Suppr超能文献

垂体模仿者:接受生育治疗患者的鞍区脑膜瘤

Pituitary Mimic: Sellar Meningioma in a Patient Undergoing Fertility Therapy.

作者信息

Alnahas Zeinab, Kartoumah Anas, Alomar Talal, Masalkhi Kareem, Horani Mohamad

机构信息

Internal Medicine, Cairo University, Cairo, EGY.

Biomedical Sciences, University of South Florida, Tampa, USA.

出版信息

Cureus. 2025 Jun 10;17(6):e85675. doi: 10.7759/cureus.85675. eCollection 2025 Jun.

Abstract

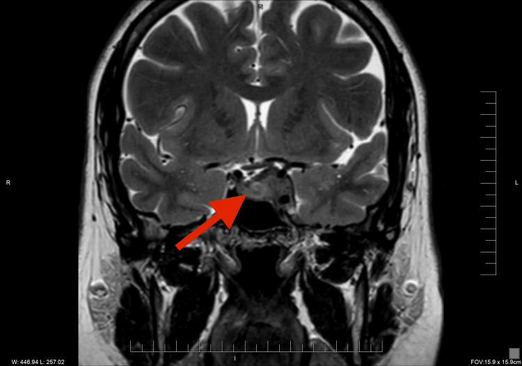
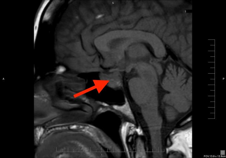
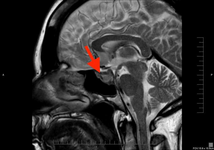
Sex hormones play a crucial role in the development and growth of meningioma. It was observed that meningiomas increase in size and become more symptomatic during pregnancy. Similarly, the use of hormonal therapy, including gonadotropin-releasing hormone (GnRH) agonist, can be associated with an increased risk for meningioma. We reported a 45-year-old woman with a past medical history of hypothyroidism and mild hyperprolactinemia who received hormonal therapy for infertility, including GnRH. She has experienced a persistent headache and left retro-orbital pain with eye movement. Her MRI brain scan revealed a soft tissue mass involving the sellar and left cavernous sinus with a slight impingement of the optic chiasm and left optic nerve, concerning for meningioma or pituitary adenoma. Further laboratory workup showed secondary adrenal insufficiency, which was treated with replacement glucocorticoid therapy. Following tumor resection and histological examination, the diagnosis of sellar meningioma was confirmed. This case report shows a rare association of fertility hormonal treatment with sellar meningioma and how it is challenging to distinguish meningioma from other sellar masses, such as pituitary adenoma, based on clinical presentation and imaging studies.

摘要

性激素在脑膜瘤的发生和发展中起着至关重要的作用。据观察,脑膜瘤在孕期体积会增大且症状会加重。同样,使用包括促性腺激素释放激素(GnRH)激动剂在内的激素疗法,可能会增加患脑膜瘤的风险。我们报告了一名45岁女性,她有甲状腺功能减退和轻度高泌乳素血症病史,因不孕症接受了包括GnRH在内的激素治疗。她一直头痛,眼球活动时伴有左眶后疼痛。她的脑部MRI扫描显示鞍区和左侧海绵窦有一软组织肿块,对视交叉和左侧视神经有轻微压迫,怀疑为脑膜瘤或垂体腺瘤。进一步的实验室检查显示继发性肾上腺功能不全,并接受了糖皮质激素替代治疗。肿瘤切除及组织学检查后,确诊为鞍区脑膜瘤。本病例报告显示了生育激素治疗与鞍区脑膜瘤之间罕见的关联,以及基于临床表现和影像学研究将脑膜瘤与其他鞍区肿块(如垂体腺瘤)区分开来具有挑战性。

https://cdn.ncbi.nlm.nih.gov/pmc/blobs/ff63/12242357/029c86f61951/cureus-0017-00000085675-i01.jpg

文献AI研究员

20分钟写一篇综述,助力文献阅读效率提升50倍。

立即体验

用中文搜PubMed

大模型驱动的PubMed中文搜索引擎

马上搜索

文档翻译

学术文献翻译模型,支持多种主流文档格式。

立即体验