Suppr超能文献

痔脱垂手术后继发性直肠穿孔:一例报告

Secondary rectal perforation following procedure for prolapsed hemorrhoids: a case report.

作者信息

Zhang Liman, Yang Jie, Wang Qiang, Jiao Hao, Wang Lili, Wang Lifang, Liu Meizhen

机构信息

Anorectal Department, Shijiazhuang Traditional Chinese Medical Hospital, 233 Zhongshan Road, Shijiazhuang, 050001, China.

出版信息

J Surg Case Rep. 2025 Jul 14;2025(7):rjaf501. doi: 10.1093/jscr/rjaf501. eCollection 2025 Jul.

Abstract

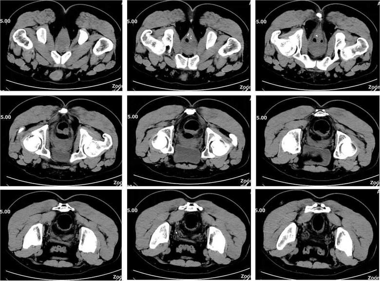
The procedure for prolapse and hemorrhoids (PPH) is designed to reposition displaced anal cushions by circumferential resection of the distal rectal mucosa. PPH offers advantages over traditional excisional hemorrhoidectomy, including less postoperative pain and a shorter hospital stay. However, complications such as anastomotic dehiscence and rectal perforation may occur and require prompt management. This case report presents a patient who developed rectal perforation following PPH, aiming to provide valuable insights for clinical practice.

摘要

吻合器痔上黏膜环切术(PPH)的操作旨在通过环形切除直肠远端黏膜来重新定位移位的肛垫。与传统的痔切除术相比,PPH具有术后疼痛较轻、住院时间较短等优点。然而,可能会出现诸如吻合口裂开和直肠穿孔等并发症,需要及时处理。本病例报告介绍了一名在PPH术后发生直肠穿孔的患者,旨在为临床实践提供有价值的见解。

https://cdn.ncbi.nlm.nih.gov/pmc/blobs/9836/12257625/414857068094/rjaf501f1.jpg

文献AI研究员

20分钟写一篇综述,助力文献阅读效率提升50倍。

立即体验

用中文搜PubMed

大模型驱动的PubMed中文搜索引擎

马上搜索

文档翻译

学术文献翻译模型,支持多种主流文档格式。

立即体验