Liu Jifang, Ye Zhang, Zhang Yi, You Shen, Sun Siqi, Lu Lin, Su Wan, Liu Jie, Pu Jun, Pan Hui, Zhu Huijuan, Deng Kan, Yao Yong, Hu Xiaomin, Zhang Shuyang
Department of Neurosurgery, Peking Union Medical College Hospital, Chinese Academy of Medical Sciences and Peking Union Medical College, Beijing, 100730, China.
Pituitary Disease Innovative Diagnosis and Treatment Center, Peking Union Medical College Hospital, Chinese Academy of Medical Sciences and Peking Union Medical College, Beijing, 100730, China.
Sci Rep. 2025 Jul 7;15(1):24261. doi: 10.1038/s41598-025-07812-x.
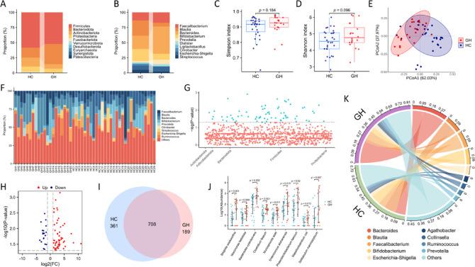
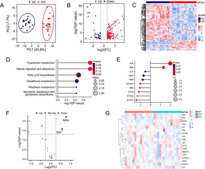
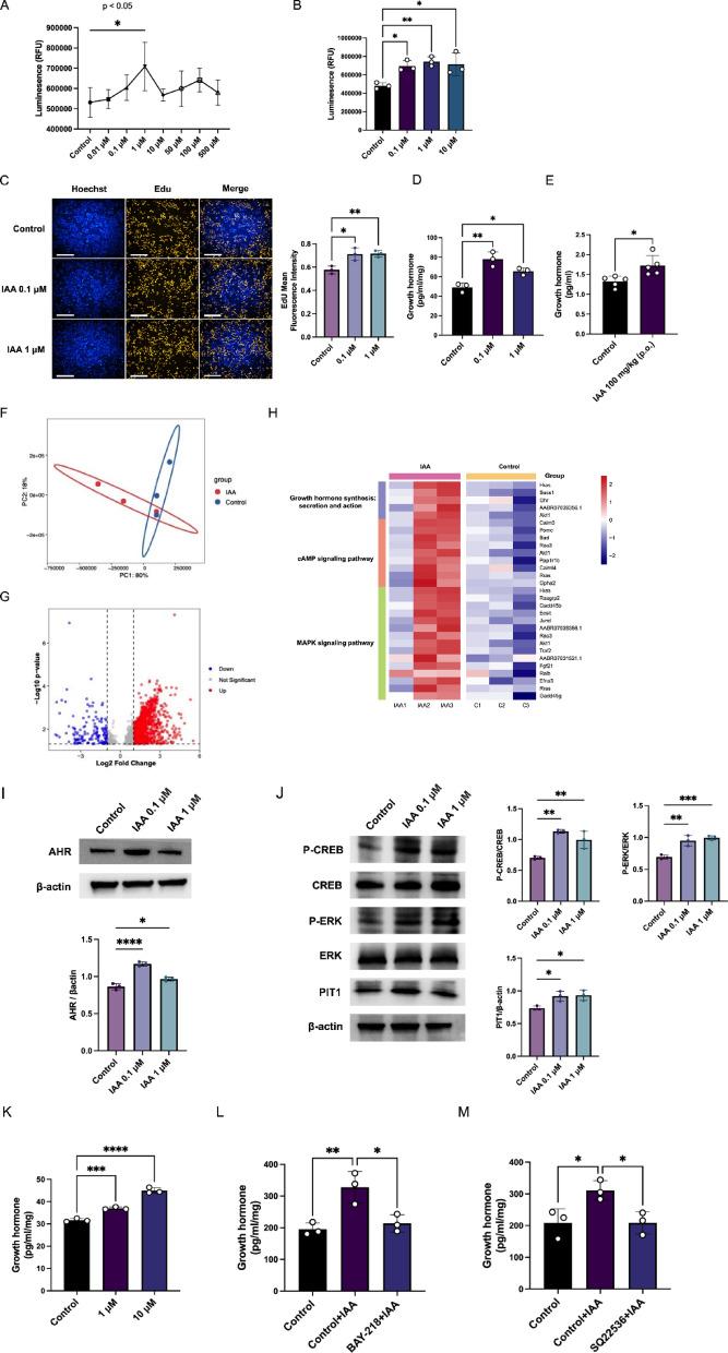
Growth hormone-secreting pituitary neuroendocrine tumors (GH-PitNETs) arise from the anterior pituitary gland and constitute 20-30% of all PitNETs, representing a significant subset of functional pituitary tumors. Despite their prevalence, the precise mechanisms underlying the development of these tumors remain elusive due to the complex pathophysiology of pituitary neoplasia. To investigate the potential role of the gut microbiome in GH-PitNETs, we conducted a comprehensive study involving 16S rRNA gene sequencing and metabolomics analysis of fecal and serum samples from 20 GH-PitNET patients and 30 healthy controls at Peking Union Medical College Hospital. Our findings revealed a distinct gut microbiota profile in GH-PitNET patients compared to healthy individuals, characterized by dysbiosis with increased abundance of Bacteroides and decreased abundance of Blautia and