Suppr超能文献

一例因骨水泥碎片导致的无菌性松动病例。

A Case of Aseptic Loosening Secondary to Cement Debris.

作者信息

Gengatharan Dhivakaran, Chen Haobin, Lim Joel, Siow Wei Ming, Poon Kein Boon

机构信息

Orthopaedic Surgery, Sengkang General Hospital, Singapore, SGP.

出版信息

Cureus. 2025 May 28;17(5):e84955. doi: 10.7759/cureus.84955. eCollection 2025 May.

Abstract

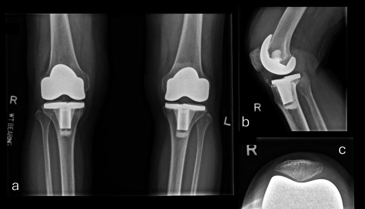
Particulate wear is a well-established cause of aseptic loosening and failure in joint arthroplasty. We aim to describe a case of cement-induced synovitis with the deposition of cement debris causing a distinct green-hued synovitis in a case of primary total knee arthroplasty (TKA). A 61-year-old lady presented to our clinic with right knee pain and swelling after undergoing bilateral total knee replacement four years ago at another institution. She was initially worked up by her primary surgeon and was symptomatically treated with non-steroidal anti-inflammatory medication (NSAID). However, her symptoms persisted and impaired her daily function. She presented with right knee effusion and decreased range of motion of the knee, as well as joint line tenderness. Further radiological investigations showed right knee tibial component implant loosening, with bone cement fragments in the anterior tibia. As such, the patient was counselled and underwent a revision surgery. Intraoperatively, there was extensive synovitis with prominent green pigment deposits. Excessive cement was noted in the femoral notch, causing wear of the liner pole. The tibia tray was also found to be loose, with no cement adherent to the tibia tray, and all the cement mantle seated on the tibia bone. Postoperatively, the patient made an uneventful recovery. She was able to range her knee from 10-130 degrees with no pain within 2 months. Direct wear from residual cement and micromotion at the tibia tray due to poor cementing technique during the primary surgery were important factors leading to severe cement wear and failure. This clinical case is a reminder of the importance of good cementing technique to ensure a good outcome in TKA.

摘要

颗粒磨损是关节置换术中无菌性松动和失败的一个公认原因。我们旨在描述一例水泥诱导的滑膜炎病例,在初次全膝关节置换术(TKA)中,水泥碎屑的沉积导致了一种独特的绿色滑膜炎。一名61岁女性四年前在另一家机构接受双侧全膝关节置换术后,因右膝疼痛和肿胀前来我院就诊。她最初由主刀医生进行检查,并接受了非甾体类抗炎药(NSAID)的对症治疗。然而,她的症状持续存在,影响了她的日常功能。她出现右膝关节积液、膝关节活动范围减小以及关节线压痛。进一步的影像学检查显示右膝胫骨部件植入物松动,胫骨前方有骨水泥碎片。因此,对患者进行了咨询并接受了翻修手术。术中发现广泛的滑膜炎,有明显的绿色色素沉着。在股骨切迹处发现过多的骨水泥,导致衬垫杆磨损。还发现胫骨托盘松动,胫骨托盘上没有骨水泥附着,所有骨水泥套都位于胫骨骨上。术后,患者恢复顺利。她能够在2个月内将膝关节活动范围从10度扩大到130度,且无疼痛。初次手术时由于骨水泥技术不佳导致的残留骨水泥直接磨损和胫骨托盘处的微动是导致严重骨水泥磨损和失败的重要因素。这个临床病例提醒我们良好的骨水泥技术对于确保TKA取得良好结果的重要性。

https://cdn.ncbi.nlm.nih.gov/pmc/blobs/e12d/12203755/0e20e79d0d71/cureus-0017-00000084955-i01.jpg

文献AI研究员

20分钟写一篇综述,助力文献阅读效率提升50倍。

立即体验

用中文搜PubMed

大模型驱动的PubMed中文搜索引擎

马上搜索

文档翻译

学术文献翻译模型,支持多种主流文档格式。

立即体验