Suppr超能文献

一名慢性乙型肝炎患者同时发生原发性肝细胞癌和肝内胆管癌:两例报告及文献复习

Synchronous double primary hepatocellular carcinoma and intrahepatic cholangiocarcinoma in a single patient with chronic hepatitis B: two case reports and literature review.

作者信息

Wei Pengcheng, Kang Nan, Lo Chen, Luo Yongjing, Gao Jie, Zhu Jiye, Li Zhao

机构信息

Department of Hepatobiliary Surgery, Peking University People's Hospital, Beijing, China.

Beijing Key Surgical Basic Research Laboratory of Liver Cirrhosis and Liver Cancer, Peking University People's Hospital, Beijing, China.

出版信息

Front Oncol. 2025 Jun 16;15:1507454. doi: 10.3389/fonc.2025.1507454. eCollection 2025.

Abstract

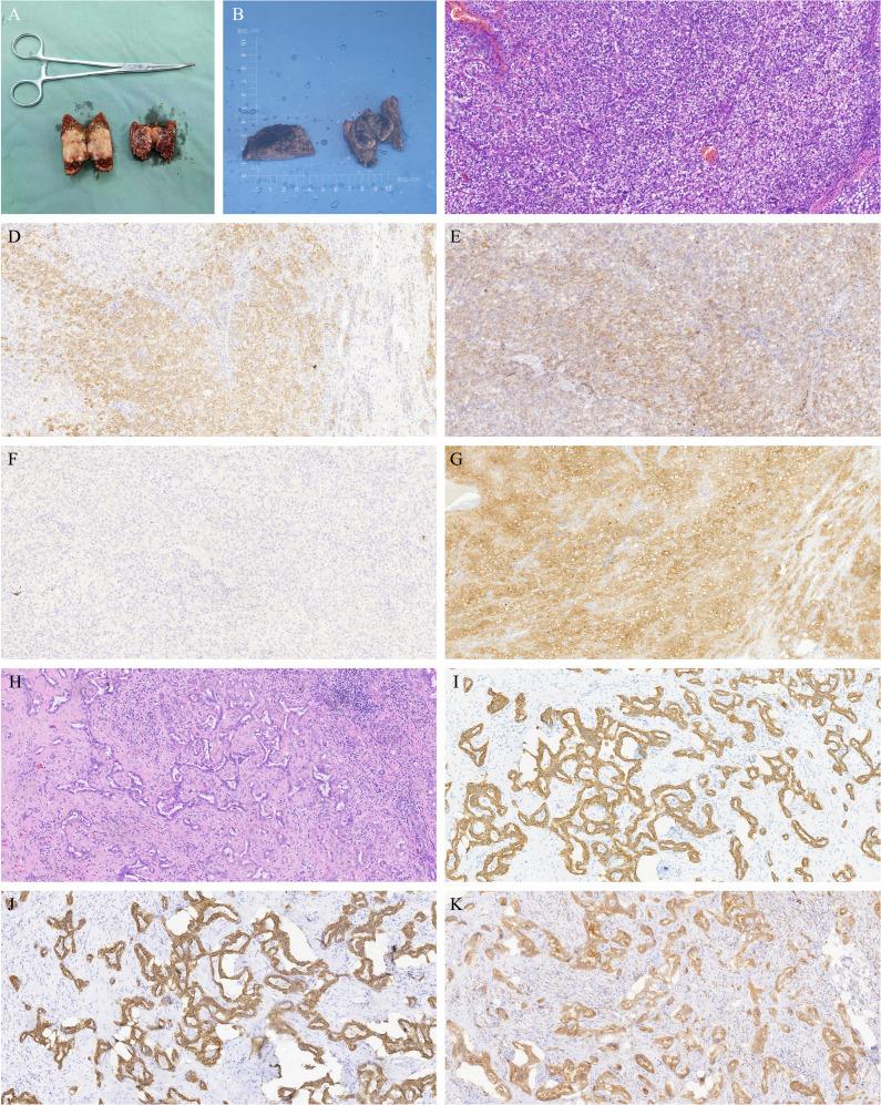
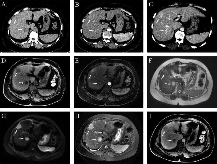
Simultaneous occurrence of primary hepatocellular carcinoma (HCC) and intrahepatic cholangiocarcinoma (ICC) is rare. We report two cases of synchronous double primary HCC and ICC (sdpHCC-ICC), both associated with chronic hepatitis B. Case 1 involves a 63-year-old man whose liver lesions were incidentally found during routine screening. Preoperative imaging revealed lesions in the S4 and S5 liver segments, with postoperative confirmation of sdpHCC-ICC. He received hepatic arterial infusion chemotherapy (HAIC) and transcatheter arterial chemoembolization (TACE) combined with gemcitabine and oral S-1 over 26 months, with no recurrence observed. Case 2 describes a 48-year-old woman presenting with right upper abdominal pain. Preoperative imaging identified a lesion at the S6/7 and S8 junction, later confirmed as sdpHCC-ICC. Postoperative TACE was performed at 1.5 and 3 months, and lenvatinib was introduced at 3.5 months. She remained recurrence-free at the 21-month follow-up. While the precise pathogenesis of sdpHCC-ICC remains unclear, chronic HBV infection plays a pivotal role. Surgical resection remains the primary treatment, though prognosis is generally poor due to the ICC component.

摘要

原发性肝细胞癌(HCC)和肝内胆管癌(ICC)同时发生的情况较为罕见。我们报告了两例同步性双原发性HCC和ICC(sdpHCC-ICC)病例,两例均与慢性乙型肝炎相关。病例1为一名63岁男性,其肝脏病变在常规筛查中偶然发现。术前影像学检查显示肝脏S4和S5段有病变,术后确诊为sdpHCC-ICC。他接受了26个月的肝动脉灌注化疗(HAIC)以及经动脉化疗栓塞(TACE)联合吉西他滨和口服S-1治疗,未观察到复发。病例2描述了一名48岁女性,表现为右上腹疼痛。术前影像学检查在S6/7和S8交界处发现一个病变,后来确诊为sdpHCC-ICC。术后分别在1.5个月和3个月进行了TACE,并在3.5个月开始使用仑伐替尼。在21个月的随访中她未出现复发。虽然sdpHCC-ICC的确切发病机制尚不清楚,但慢性HBV感染起着关键作用。手术切除仍然是主要治疗方法,不过由于存在ICC成分,总体预后通常较差。

https://cdn.ncbi.nlm.nih.gov/pmc/blobs/2feb/12206767/412597bd69ea/fonc-15-1507454-g001.jpg

文献AI研究员

20分钟写一篇综述,助力文献阅读效率提升50倍。

立即体验

用中文搜PubMed

大模型驱动的PubMed中文搜索引擎

马上搜索

文档翻译

学术文献翻译模型,支持多种主流文档格式。

立即体验