Kolarzyk Anna M, Kwon Yujin, Oh Elizabeth, Lee Keng-Jung, Cho Su-Yeon, Cano Issahy, Lu Renhao, Kwak Tae Joon, Lee Jaehyun, Wong Gigi, Kim Andrew H, Gandarilla Omar, Hidalgo Manuel, Kim Won Kyu, Lee Esak
Department of Biomedical Sciences, College of Veterinary Medicine, Cornell University, Ithaca, NY, 14853, USA.
Center for Natural Product Efficacy Optimization, Korea Institute of Science and Technology (KIST), Gangneung, 25451, Republic of Korea.
Mol Cancer. 2025 Jul 4;24(1):188. doi: 10.1186/s12943-025-02384-w.
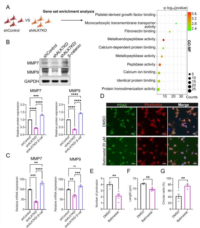
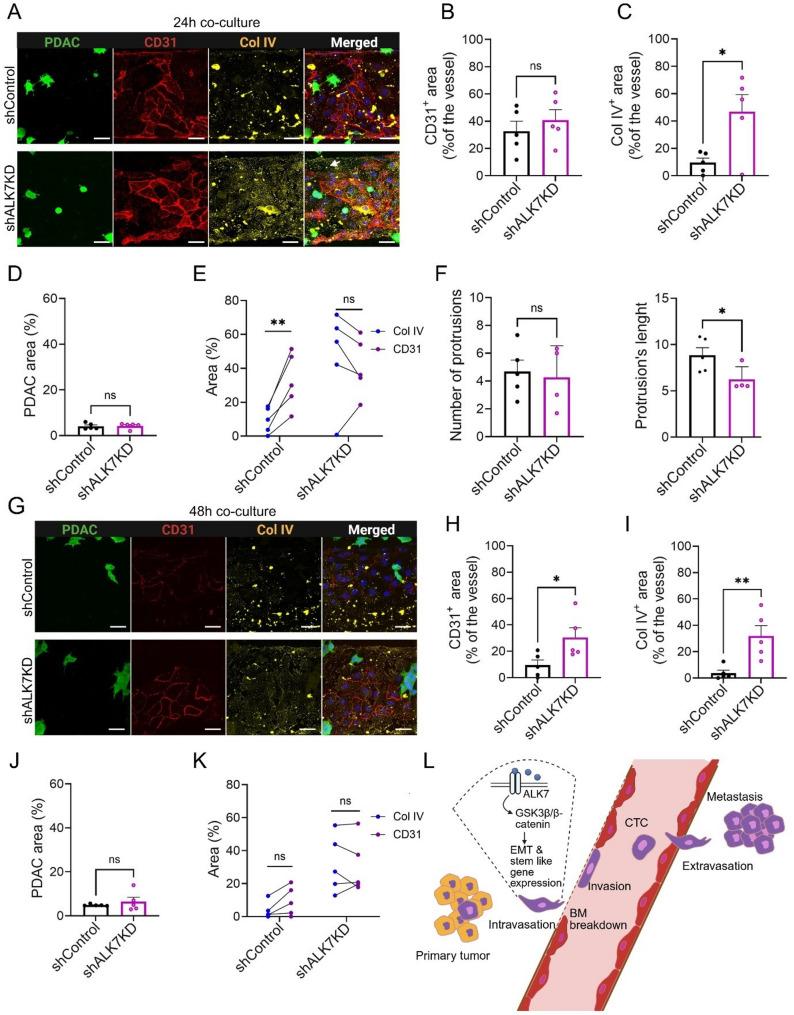
Breaching the vascular barrier is a critical step in pancreatic ductal adenocarcinoma (PDAC) metastasis, yet the mechanisms enabling this process remain incompletely understood. Transforming growth factor beta (TGFβ) receptors have been extensively studied in many cancer types. However, activin receptor-like kinase 7 (ALK7), one of the TGFβ receptors, is under-investigated, and its roles in PDAC metastasis have been unclear. This study identifies two distinct but interconnected ALK7-driven non-canonical pathways that promote PDAC dissemination. The ALK7-β-catenin-EMT axis enhances intrinsic tumor cell motility, driving epithelial-mesenchymal transition (EMT). In parallel, the ALK7-β-catenin-MMP axis facilitates metastatic invasion by upregulating MMP production, leading to ECM degradation and invadosome formation, which promote vascular barrier breakdown and intravasation. An orthotopic PDAC metastasis model reveals that both pharmacological and genetic ALK7 inhibition suppresses metastasis. 3D microfluidic vessel-on-chip platforms further demonstrate that ALK7 inhibition preserves basement membrane (BM) integrity, limiting intravasation. While MMP inhibition effectively blocks BM breakdown and intravasation, extravasation remains unaffected, highlighting distinct molecular requirements for different metastatic stages. These findings establish ALK7 as a dual-function pro-metastatic regulator that orchestrates both tumor cell plasticity and ECM remodeling, positioning ALK7 inhibition as a promising strategy to target early metastatic dissemination in PDAC.
突破血管屏障是胰腺导管腺癌(PDAC)转移过程中的关键一步,然而促成这一过程的机制仍未完全明确。转化生长因子β(TGFβ)受体在多种癌症类型中已得到广泛研究。然而,TGFβ受体之一的激活素受体样激酶7(ALK7)却研究不足,其在PDAC转移中的作用尚不清楚。本研究确定了两条不同但相互关联的由ALK7驱动的非经典途径,它们促进了PDAC的扩散。ALK7-β-连环蛋白-上皮-间质转化(EMT)轴增强了肿瘤细胞的内在运动性,驱动上皮-间质转化(EMT)。同时,ALK7-β-连环蛋白-基质金属蛋白酶(MMP)轴通过上调MMP的产生促进转移性侵袭,导致细胞外基质(ECM)降解和侵袭体形成,从而促进血管屏障破坏和血管内渗。原位PDAC转移模型显示,药物和基因抑制ALK7均能抑制转移。3D微流控芯片上血管平台进一步证明,抑制ALK7可保持基底膜(BM)完整性,限制血管内渗。虽然抑制MMP能有效阻断BM破坏和血管内渗,但血管外渗不受影响,这突出了不同转移阶段的不同分子需求。这些发现确立了ALK7作为一种双功能促转移调节因子,它协调肿瘤细胞可塑性和ECM重塑,将抑制ALK7定位为一种有前景的策略,用于靶向PDAC早期转移扩散。