Bifidobacterium. Notably, alterations in specific bacterial taxa, including Intestinibacter bartlettii, Fusicatenibacter faecihominis, and Massilioclostridium, were observed in GH-PitNET patients. Concomitantly, serum metabolomics analysis identified 154 differentially abundant metabolites in GH-PitNET patients, with significant enrichment in pathways related to tryptophan metabolism. Among these metabolites, 3-indoleacetic acid (IAA) exhibited a obvious change, suggesting its potential research value for disease processing of GH-PitNETs. To further elucidate the mechanistic link between the gut microbiome and GH-PitNETs, we conducted in vitro and in vivo experiments, our results demonstrated that IAA could promote the proliferation of GH3 cells and significantly enhance growth hormone secretion by activating the cAMP pathway. These findings collectively suggest that gut microbiota dysbiosis may contribute to in the development and progression of GH-PitNETs by contributing to metabolic disturbances.
生长激素分泌型垂体神经内分泌肿瘤(GH-PitNETs)起源于垂体前叶,占所有垂体神经内分泌肿瘤的20%-30%,是功能性垂体肿瘤的重要组成部分。尽管其发病率较高,但由于垂体瘤形成的病理生理过程复杂,这些肿瘤发生发展的确切机制仍不清楚。为了研究肠道微生物群在GH-PitNETs中的潜在作用,我们在北京协和医院进行了一项综合研究,对20例GH-PitNET患者和30例健康对照者的粪便和血清样本进行了16S rRNA基因测序和代谢组学分析。我们的研究结果显示,与健康个体相比,GH-PitNET患者的肠道微生物群谱明显不同,其特征是生态失调,拟杆菌丰度增加,而布劳特氏菌和双歧杆菌丰度降低。值得注意的是,在GH-PitNET患者中观察到特定细菌类群的改变,包括巴氏肠杆菌、粪栖梭菌和马西里梭菌。同时,血清代谢组学分析确定了GH-PitNET患者中有154种差异丰富的代谢物,在与色氨酸代谢相关的途径中显著富集。在这些代谢物中,3-吲哚乙酸(IAA)表现出明显变化,提示其对GH-PitNETs疾病进程具有潜在研究价值。为了进一步阐明肠道微生物群与GH-PitNETs之间的机制联系,我们进行了体外和体内实验,结果表明IAA可通过激活cAMP途径促进GH3细胞增殖并显著增强生长激素分泌。这些研究结果共同表明,肠道微生物群失调可能通过导致代谢紊乱促进GH-PitNETs的发生和发展。