• 文献检索
  • 文档翻译
  • 深度研究
  • 学术资讯
  • Suppr Zotero 插件Zotero 插件
  • 邀请有礼
  • 套餐&价格
  • 历史记录
应用&插件
Suppr Zotero 插件Zotero 插件浏览器插件Mac 客户端Windows 客户端微信小程序
定价
高级版会员购买积分包购买API积分包
服务
文献检索文档翻译深度研究API 文档MCP 服务
关于我们
关于 Suppr公司介绍联系我们用户协议隐私条款
关注我们

Suppr 超能文献

核心技术专利:CN118964589B侵权必究
粤ICP备2023148730 号-1Suppr @ 2026

文献检索

告别复杂PubMed语法,用中文像聊天一样搜索,搜遍4000万医学文献。AI智能推荐,让科研检索更轻松。

立即免费搜索

文件翻译

保留排版,准确专业,支持PDF/Word/PPT等文件格式,支持 12+语言互译。

免费翻译文档

深度研究

AI帮你快速写综述,25分钟生成高质量综述,智能提取关键信息,辅助科研写作。

立即免费体验

不明原因的双侧肾上腺出血及肾上腺功能不全揭示伯基特淋巴瘤

Unexplained Bilateral Adrenal Hemorrhage and Adrenal Insufficiency Unveiling Burkitt's Lymphoma.

作者信息

Oweidat Majd, Abu Rumilah Anas, Maraqa Mohammed, Natsheh Motaz

机构信息

College of Medicine, Hebron University, Hebron, West Bank, Palestine.

Division of Endocrinology, Department of Internal Medicine, Al-Ahli Hospital, Hebron, West Bank, Palestine.

出版信息

AACE Endocrinol Diabetes. 2025 Apr 10;12(1):24-29. doi: 10.1016/j.aed.2025.03.007. eCollection 2025 May-Jun.

DOI:10.1016/j.aed.2025.03.007
PMID:40677789
原文链接:https://pmc.ncbi.nlm.nih.gov/articles/PMC12268556/
Abstract

BACKGROUND/OBJECTIVE: Adrenal hemorrhage (AH) and adrenal insufficiency (AI) are rare, life-threatening conditions, typically linked to trauma, sepsis, or anticoagulation. Burkitt's lymphoma (BL), an aggressive B-cell non-Hodgkin lymphoma, rarely involves the adrenal glands and has not been reported to present with AH and AI. This report describes a unique case of AH and AI presenting as manifestations of BL, highlighting the importance of considering malignancy in unexplained AH and AI.

CASE REPORT

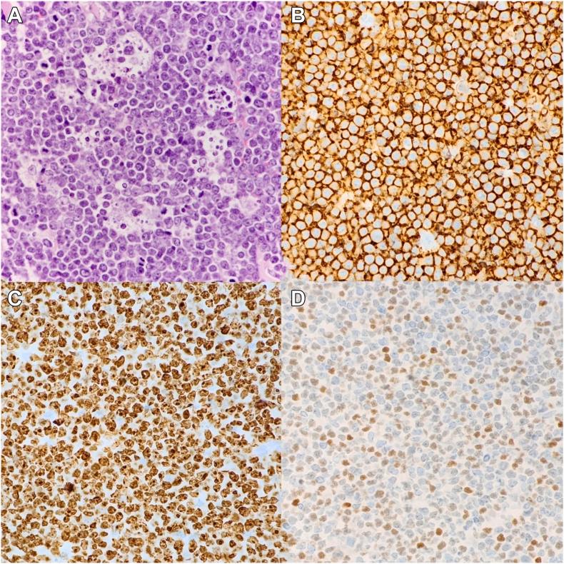
A 16-year-old boy presented with acute right flank pain and muscle spasms. Imaging revealed a right suprarenal hematoma with active contrast extravasation, managed with adrenal artery embolization. Two weeks later, he developed recurrent abdominal pain, vomiting, and distention. Computed tomography showed bilateral adrenal enlargement with necrosis and hemorrhage. Laboratory test results revealed normocytic anemia, increased lactate dehydrogenase level, and hypoglycemia. AI was confirmed (serum cortisol level, 1.5 μg/dL; adrenocorticotropic hormone level, 82 pg/mL), prompting hydrocortisone replacement. Positron emission tomography/computed tomography revealed hypermetabolic lesions in bilateral adrenal glands, lymph nodes, pleura, peritoneum, and bone marrow. Neck lymph node biopsy confirmed BL, showing a "starry sky" pattern, CD20 positivity, and Ki-67 nearing 100%. Intensive chemotherapy led to significant clinical improvement.

