Suppr超能文献

高海拔地区广泛脑静脉窦血栓形成

Extensive Cerebral Venous Sinus Thrombosis at High Altitude.

作者信息

Ouachaou Jamal, Aicha Driouich, Sidayne Mohammed, El Khettab Fatimazahrae, Zarrouki Youssef

机构信息

Anesthesiology and Intensive Care, Mohammed VI University Hospital of Marrakech, Faculty of Medicine and Pharmacy, Cadi Ayyad University, Marrakech, MAR.

出版信息

Cureus. 2025 Jun 10;17(6):e85742. doi: 10.7759/cureus.85742. eCollection 2025 Jun.

Abstract

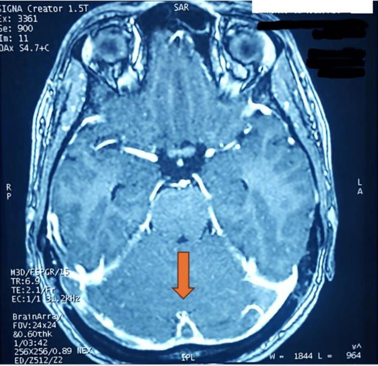
Rapid ascent to altitudes above 8,000 feet (2,500 meters) is known to be associated with acute mountain sickness (AMS), but its role as a cause of cerebrovascular disorders is rarely described. Cerebral venous sinus thrombosis is a rare and potentially fatal condition that can frequently be misdiagnosed. In this article, we report an unusual case of a 27-year-old woman who developed an extensive cerebral venous sinus thrombosis (CVST) during an expedition in the Atlas Mountains. The underlying mechanisms explaining this event will be discussed in light of this clinical observation.

摘要

众所周知,快速攀升至海拔8000英尺(2500米)以上会引发急性高原病(AMS),但其作为脑血管疾病病因的作用却鲜有描述。脑静脉窦血栓形成是一种罕见且可能致命的病症,常常容易被误诊。在本文中,我们报告了一例不同寻常的病例,一名27岁女性在阿特拉斯山脉探险期间发生了广泛的脑静脉窦血栓形成(CVST)。我们将根据这一临床观察结果讨论解释该事件的潜在机制。

https://cdn.ncbi.nlm.nih.gov/pmc/blobs/1e63/12246765/93f6fa9a1ec7/cureus-0017-00000085742-i01.jpg

文献AI研究员

20分钟写一篇综述,助力文献阅读效率提升50倍。

立即体验

用中文搜PubMed

大模型驱动的PubMed中文搜索引擎

马上搜索

文档翻译

学术文献翻译模型,支持多种主流文档格式。

立即体验