Suppr超能文献

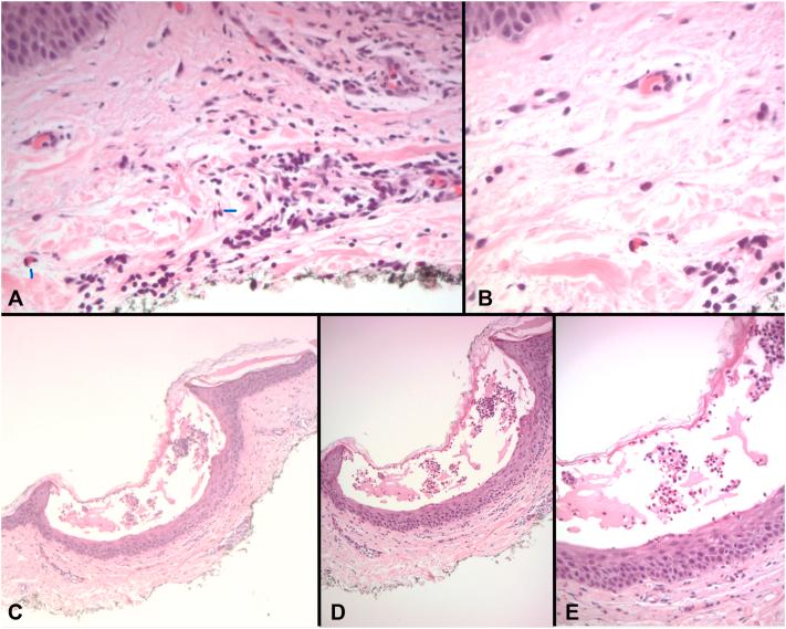
A case of acute generalized exanthematous pustulosis following administration of nemolizumab.

作者信息

Khoo Alyssa, Volpicelli Elgida, de Moll Elle

机构信息

Department of Dermatopathology, Stamford Hospital, Stamford, Connecticut.

Department of Dermatology, Yale School of Medicine, New Haven, Connecticut.

出版信息

JAAD Case Rep. 2025 May 21;62:40-42. doi: 10.1016/j.jdcr.2025.04.033. eCollection 2025 Aug.

Abstract
摘要
https://cdn.ncbi.nlm.nih.gov/pmc/blobs/5a43/12256328/d1086e034798/gr1.jpg

文献AI研究员

20分钟写一篇综述,助力文献阅读效率提升50倍。

立即体验

用中文搜PubMed

大模型驱动的PubMed中文搜索引擎

马上搜索

文档翻译

学术文献翻译模型,支持多种主流文档格式。

立即体验