Suppr超能文献

揭开硬化性包裹性腹膜炎之谜:全面综述

Unraveling the enigma of sclerosing encapsulating peritonitis: a comprehensive review.

作者信息

Vipudhamorn Witcha, Juthasilaparut Tawan, Sutharat Pawit, Sanmee Suwan, Supatrakul Ekkarin, Chowsilpa Sayanan, Wongwaiyut Kraipop, Rattanasathien Rujee

机构信息

Division of Colorectal Surgery, Department of Surgery, Faculty of Medicine, Chiang Mai University, Chiang Mai, Thailand.

Clinical Surgical Research Center, Chiang Mai University, Chiang Mai, Thailand.

出版信息

Ann Coloproctol. 2025 Jun;41(3):175-189. doi: 10.3393/ac.2024.00486.0069. Epub 2025 Jun 18.

Abstract

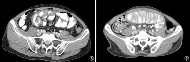
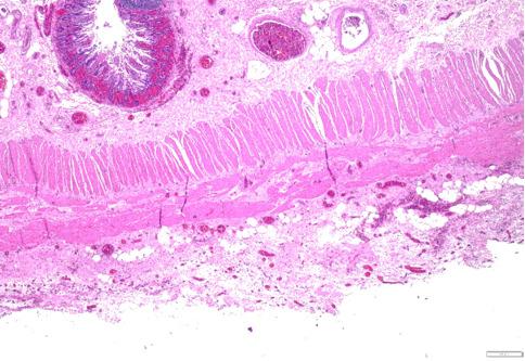
Sclerosing encapsulating peritonitis (SEP) is a rare but serious condition characterized by the progressive formation of a dense fibrous sheath encasing the small bowel within the peritoneal cavity. This review provides a comprehensive overview of the current understanding of SEP, focusing on its etiology, clinical presentation, diagnostic modalities, and management strategies. SEP can be classified into primary and secondary forms, each with distinct etiologies and treatment approaches. Primary SEP typically presents with acute or subacute bowel obstruction symptoms, necessitating surgical intervention to excise the fibrous sheath and relieve the obstruction. Secondary SEP often occurs in patients undergoing peritoneal dialysis, with cessation of dialysis being a key component of management. Medical treatments, including corticosteroids, immunosuppressive agents, and nutritional support, may complement surgical intervention, particularly in cases of secondary SEP. Advanced imaging techniques and personalized medicine approaches show promise in improving diagnostic accuracy and tailoring treatment strategies to individual patients. Future research directions include investigating targeted pharmacological therapies, exploring minimally invasive surgical techniques, and conducting long-term follow-up studies to evaluate treatment efficacy and disease recurrence. Multidisciplinary care teams play a crucial role in the comprehensive management of SEP, emphasizing collaboration among various specialties to optimize patient outcomes.

摘要

硬化性包裹性腹膜炎(SEP)是一种罕见但严重的疾病,其特征是在腹腔内逐渐形成包裹小肠的致密纤维鞘。本综述全面概述了目前对SEP的认识,重点关注其病因、临床表现、诊断方法和治疗策略。SEP可分为原发性和继发性两种形式,每种形式都有不同的病因和治疗方法。原发性SEP通常表现为急性或亚急性肠梗阻症状,需要手术干预以切除纤维鞘并解除梗阻。继发性SEP常发生在接受腹膜透析的患者中,停止透析是治疗的关键组成部分。药物治疗,包括皮质类固醇、免疫抑制剂和营养支持,可能辅助手术干预,特别是在继发性SEP病例中。先进的成像技术和个性化医疗方法在提高诊断准确性和为个体患者量身定制治疗策略方面显示出前景。未来的研究方向包括研究靶向药物治疗、探索微创外科技术以及进行长期随访研究以评估治疗效果和疾病复发情况。多学科护理团队在SEP的综合管理中起着至关重要的作用,强调各专业之间的协作以优化患者预后。

https://cdn.ncbi.nlm.nih.gov/pmc/blobs/5995/12215329/d09b28527c76/ac-2024-00486-0069f1.jpg

文献AI研究员

20分钟写一篇综述,助力文献阅读效率提升50倍。

立即体验

用中文搜PubMed

大模型驱动的PubMed中文搜索引擎

马上搜索

文档翻译

学术文献翻译模型,支持多种主流文档格式。

立即体验