Molgado-Garza Víctor M, Madero-Morales Pedro A, Guillén-Lozoya Andrés, López-Sánchez Eliud, Garza-Hernández Jesús R, Pacheco-Molina Carlos
Urology, Hospital Universitario Dr. José Eleuterio González, Monterrey, MEX.
Urology, Mayo Clinic, Rochester, USA.
Cureus. 2025 Jun 15;17(6):e86066. doi: 10.7759/cureus.86066. eCollection 2025 Jun.
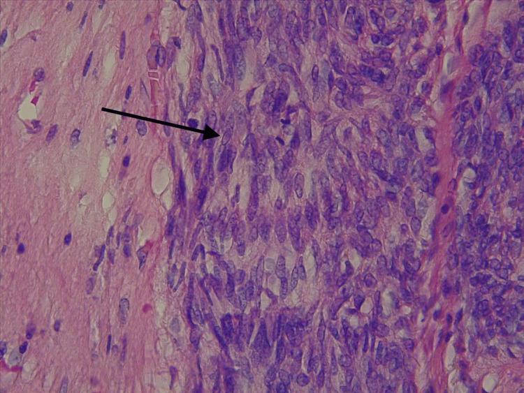
Prostate sarcomas are rare and aggressive malignancies. It commonly presents with obstructive urinary symptoms and a normal prostate-specific antigen (PSA), making early diagnosis difficult due to its clinical overlap with benign prostatic conditions. These tumors tend to present at an advanced stage due to unspecific symptoms and their aggressive progression. Radical surgery remains the gold-standard treatment, but its impact on the overall prognosis remains limited, particularly in patients over 50 years of age with metastatic or locally advanced disease. We present the case of a 71-year-old male who presented with refractory severe lower urinary tract symptoms (LUTS) despite a previous transurethral resection of the prostate (TURP) and dual therapy. Imaging revealed an enlarged prostate (300 g) and repeated TURP procedures failed to relieve symptoms or identify malignancy until the histopathology from a subsequent procedure revealed prostate leiomyosarcoma. Further imaging demonstrated local extension to the bladder and rectum. A multidisciplinary team proceeded with total pelvic exenteration, including resection of the prostate, bladder, and rectum, and creation of an ileal conduit and colostomy. Postoperative pathology was positive for a T4 leiomyosarcoma, infiltrating bladder and rectum, with preserved seminal vesicles. The patient initially recovered but later developed hypovolemic shock from arterial bleeding and required additional surgeries. Despite intensive care and surgical efforts, he died on postoperative day 28 due to disseminated intravascular coagulation. This case highlights the diagnostic challenges, aggressive progression, and scarcity of treatment options for this condition, emphasizing the importance of early diagnosis and multidisciplinary management.
前列腺肉瘤是罕见的侵袭性恶性肿瘤。它通常表现为梗阻性尿路症状,而前列腺特异性抗原(PSA)正常,由于其与良性前列腺疾病在临床上有重叠,导致早期诊断困难。由于症状不特异且进展迅速,这些肿瘤往往在晚期才出现。根治性手术仍然是金标准治疗方法,但其对总体预后的影响仍然有限,特别是对于年龄超过50岁的转移性或局部晚期疾病患者。我们报告一例71岁男性患者,尽管此前接受了经尿道前列腺切除术(TURP)和双重治疗,但仍出现难治性严重下尿路症状(LUTS)。影像学检查显示前列腺增大(300克),多次TURP手术均未能缓解症状或发现恶性肿瘤,直到后续手术的组织病理学检查显示为前列腺平滑肌肉瘤。进一步的影像学检查显示肿瘤局部侵犯膀胱和直肠。一个多学科团队进行了全盆腔脏器切除术,包括切除前列腺、膀胱和直肠,并创建了回肠造口术和结肠造口术。术后病理显示为T4期平滑肌肉瘤,侵犯膀胱和直肠,精囊未受累。患者最初恢复良好,但后来因动脉出血发展为低血容量性休克,需要再次手术。尽管进行了重症监护和手术治疗,他仍在术后第28天因弥散性血管内凝血死亡。该病例突出了这种疾病在诊断上的挑战、侵袭性进展以及治疗选择的匮乏,强调了早期诊断和多学科管理的重要性。