Suppr超能文献

舟状骨先天性缺如:成人后天性平足和胫后肌腱功能障碍的罕见原因。

Congenital Absence of the Navicular Bone: A Rare Cause of Adult-Acquired Flatfoot and Posterior Tibial Tendon Dysfunction.

作者信息

Alhashimi Israa, Al-Taie Alaa, Alam Syed, Ibrahem Adam Renan

机构信息

Radiology, Hamad Medical Corporation, Doha, QAT.

Radiology, Hamad General Hospital, Doha, QAT.

出版信息

Cureus. 2025 May 31;17(5):e85151. doi: 10.7759/cureus.85151. eCollection 2025 May.

Abstract

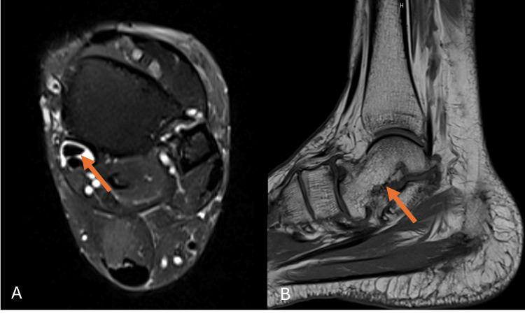
The navicular bone is critical for foot biomechanics, stabilizing the midfoot through its articulation with the talus and cuneiform bones. Variations, including accessory ossicles, hypoplasia, and complete absence, can lead to altered foot function. We present the case of a 58-year-old female patient who experienced persistent left foot pain. Imaging revealed the congenital absence of the navicular bone, resulting in altered biomechanics, midfoot instability, flatfoot deformity, and secondary degenerative changes. Posterior tibial tendon dysfunction (PTTD), a leading cause of adult-acquired flatfoot, is exacerbated by navicular anomalies. Advanced imaging plays a critical role in diagnosis, with treatment ranging from conservative management to surgery, depending on severity.

摘要

舟骨对于足部生物力学至关重要,它通过与距骨和楔骨的关节连接来稳定足中部。包括副骨、发育不全和完全缺失在内的变异可导致足部功能改变。我们报告一例58岁女性患者,她持续存在左脚疼痛。影像学检查显示先天性舟骨缺失,导致生物力学改变、足中部不稳定、扁平足畸形和继发性退行性改变。胫后肌腱功能障碍(PTTD)是成人后天性平足的主要原因,舟骨异常会使其加重。先进的影像学检查在诊断中起着关键作用,治疗方法根据严重程度从保守治疗到手术不等。

https://cdn.ncbi.nlm.nih.gov/pmc/blobs/e745/12212618/403c7684d930/cureus-0017-00000085151-i01.jpg

文献AI研究员

20分钟写一篇综述,助力文献阅读效率提升50倍。

立即体验

用中文搜PubMed

大模型驱动的PubMed中文搜索引擎

马上搜索

文档翻译

学术文献翻译模型,支持多种主流文档格式。

立即体验