• 文献检索
  • 文档翻译
  • 深度研究
  • 学术资讯
  • Suppr Zotero 插件Zotero 插件
  • 邀请有礼
  • 套餐&价格
  • 历史记录
应用&插件
Suppr Zotero 插件Zotero 插件浏览器插件Mac 客户端Windows 客户端微信小程序
定价
高级版会员购买积分包购买API积分包
服务
文献检索文档翻译深度研究API 文档MCP 服务
关于我们
关于 Suppr公司介绍联系我们用户协议隐私条款
关注我们

Suppr 超能文献

核心技术专利:CN118964589B侵权必究
粤ICP备2023148730 号-1Suppr @ 2026

文献检索

告别复杂PubMed语法,用中文像聊天一样搜索,搜遍4000万医学文献。AI智能推荐,让科研检索更轻松。

立即免费搜索

文件翻译

保留排版,准确专业,支持PDF/Word/PPT等文件格式,支持 12+语言互译。

免费翻译文档

深度研究

AI帮你快速写综述,25分钟生成高质量综述,智能提取关键信息,辅助科研写作。

立即免费体验

通过与膜近端纤连蛋白III型结构域结合的抗体对PTPRS蛋白聚糖开关进行调节。

Modulation of the PTPRS proteoglycan switch by antibodies binding to the membrane-proximal fibronectin-type III domain.

作者信息

Hein Da Rosa Thales, Ramsey Sterling H, Lee Judy J, Kozlova Natalia Y, Zhao Zixuan, Kim Jaeyeon, Schneider Ava C, Li Sheng, Katiki Madhusudhanarao, Firestein Gary S, Murali Ramachandran, Santelli Eugenio, Stanford Stephanie M, Bottini Nunzio

机构信息

Department of Medicine, Kao Autoimmunity Institute, Cedars-Sinai Medical Center, Los Angeles, California, USA.

Department of Medicine, University of California, San Diego, La Jolla, California, USA.

出版信息

J Biol Chem. 2025 Jul 10;301(8):110470. doi: 10.1016/j.jbc.2025.110470.

DOI:10.1016/j.jbc.2025.110470
PMID:40651610
原文链接:https://pmc.ncbi.nlm.nih.gov/articles/PMC12363564/
Abstract

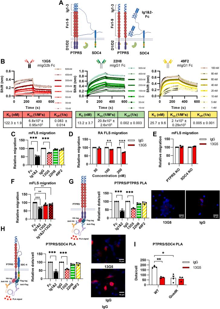
Protein tyrosine phosphatases (PTPs) receptor type II A (R2A) are negatively regulated through oligomerization upon binding of their extracellular domains to glycosaminoglycans (GAGs) on heparan sulfate proteoglycans (HSPGs). Inactivation of receptor PTP sigma (PTPRS) by HSPGs promotes the aggressive behavior of fibroblast-like synoviocytes (FLS) in rheumatoid arthritis (RA). Blocking the binding of its N-terminal, membrane-distal immunoglobulin-like 1 and 2 (Ig1&2) domains to its GAG ligands on the HSPG syndecan-4 (SDC4) promotes PTPRS activity and reverses the pathogenic phenotype of FLS. The potential for therapeutically leveraging other PTPRS ectodomain regions is, however, unknown. We show targeting the membrane-proximal fibronectin type III-like 9 (Fn9) domain offers a novel avenue to activate PTPRS. We mapped PTPRS Fn9 as the binding site of three antibodies (Abs) (13G5, 22H8, 49F2) and characterized their effects on cells. Despite sharing similar epitopes, we found large differences in the ability of these Abs to regulate PTPRS activity. One of these, 13G5, reduced PTPRS-dependent cell migration, PTPRS co-localization with SDC4, and PTPRS oligomerization. Single-chain variable fragment Abs of 13G5 and 22H8 were similarly effective at activating cellular PTPRS as 13G5. Replacing the entire 13G5 constant region enhanced its binding and cellular activity, indicating the Ab's potency can be optimized via isotype engineering. Treatment of cells with recombinant Fn9 protein acted as a decoy, disrupting PTPRS colocalization with SDC4 and oligomerization, and inhibiting FLS migration. Finally, significant disease mitigation in mice using 13G5-derived Abs suggests a viable strategy for the generation of novel drugs for RA therapy.