DISCUSSION

This case highlights the diagnostic challenge of AH and AI without typical risk factors. BL, although rarely involving the adrenal glands, should be considered in unexplained AH.

CONCLUSION

This report highlights the importance of considering malignancy in unexplained AH and AI, even without conventional risk factors.

摘要

背景/目的:肾上腺出血(AH)和肾上腺功能不全(AI)是罕见的、危及生命的病症,通常与创伤、脓毒症或抗凝有关。伯基特淋巴瘤(BL)是一种侵袭性B细胞非霍奇金淋巴瘤,很少累及肾上腺,且尚无报告称其会表现为AH和AI。本报告描述了一例以BL表现形式出现的AH和AI的独特病例,强调了在不明原因的AH和AI中考虑恶性肿瘤的重要性。

病例报告

一名16岁男孩出现急性右侧胁腹疼痛和肌肉痉挛。影像学检查显示右肾上腺血肿伴有造影剂外渗,通过肾上腺动脉栓塞进行治疗。两周后,他出现反复腹痛、呕吐和腹胀。计算机断层扫描显示双侧肾上腺肿大伴坏死和出血。实验室检查结果显示正细胞性贫血、乳酸脱氢酶水平升高和低血糖。确诊为AI(血清皮质醇水平为1.5μg/dL;促肾上腺皮质激素水平为82pg/mL),遂开始氢化可的松替代治疗。正电子发射断层扫描/计算机断层扫描显示双侧肾上腺、淋巴结、胸膜、腹膜和骨髓有高代谢病变。颈部淋巴结活检确诊为BL,呈现“星空”样图案,CD20阳性,Ki-67接近100%。强化化疗使临床症状显著改善。

讨论

本病例突出了无典型危险因素的AH和AI的诊断挑战。BL虽然很少累及肾上腺,但在不明原因的AH中应予以考虑。

结论

本报告强调了在不明原因的AH和AI中考虑恶性肿瘤的重要性,即使没有传统危险因素。

https://cdn.ncbi.nlm.nih.gov/pmc/blobs/8103/12268556/d10682108fe1/gr3.jpg
https://cdn.ncbi.nlm.nih.gov/pmc/blobs/8103/12268556/d04cca100a5b/gr1.jpg
https://cdn.ncbi.nlm.nih.gov/pmc/blobs/8103/12268556/255a5c7ad6fe/gr2.jpg
https://cdn.ncbi.nlm.nih.gov/pmc/blobs/8103/12268556/d10682108fe1/gr3.jpg
https://cdn.ncbi.nlm.nih.gov/pmc/blobs/8103/12268556/d04cca100a5b/gr1.jpg
https://cdn.ncbi.nlm.nih.gov/pmc/blobs/8103/12268556/255a5c7ad6fe/gr2.jpg
https://cdn.ncbi.nlm.nih.gov/pmc/blobs/8103/12268556/d10682108fe1/gr3.jpg

相似文献

1
Unexplained Bilateral Adrenal Hemorrhage and Adrenal Insufficiency Unveiling Burkitt's Lymphoma.不明原因的双侧肾上腺出血及肾上腺功能不全揭示伯基特淋巴瘤
AACE Endocrinol Diabetes. 2025 Apr 10;12(1):24-29. doi: 10.1016/j.aed.2025.03.007. eCollection 2025 May-Jun.
2
Related Adrenal Hypoplasia Congenita相关先天性肾上腺发育不全
3
Delayed diagnosis of the full triad autoimmune polyendocrine syndrome type 2 with adrenal crisis: a case report and literature review.伴有肾上腺危象的2型全三联自身免疫性多内分泌综合征延迟诊断:一例报告及文献综述
Front Immunol. 2025 May 9;16:1563629. doi: 10.3389/fimmu.2025.1563629. eCollection 2025.
4
One Case of Sudden Isolated Adrenocorticotropic Hormone (ACTH) Deficiency Diagnosed Based on Repeated Hypoglycemic Attacks.基于反复低血糖发作诊断出的一例突发性孤立性促肾上腺皮质激素(ACTH)缺乏症
Cureus. 2025 Jun 17;17(6):e86185. doi: 10.7759/cureus.86185. eCollection 2025 Jun.
5
Beckwith-Wiedemann Syndrome贝克威思-维德曼综合征
6
Hereditary Paraganglioma-Pheochromocytoma Syndromes遗传性副神经节瘤-嗜铬细胞瘤综合征
7
Positron emission tomography-adapted therapy for first-line treatment in individuals with Hodgkin lymphoma.正电子发射断层扫描适配疗法用于霍奇金淋巴瘤患者的一线治疗
Cochrane Database Syst Rev. 2015 Jan 9;1(1):CD010533. doi: 10.1002/14651858.CD010533.pub2.
8
Autoimmune Lymphoproliferative Syndrome自身免疫性淋巴细胞增生综合征
9
Dystrophic Epidermolysis Bullosa营养不良性大疱性表皮松解症
10
Systemic Inflammatory Response Syndrome全身炎症反应综合征

