Suppr超能文献

马扎布劳德综合征:一例随访23年的病例报告。

Mazabraud Syndrome: A Case Report With 23 Years of Follow-Up.

作者信息

Tilkidis Fotios A, Gelalis Dimitrios I, Koumoulidis Ioannis K, Theodorou Daphne J, Theodorou Stavroula J, Gkiatas Ioannis S, Kosmas Dimitrios V, Pakos Emilios E, Gelalis Ioannis D

机构信息

Department of Orthopaedic Surgery and Traumatology, University Hospital of Ioannina, Ioannina, GRC.

Radiology, Magnetic Resonance Imaging-Computed Tomography (MRI-CT) Unit, University Hospital of Ioannina, Ioannina, GRC.

出版信息

Cureus. 2025 Jun 13;17(6):e85972. doi: 10.7759/cureus.85972. eCollection 2025 Jun.

Abstract

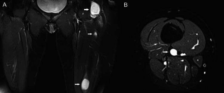
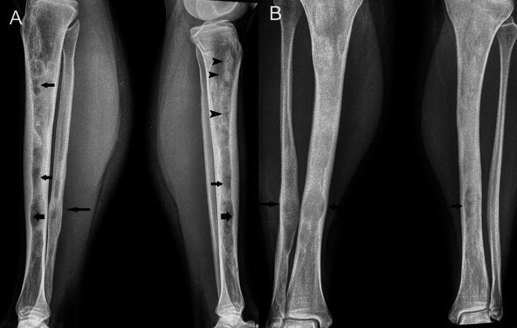
Mazabraud syndrome is a rare condition characterized by the coexistence of fibrous dysplasia (FD) and intramuscular myxomas. A 46-year-old woman, initially diagnosed with polyostotic FD at the age of 23, developed a palpable mass on her left arm 15 years later, which proved to be an intramuscular myxoma. A diagnosis of Mazabraud syndrome was made. Over the following two decades, she developed additional intramuscular myxomas. The patient denied surgical excision of the soft tissue lesions and was managed conservatively for symptomatic FD. Radiologic imaging, including MRI and ultrasound, played a crucial role in the diagnosis and the assessment of disease progression. Although both FD and myxomas are benign musculoskeletal abnormalities, close follow-up of the patients is essential to monitor changes in the number, distribution, and extent of lesions that may occasionally undergo malignant transformation. This case underscores the importance of early detection and long-term follow-up of patients with FD who may present with, or eventually develop, intramuscular myxomas, comprising Mazabraud syndrome.

摘要

马扎布劳德综合征是一种罕见疾病,其特征为骨纤维发育不良(FD)和肌内黏液瘤并存。一名46岁女性,23岁时最初被诊断为多骨型FD,15年后左手臂出现一个可触及的肿块,经证实为肌内黏液瘤。遂作出马扎布劳德综合征的诊断。在接下来的二十年里,她又出现了其他肌内黏液瘤。该患者拒绝手术切除软组织病变,对有症状的FD采取保守治疗。包括MRI和超声在内的放射学成像在疾病诊断和病情进展评估中发挥了关键作用。尽管FD和黏液瘤均为良性肌肉骨骼异常,但对患者进行密切随访对于监测可能偶尔发生恶变的病变的数量、分布和范围变化至关重要。该病例强调了对可能出现或最终发展为肌内黏液瘤(构成马扎布劳德综合征)的FD患者进行早期检测和长期随访的重要性。

https://cdn.ncbi.nlm.nih.gov/pmc/blobs/0625/12256957/44c3e5a1165e/cureus-0017-00000085972-i01.jpg

文献AI研究员

20分钟写一篇综述,助力文献阅读效率提升50倍。

立即体验

用中文搜PubMed

大模型驱动的PubMed中文搜索引擎

马上搜索

文档翻译

学术文献翻译模型,支持多种主流文档格式。

立即体验