Suppr超能文献

使用双能CT定量参数鉴别肺栓塞与对比剂积聚所致的线束硬化伪影。

Differentiating pulmonary embolism from contrast accumulation-induced beam hardening artifacts using dual-energy CT quantitative parameters.

作者信息

Wang Qingle, Wang Heqing, Lin Chong, Huang Xu, Chen Suping, Zhang Jinhui, Pei Jinkui, Zhang Zhiyong, Zhou Jianjun

机构信息

Department of Radiology, Zhongshan Hospital, Fudan University, Shanghai, China.

Shanghai Institute of Medical Imaging, Shanghai, China.

出版信息

Quant Imaging Med Surg. 2025 Jun 6;15(6):5593-5603. doi: 10.21037/qims-24-1385. Epub 2025 May 28.

Abstract

BACKGROUND

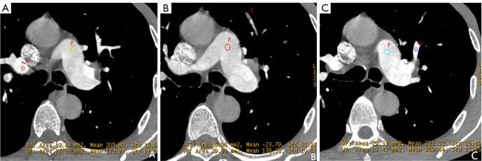
During computed tomography pulmonary angiography (CTPA) examination, contrast accumulation in the superior vena cava often generates beam hardening artifacts (BHAs), which can interfere with accurate diagnosis. This study aimed to investigate the diagnostic value of dual-energy computed tomography (DECT) quantitative parameters in differentiating pulmonary embolism (PE) from BHA.

METHODS

A total of 68 patients with PE who underwent DE-CTPA were retrospectively included. Quantitative parameters [slope of Hounsfield unit (HU) curves (Slope), CT values on virtual monoenergetic images (VMIs) ranging from 40 to 100 keV (HU-HU), normalized iodine concentration (NIC), and normalized effective atomic number (NEffZ)] on the BHA-induced low-density area of the right upper pulmonary artery (artifact), embolism, and the corresponding normal area of the left upper or right middle pulmonary artery (normal) were measured and calculated. The parameters among the three groups were compared, and the performances of the parameters in differentiating the three conditions were evaluated.

RESULTS

Quantitative parameters, including HU, HU, NIC, NeffZ, and Slope were all highest for normal arteries, followed by artifacts, and lowest for embolism (all P<0.05). To differentiate artifact and embolism, all parameters had areas under the curve (AUCs) higher than 0.80 (0.808-0.963), and HU had the highest AUC of 0.963. The multi-variables, combining HU, NIC, and NEffZ, had an AUC of 0.968, comparable to HU (P>0.05). Between normal and artifact, NIC showed the highest AUC (0.865), whereas multi-variables combining HU, NIC, and Slope improved the AUC to 0.937 and the model quality increased to 0.90 (P<0.05). For differentiation between normal and embolism, all parameters had AUCs higher than 0.80 (0.849-0.991); HU and HU showed the highest AUCs of 0.99 and 0.991, respectively. After a multivariable analysis combining HU, NIC, and Slope, the AUC was increased slightly to 0.995, which was comparable to that of HU and HU (P>0.05).

CONCLUSIONS

Quantitative parameters derived from DECT could recognize BHA in the superior vena cava; therein, 90 keV and 100 keV VMIs and their HU measurements would be particularly valuable.

摘要

背景

在计算机断层扫描肺动脉造影(CTPA)检查期间,上腔静脉内的造影剂积聚常产生线束硬化伪影(BHA),这可能干扰准确诊断。本研究旨在探讨双能量计算机断层扫描(DECT)定量参数在鉴别肺栓塞(PE)与BHA中的诊断价值。

方法

回顾性纳入68例行DE-CTPA的PE患者。测量并计算右上肺动脉BHA所致低密度区域(伪影)、栓塞部位以及左上或右中肺动脉相应正常区域(正常)的定量参数[亨氏单位(HU)曲线斜率(Slope)、40至100 keV虚拟单能量图像(VMI)上的CT值(HU-HU)、归一化碘浓度(NIC)和归一化有效原子序数(NEffZ)]。比较三组间的参数,并评估这些参数在鉴别三种情况中的性能。

结果

包括HU、HU、NIC、NeffZ和Slope在内的定量参数在正常动脉中均最高,其次为伪影,在栓塞中最低(均P<0.05)。为鉴别伪影和栓塞,所有参数的曲线下面积(AUC)均高于0.80(0.808 - 0.963),其中HU的AUC最高,为0.963。联合HU、NIC和NEffZ的多变量AUC为0.968,与HU相当(P>0.05)。在正常与伪影之间,NIC的AUC最高(0.865),而联合HU、NIC和Slope的多变量将AUC提高至0.937,模型质量提高至0.90(P<0.05)。对于正常与栓塞的鉴别,所有参数的AUC均高于0.80(0.849 - 0.991);HU和HU的AUC最高,分别为0.99和0.991。在联合HU、NIC和Slope进行多变量分析后,AUC略有增加至0.995,与HU和HU相当(P>0.05)。

结论

DECT得出的定量参数可识别上腔静脉中的BHA;其中,90 keV和100 keV的VMI及其HU测量值将特别有价值。

https://cdn.ncbi.nlm.nih.gov/pmc/blobs/b8f0/12209638/5eb30f575286/qims-15-06-5593-f1.jpg

文献AI研究员

20分钟写一篇综述,助力文献阅读效率提升50倍。

立即体验

用中文搜PubMed

大模型驱动的PubMed中文搜索引擎

马上搜索

文档翻译

学术文献翻译模型,支持多种主流文档格式。

立即体验