Suppr超能文献

多药使用者中协同药物诱导的弥漫性肺泡出血:一例吸入可卡因和芬太尼中毒病例

Synergistic Drug-Induced Diffuse Alveolar Hemorrhage in a Polysubstance User: A Case of Inhaled Cocaine and Fentanyl Toxicity.

作者信息

Lopez-Pena Belissa A, Canevaro-Lugo Natalia, Davila-Cardona Angel U, Ruiz-Ramos Maniel, Perez-Mitchell Maria C, Fernandez-Gonzalez Ricardo

机构信息

Internal Medicine, San Juan City Hospital, San Juan, USA.

Pulmonary and Critical Care Medicine, San Juan City Hospital, San Juan, USA.

出版信息

Cureus. 2025 Jul 9;17(7):e87582. doi: 10.7759/cureus.87582. eCollection 2025 Jul.

Abstract

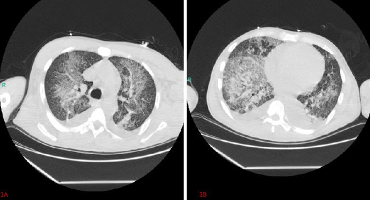
Diffuse alveolar hemorrhage (DAH) is a rare but life-threatening pulmonary condition characterized by bleeding into the alveolar spaces, most commonly associated with autoimmune or vasculitic disorders. However, drug-induced DAH, particularly from the inhalation of substances like cocaine and fentanyl, is an emerging concern. A 37-year-old homeless male with a history of intravenous and inhaled polysubstance abuse was found unresponsive and treated with intranasal naloxone for presumed opioid overdose. Upon arrival, he exhibited respiratory distress, pink frothy sputum, severe hypoxemia, and acute renal failure with refractory hyperkalemia. Imaging revealed diffuse bilateral alveolar infiltrates, and large volumes of bright red blood were suctioned during intubation. Bronchoalveolar lavage confirmed DAH with numerous hemosiderin-laden macrophages. Infectious and autoimmune workups were negative, while urine toxicology was positive for both fentanyl and cocaine. Management included lung-protective mechanical ventilation, high-dose corticosteroids, and continuous renal replacement therapy, with clinical improvement and successful extubation after ten days. This case underscores the importance of considering drug-induced DAH in patients with acute respiratory failure and polysubstance use, even in the absence of hemoptysis.

摘要

弥漫性肺泡出血(DAH)是一种罕见但危及生命的肺部疾病,其特征是血液渗入肺泡腔,最常见于自身免疫性或血管炎疾病。然而,药物性DAH,尤其是吸入可卡因和芬太尼等物质引起的,正成为一个新的关注点。一名37岁有静脉注射和吸入多种药物滥用史的无家可归男性被发现无反应,因疑似阿片类药物过量接受了鼻内纳洛酮治疗。到达医院时,他表现出呼吸窘迫、粉红色泡沫痰、严重低氧血症以及伴有难治性高钾血症的急性肾衰竭。影像学检查显示双侧弥漫性肺泡浸润,插管时吸出大量鲜红色血液。支气管肺泡灌洗证实为DAH,可见大量含铁血黄素巨噬细胞。感染性和自身免疫性检查均为阴性,而尿液毒理学检查显示芬太尼和可卡因均呈阳性。治疗措施包括肺保护性机械通气、大剂量皮质类固醇以及持续肾脏替代治疗,患者在十天后临床症状改善并成功拔管。该病例强调了在急性呼吸衰竭和使用多种药物的患者中,即使没有咯血,也需考虑药物性DAH的重要性。

https://cdn.ncbi.nlm.nih.gov/pmc/blobs/fbd9/12239045/6637e9ce0d41/cureus-0017-00000087582-i01.jpg

文献AI研究员

20分钟写一篇综述,助力文献阅读效率提升50倍。

立即体验

用中文搜PubMed

大模型驱动的PubMed中文搜索引擎

马上搜索

文档翻译

学术文献翻译模型,支持多种主流文档格式。

立即体验