摘要

蛋白酪氨酸磷酸酶(PTP)IIA型受体(R2A)在其细胞外结构域与硫酸乙酰肝素蛋白聚糖(HSPG)上的糖胺聚糖(GAG)结合后,通过寡聚化受到负调控。HSPG使受体型蛋白酪氨酸磷酸酶σ(PTPRS)失活,促进类风湿关节炎(RA)中成纤维样滑膜细胞(FLS)的侵袭性行为。阻断其N端、膜远端免疫球蛋白样结构域1和2(Ig1&2)与HSPG syndecan-4(SDC4)上的GAG配体的结合,可促进PTPRS活性,并逆转FLS的致病表型。然而,利用其他PTPRS胞外结构域区域进行治疗的潜力尚不清楚。我们发现靶向膜近端纤连蛋白III样结构域9(Fn9)为激活PTPRS提供了一条新途径。我们将PTPRS Fn9定位为三种抗体(Abs)(13G5、22H8、49F2)的结合位点,并表征了它们对细胞的影响。尽管这些抗体具有相似的表位,但我们发现它们调节PTPRS活性的能力存在很大差异。其中一种抗体13G5可减少PTPRS依赖性细胞迁移、PTPRS与SDC4的共定位以及PTPRS寡聚化。13G5和22H8的单链可变片段抗体在激活细胞PTPRS方面与13G5同样有效。替换整个13G5恒定区可增强其结合和细胞活性,表明可通过同种型工程优化抗体的效力。用重组Fn9蛋白处理细胞可起到诱饵作用,破坏PTPRS与SDC4的共定位和寡聚化,并抑制FLS迁移。最后,使用源自13G5的抗体在小鼠中显著减轻疾病,这为开发用于RA治疗的新型药物提供了一种可行策略。

https://cdn.ncbi.nlm.nih.gov/pmc/blobs/3153/12363564/6de5996921b6/gr6.jpg
https://cdn.ncbi.nlm.nih.gov/pmc/blobs/3153/12363564/6cefd719cf46/gr1.jpg
https://cdn.ncbi.nlm.nih.gov/pmc/blobs/3153/12363564/936136f201bf/gr2.jpg
https://cdn.ncbi.nlm.nih.gov/pmc/blobs/3153/12363564/9977d74245aa/gr3.jpg
https://cdn.ncbi.nlm.nih.gov/pmc/blobs/3153/12363564/96f2385fbaf8/gr4.jpg
https://cdn.ncbi.nlm.nih.gov/pmc/blobs/3153/12363564/60a1ac000eed/gr5.jpg
https://cdn.ncbi.nlm.nih.gov/pmc/blobs/3153/12363564/6de5996921b6/gr6.jpg
https://cdn.ncbi.nlm.nih.gov/pmc/blobs/3153/12363564/6cefd719cf46/gr1.jpg
https://cdn.ncbi.nlm.nih.gov/pmc/blobs/3153/12363564/936136f201bf/gr2.jpg
https://cdn.ncbi.nlm.nih.gov/pmc/blobs/3153/12363564/9977d74245aa/gr3.jpg
https://cdn.ncbi.nlm.nih.gov/pmc/blobs/3153/12363564/96f2385fbaf8/gr4.jpg
https://cdn.ncbi.nlm.nih.gov/pmc/blobs/3153/12363564/60a1ac000eed/gr5.jpg
https://cdn.ncbi.nlm.nih.gov/pmc/blobs/3153/12363564/6de5996921b6/gr6.jpg

相似文献

1
Modulation of the PTPRS proteoglycan switch by antibodies binding to the membrane-proximal fibronectin-type III domain.通过与膜近端纤连蛋白III型结构域结合的抗体对PTPRS蛋白聚糖开关进行调节。
J Biol Chem. 2025 Jul 10;301(8):110470. doi: 10.1016/j.jbc.2025.110470.
2
Prescription of Controlled Substances: Benefits and Risks管制药品的处方:益处与风险
3
[Mechanism of 4-methylcatechol in inhibiting fibroblast-like synoviocyte migration and suppressing inflammatory responses in treatment of rheumatoid arthritis].4-甲基儿茶酚在类风湿关节炎治疗中抑制成纤维样滑膜细胞迁移及抑制炎症反应的机制
Zhongguo Xiu Fu Chong Jian Wai Ke Za Zhi. 2025 Aug 15;39(8):1051-1060. doi: 10.7507/1002-1892.202503013.
4
Targeting phosphatase-dependent proteoglycan switch for rheumatoid arthritis therapy.靶向磷酸酶依赖性蛋白聚糖开关用于类风湿性关节炎治疗
Sci Transl Med. 2015 May 20;7(288):288ra76. doi: 10.1126/scitranslmed.aaa4616.
5
Regulation of fibroblast-like synoviocyte function by cadherin 6 in rheumatoid arthritis.钙黏蛋白6对类风湿关节炎中成纤维样滑膜细胞功能的调节作用
Arthritis Res Ther. 2025 Aug 29;27(1):172. doi: 10.1186/s13075-025-03637-1.
6
Mechanisms and synergistic effects of the active components of Xanthocerais lignum in inhibiting rheumatoid arthritis through the modulation of the biological behavior of synovial cells.黄檗木活性成分通过调节滑膜细胞生物学行为抑制类风湿关节炎的机制及协同作用
J Ethnopharmacol. 2025 Jun 24;352:120200. doi: 10.1016/j.jep.2025.120200.
7
Unveiling the Therapeutic Potential: Targeting Fibroblast-like Synoviocytes in Rheumatoid Arthritis.揭示治疗潜力:靶向类风湿关节炎中的成纤维细胞样滑膜细胞
Expert Rev Mol Med. 2025 Jun 5;27:e18. doi: 10.1017/erm.2025.11.
8
Columbianadin ameliorates rheumatoid arthritis by attenuating synoviocyte hyperplasia through targeted vimentin to inhibit the VAV2/Rac-1 signaling pathway.哥伦比亚甙元通过靶向波形蛋白减轻滑膜细胞增生,抑制VAV2/Rac-1信号通路,从而改善类风湿性关节炎。
J Adv Res. 2025 Aug;74:609-620. doi: 10.1016/j.jare.2024.09.030. Epub 2024 Oct 5.
9
Inhibition of PTPRS function does not affect the survival or regeneration of dopaminergic neurons but alters synaptic function in the nigrostriatal pathway.抑制PTPRS的功能不会影响多巴胺能神经元的存活或再生,但会改变黑质纹状体通路中的突触功能。
Neurobiol Dis. 2025 Sep;213:107023. doi: 10.1016/j.nbd.2025.107023. Epub 2025 Jul 5.
10
DLX4 regulates rheumatoid arthritis fibroblast-like synoviocytes invasiveness and a cancer transcriptomic signature.DLX4调节类风湿性关节炎成纤维细胞样滑膜细胞的侵袭性及一种癌症转录组特征。
Sci Rep. 2025 Jul 11;15(1):25164. doi: 10.1038/s41598-025-08960-w.