本文引用的文献

1
An unusual cause of adrenal insufficiency with elevation of 17-hydroxyprogesterone: case report.17-羟孕酮升高致肾上腺皮质功能减退症的罕见病因:病例报告。
BMC Endocr Disord. 2023 May 29;23(1):123. doi: 10.1186/s12902-023-01374-7.
2
Approach to the Patient With Adrenal Hemorrhage.肾上腺出血患者的处理方法。
J Clin Endocrinol Metab. 2023 Mar 10;108(4):995-1006. doi: 10.1210/clinem/dgac672.
3
Adrenal hemorrhage and hemorrhagic masses; diagnostic workup and imaging findings.肾上腺出血和出血性肿块;诊断方法和影像学表现。
Br J Radiol. 2021 Nov 1;94(1127):20210753. doi: 10.1259/bjr.20210753. Epub 2021 Aug 31.
4
Haemorrhagic shock from solid tumours of the adrenal gland: a case of bleeding primary adrenal lymphoma.肾上腺实质肿瘤所致失血性休克:原发性肾上腺淋巴瘤出血 1 例。
Ann R Coll Surg Engl. 2021 Mar;103(3):e101-e105. doi: 10.1308/rcsann.2020.7040.
5
Acute non-traumatic adrenal haemorrhage-management, pathology and clinical outcomes.急性非创伤性肾上腺出血——管理、病理学及临床结果
Gland Surg. 2018 Oct;7(5):428-432. doi: 10.21037/gs.2018.07.04.
6
Acute adrenal insufficiency due to adrenal hemorrhage complicating colorectal surgery: Report of two cases and correlation with the antiphospholipid antibody syndrome.因肾上腺出血并发结直肠手术导致的急性肾上腺功能不全:两例报告及与抗磷脂抗体综合征的相关性
Int J Surg Case Rep. 2018;51:90-94. doi: 10.1016/j.ijscr.2018.07.034. Epub 2018 Aug 17.
7
Burkitt lymphoma in adolescents and young adults: management challenges.青少年和青年的伯基特淋巴瘤:管理挑战
Adolesc Health Med Ther. 2016 Dec 23;8:11-29. doi: 10.2147/AHMT.S94170. eCollection 2017.
8
Diagnosis and Treatment of Primary Adrenal Insufficiency: An Endocrine Society Clinical Practice Guideline.原发性肾上腺皮质功能减退症的诊断与治疗:内分泌学会临床实践指南
J Clin Endocrinol Metab. 2016 Feb;101(2):364-89. doi: 10.1210/jc.2015-1710. Epub 2016 Jan 13.
9
Heparin-induced thrombocytopenia presenting as bilateral adrenal hemorrhages.表现为双侧肾上腺出血的肝素诱导的血小板减少症。
N Engl J Med. 2015 Jan 29;372(5):492-4. doi: 10.1056/NEJMc1414161.
10
A recurrent 11q aberration pattern characterizes a subset of MYC-negative high-grade B-cell lymphomas resembling Burkitt lymphoma.一种反复出现的 11q 异常模式,其特征在于类似于伯基特淋巴瘤的一部分 MYC 阴性高级别 B 细胞淋巴瘤。
Blood. 2014 Feb 20;123(8):1187-98. doi: 10.1182/blood-2013-06-507996. Epub 2014 Jan 7.