Suppr超能文献

一名年轻女性难治性慢性腹泻合并视神经炎:病例报告

Refractory chronic diarrhea complicated with optic neuritis in a young woman: A case report.

作者信息

Chen Chao-Nan, Fan Xin-Yu, Yang Chong-Mei, Zhang Xiao-Hua, Liu Jin

机构信息

Shandong Provincial Hospital Affiliated to Shandong First Medical University, Jinan 250021, Shandong Province, China.

Department of Gastroenterology, Shandong Provincial Hospital Affiliated to Shandong First Medical University, Jinan 250000, Shandong Province, China.

出版信息

World J Gastrointest Endosc. 2025 Jul 16;17(7):106208. doi: 10.4253/wjge.v17.i7.106208.

Abstract

BACKGROUND

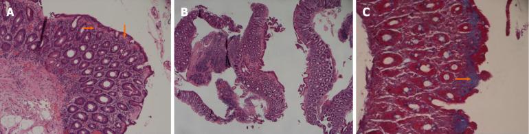
Collagenous sprue is a serious intestinal malabsorption disorder characterized by dull and flattened intestinal villi with subepithelial collagen deposition. At present, fewer than 100 cases have been reported in the literature. Owing to the rarity of this disease, clinicians and pathologists have insufficient understanding of it.

CASE SUMMARY

The authors present a case of a 34-year-old female patient who presented with severe watery diarrhea with significant weight loss. She also experienced blurred binocular vision. The intestinal lesions were located mainly in the small intestine, which presented flat and dull intestinal villi with subepithelial collagen deposition. Masson staining was positive. Glucocorticoids were effective for this patient, but there seemed to be glucocorticoid dependence.

CONCLUSION

Collagenous stomatitis diarrhea is a rare intestinal malabsorption disease that needs to be diagnosed in combination with special clinical manifestations and unique histological features.

摘要

背景

胶原性口炎性腹泻是一种严重的肠道吸收不良疾病,其特征为肠绒毛变钝、变平,并伴有上皮下胶原沉积。目前,文献报道的病例不足100例。由于这种疾病罕见,临床医生和病理学家对其了解不足。

病例摘要

作者报告了一例34岁女性患者,该患者出现严重水样腹泻并伴有显著体重减轻。她还出现双眼视力模糊。肠道病变主要位于小肠,表现为肠绒毛扁平、变钝,伴有上皮下胶原沉积。Masson染色呈阳性。糖皮质激素对该患者有效,但似乎存在糖皮质激素依赖。

结论

胶原性口炎性腹泻是一种罕见的肠道吸收不良疾病,需要结合特殊的临床表现和独特的组织学特征进行诊断。

https://cdn.ncbi.nlm.nih.gov/pmc/blobs/f02d/12264809/646cb73400b4/wjge-17-7-106208-g001.jpg

文献检索

告别复杂PubMed语法,用中文像聊天一样搜索,搜遍4000万医学文献。AI智能推荐,让科研检索更轻松。

立即免费搜索

文件翻译

保留排版,准确专业,支持PDF/Word/PPT等文件格式,支持 12+语言互译。

免费翻译文档

深度研究

AI帮你快速写综述,25分钟生成高质量综述,智能提取关键信息,辅助科研写作。

立即免费体验