Suppr超能文献

髓内钉治疗骨硬化症患者股骨转子下骨折:一例报告及文献复习

Treatment of subtrochantric femur fracture with intra-medullary nailing (IMN) in a patient with osteopetrosis: A case report and literature review.

作者信息

Alajlan Ajlan, Alkhudhayri Abdulaziz, Alshehri Salem, Almadah Mohamed, Othman Mohamed

机构信息

Prince sultan military medical city, Riyadh, Saudi Arabia.

College of medicine, Qassim university, Qassim, Saudi Arabia.

出版信息

Int J Surg Case Rep. 2025 Aug;133:111592. doi: 10.1016/j.ijscr.2025.111592. Epub 2025 Jun 30.

Abstract

INTRODUCTION AND IMPORTANCE

Osteopetrosis is a rare hereditary bone disorder characterized by defective osteoclastic bone resorption, leading to dense but brittle bones. These structural abnormalities predispose patients to fractures and complicate orthopedic surgeries due to obliterated medullary canals and increased cortical density. Subtrochanteric femoral fractures in such patients are rare and challenging, with limited consensus on optimal surgical management.

CASE PRESENTATION

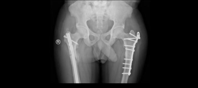
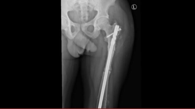
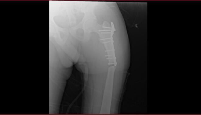
We present a 45-year-old male with adult-onset autosomal dominant osteopetrosis who sustained bilateral subtrochanteric femoral fractures-first on the right side, then on the left two years later. Both fractures were managed with intramedullary nailing (IMN). The procedures were technically demanding due to the sclerotic bone and canal obliteration, requiring sequential drilling and reaming with irrigation to prevent thermal necrosis. Both fractures healed without complications, with radiographic union at 9 months and early mobilization.

CLINICAL DISCUSSION

IMN in osteopetrotic bone is technically difficult but feasible with meticulous planning and technique. Reported complications include drill bit breakage, thermal injury, delayed union, and hardware failure. Compared to extramedullary fixation, IMN offers better mechanical stability in weight-bearing regions. Our experience aligns with other reports suggesting IMN is a viable approach when performed with necessary precautions. The lack of standardized protocols necessitates individualized planning based on anatomical and clinical considerations.

CONCLUSION

This case highlights the successful application of IMN for subtrochanteric fractures in adult osteopetrosis, emphasizing the importance of surgical expertise. Further studies are needed to guide standardized management in this rare condition.

摘要

引言与重要性

骨质石化症是一种罕见的遗传性骨病,其特征为破骨细胞性骨吸收缺陷,导致骨骼致密但脆弱。这些结构异常使患者易发生骨折,并且由于髓腔闭塞和皮质密度增加,给骨科手术带来困难。此类患者的股骨转子下骨折罕见且具有挑战性,对于最佳手术治疗方案的共识有限。

病例介绍

我们报告一名45岁成年男性,患常染色体显性遗传性成人骨质石化症,双侧股骨转子下骨折——右侧先发生骨折,两年后左侧发生骨折。两处骨折均采用髓内钉固定(IMN)治疗。由于骨质硬化和髓腔闭塞,手术操作技术要求高,需要依次钻孔、扩髓并冲洗以防止热坏死。两处骨折均愈合且无并发症,9个月时影像学显示骨折愈合,并可早期活动。

临床讨论

在骨质石化症患者中使用髓内钉固定技术上具有挑战性,但通过精心规划和技术操作是可行的。报道的并发症包括钻头断裂、热损伤、延迟愈合和内固定失败。与髓外固定相比,髓内钉在负重区域提供更好的机械稳定性。我们的经验与其他报告一致,表明在采取必要预防措施的情况下,髓内钉固定是一种可行的方法。由于缺乏标准化方案,需要根据解剖和临床考虑进行个体化规划。

结论

本病例突出了髓内钉固定在成人骨质石化症股骨转子下骨折中的成功应用,强调了手术专业知识的重要性。需要进一步研究以指导这种罕见疾病的标准化治疗。

https://cdn.ncbi.nlm.nih.gov/pmc/blobs/072d/12270725/889a3e95f59d/gr1.jpg

相似文献

2
What Factors Are Associated With Implant Revision in the Treatment of Pathologic Subtrochanteric Femur Fractures?
Clin Orthop Relat Res. 2025 Mar 1;483(3):473-484. doi: 10.1097/CORR.0000000000003291. Epub 2024 Oct 22.
3
Intramedullary Nailing of Intertrochanteric Femoral Fractures in a Level I Trauma Center in Finland: What Complications Can be Expected?
Clin Orthop Relat Res. 2024 Feb 1;482(2):278-288. doi: 10.1097/CORR.0000000000002792. Epub 2023 Aug 15.
5
6
Interventions for treating femoral shaft fractures in children and adolescents.
Cochrane Database Syst Rev. 2014 Jul 29;2014(7):CD009076. doi: 10.1002/14651858.CD009076.pub2.
7
Osteotomy Site Venting Enhances Femoral Bone Consolidation With Magnetic Intramedullary Lengthening Nails.
Clin Orthop Relat Res. 2024 Nov 1;482(11):2075-2085. doi: 10.1097/CORR.0000000000003119. Epub 2024 Jun 4.
8
Cephalomedullary nails versus extramedullary implants for extracapsular hip fractures in older adults.
Cochrane Database Syst Rev. 2022 Jan 26;1(1):CD000093. doi: 10.1002/14651858.CD000093.pub6.

本文引用的文献

2
Further understanding on osteopetrotic femoral fractures: a case report and literature review.
BMC Surg. 2021 Mar 6;21(1):117. doi: 10.1186/s12893-021-01107-4.
4
The SCARE 2020 Guideline: Updating Consensus Surgical CAse REport (SCARE) Guidelines.
Int J Surg. 2020 Dec;84:226-230. doi: 10.1016/j.ijsu.2020.10.034. Epub 2020 Nov 9.
5
10
Bipolar hip arthroplasty for subtrochanteric femoral nonunion in an adult with autosomal dominant osteopetrosis type II.
J Orthop Sci. 2011 Sep;16(5):652-5. doi: 10.1007/s00776-011-0069-8. Epub 2011 May 7.

文献AI研究员

20分钟写一篇综述,助力文献阅读效率提升50倍。

立即体验

用中文搜PubMed

大模型驱动的PubMed中文搜索引擎

马上搜索

文档翻译

学术文献翻译模型,支持多种主流文档格式。

立即体验