重低氧血症加重。他的新冠病毒检测呈阳性,计算机断层扫描显示有小的肺栓塞、主动脉扩张和严重的主动脉成角。经胸超声心动图造影检查证实存在PFO,在瓦尔萨尔瓦动作时存在右向左分流。经皮PFO封堵术使临床症状改善且低氧血症得到缓解。

讨论

该病例突出了PFO、主动脉扩张和主动脉成角之间的相互作用是POS的关键促成因素。多模态成像对于诊断和管理至关重要。

要点

对于体位性低氧血症病例应考虑POS,成像对于诊断和治疗规划至关重要。

https://cdn.ncbi.nlm.nih.gov/pmc/blobs/ab24/12273849/01c4e5c8d8fa/ga1.jpg

文献AI研究员

20分钟写一篇综述,助力文献阅读效率提升50倍。

立即体验

用中文搜PubMed

大模型驱动的PubMed中文搜索引擎

马上搜索

文档翻译

学术文献翻译模型,支持多种主流文档格式。

立即体验