Suppr超能文献

绿海龟(蠵龟)肾脏的形态学。

The morphology of the kidney of the green turtle (Chelonia mydas L.).

作者信息

Solomon S E

出版信息

J Anat. 1985 May;140 ( Pt 3)(Pt 3):355-69.

Abstract

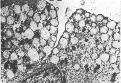
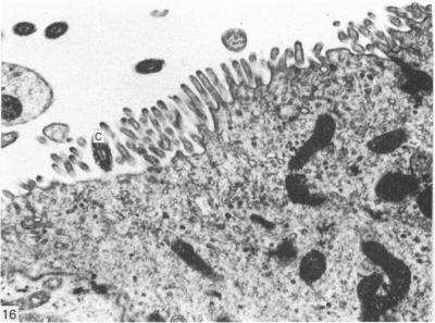
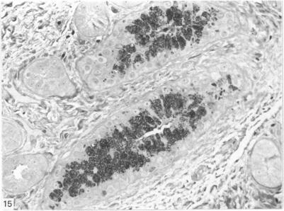
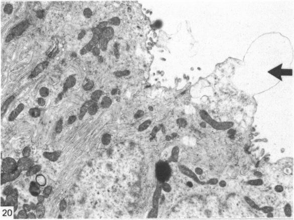
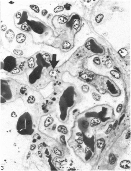
The kidneys of the green turtle are flattened, lobed and closely applied to the posterior wall of the pleuroperitoneal cavity. The ability to differentiate new functional nephrons is retained by five years old animals. The functional nephron comprises a glomerulus, proximal tubule, intermediate segment which can be subdivided into a proximal non-secretory segment and a distal mucus secreting segment, distal convoluted tubule and collecting tubule. Both the proximal and distal tubules exhibit complex foldings on their lateral cell walls in contradistinction to the characteristic basal infoldings observed in mammalian tubules.

摘要

绿海龟的肾脏扁平、呈叶状,紧密贴附于胸膜腹膜腔的后壁。五岁的绿海龟仍保留分化出新的功能性肾单位的能力。功能性肾单位由肾小球、近端小管、中间段(可细分为近端非分泌段和远端黏液分泌段)、远端曲管和集合管组成。与哺乳动物肾小管中典型的基底褶不同,近端和远端小管的外侧细胞壁均呈现出复杂的褶皱。

https://cdn.ncbi.nlm.nih.gov/pmc/blobs/dbcb/1165102/b3acbe7fe0db/janat00195-0004-a.jpg

文献检索

告别复杂PubMed语法,用中文像聊天一样搜索,搜遍4000万医学文献。AI智能推荐,让科研检索更轻松。

立即免费搜索

文件翻译

保留排版,准确专业,支持PDF/Word/PPT等文件格式,支持 12+语言互译。

免费翻译文档

深度研究

AI帮你快速写综述,25分钟生成高质量综述,智能提取关键信息,辅助科研写作。

立即免费体验