本文引用的文献

1
Protein tyrosine phosphatases: emerging role in cancer therapy resistance.蛋白酪氨酸磷酸酶:在癌症治疗耐药性中的新作用。
Cancer Commun (Lond). 2024 Jun;44(6):637-653. doi: 10.1002/cac2.12548. Epub 2024 May 13.
2
Properties of FDA-approved small molecule protein kinase inhibitors: A 2024 update.美国食品药品监督管理局批准的小分子蛋白激酶抑制剂的特性:2024年更新
Pharmacol Res. 2024 Feb;200:107059. doi: 10.1016/j.phrs.2024.107059. Epub 2024 Jan 11.
3
Targeting phosphatases: From molecule design to clinical trials.靶向磷酸酶:从分子设计到临床试验。
Eur J Med Chem. 2024 Jan 15;264:116031. doi: 10.1016/j.ejmech.2023.116031. Epub 2023 Dec 8.
4
The PTPN2/PTPN1 inhibitor ABBV-CLS-484 unleashes potent anti-tumour immunity.蛋白酪氨酸磷酸酶N2/蛋白酪氨酸磷酸酶N1抑制剂ABBV-CLS-484可释放强大的抗肿瘤免疫力。
Nature. 2023 Oct;622(7984):850-862. doi: 10.1038/s41586-023-06575-7. Epub 2023 Oct 4.
5
Rheumatoid arthritis: the old issue, the new therapeutic approach.类风湿关节炎:老问题,新疗法。
Stem Cell Res Ther. 2023 Sep 23;14(1):268. doi: 10.1186/s13287-023-03473-7.
6
Manipulating PTPRD function with ectodomain antibodies.利用外域抗体来操控 PTPRD 功能。
Genes Dev. 2023 Aug 1;37(15-16):743-759. doi: 10.1101/gad.350713.123. Epub 2023 Sep 5.
7
SHP2 Inhibition Sensitizes Diverse Oncogene-Addicted Solid Tumors to Re-treatment with Targeted Therapy.SHP2 抑制增强了多种致癌基因依赖的实体肿瘤对靶向治疗的再治疗敏感性。
Cancer Discov. 2023 Aug 4;13(8):1789-1801. doi: 10.1158/2159-8290.CD-23-0361.
8
Status of research on natural protein tyrosine phosphatase 1B inhibitors as potential antidiabetic agents: Update.天然蛋白酪氨酸磷酸酶1B抑制剂作为潜在抗糖尿病药物的研究现状:最新进展
Biomed Pharmacother. 2023 Jan;157:113990. doi: 10.1016/j.biopha.2022.113990. Epub 2022 Nov 29.
9
Targeting fibroblast-like synoviocytes in rheumatoid arthritis.类风湿关节炎中纤维母细胞样滑膜细胞的靶向治疗。
Curr Opin Pharmacol. 2022 Dec;67:102304. doi: 10.1016/j.coph.2022.102304. Epub 2022 Oct 10.
10
'Difficult to treat' rheumatoid arthritis: current position and considerations for next steps.“难治性”类风湿关节炎:当前的立场和下一步的考虑。
RMD Open. 2022 Jul;8(2). doi: 10.1136/rmdopen-2022-002387.