• 文献检索
  • 文档翻译
  • 深度研究
  • 学术资讯
  • Suppr Zotero 插件Zotero 插件
  • 邀请有礼
  • 套餐&价格
  • 历史记录
应用&插件
Suppr Zotero 插件Zotero 插件浏览器插件Mac 客户端Windows 客户端微信小程序
定价
高级版会员购买积分包购买API积分包
服务
文献检索文档翻译深度研究API 文档MCP 服务
关于我们
关于 Suppr公司介绍联系我们用户协议隐私条款
关注我们

Suppr 超能文献

核心技术专利:CN118964589B侵权必究
粤ICP备2023148730 号-1Suppr @ 2026

文献检索

告别复杂PubMed语法,用中文像聊天一样搜索,搜遍4000万医学文献。AI智能推荐,让科研检索更轻松。

立即免费搜索

文件翻译

保留排版,准确专业,支持PDF/Word/PPT等文件格式,支持 12+语言互译。

免费翻译文档

深度研究

AI帮你快速写综述,25分钟生成高质量综述,智能提取关键信息,辅助科研写作。

立即免费体验

睾丸附睾炎是前列腺癌高剂量率近距离放射治疗四周后进行经尿道前列腺电切术的一种罕见并发症。

Orchiepididymitis as a rare complication of TURP performed four weeks after high-dose-rate brachytherapy for prostate cancer.

作者信息

Rembak-Szynkiewicz Justyna, Mazgaj Patrycja, Szopin'ski Tomasz, Badzin'ski Arkadiusz, Hebda Anna, Wojcieszek Piotr

机构信息

Radiology and Diagnostic Imaging Department, Maria Sklodowska-Curie National Research Institute of Oncology, Gliwice Branch, Gliwice, Poland.

Department of Urology, Maria Sklodowska-Curie Medical Academy, Warsaw, Poland.

出版信息

J Contemp Brachytherapy. 2025 Jun;17(3):202-212. doi: 10.5114/jcb.2025.152544. Epub 2025 Jun 30.

DOI:10.5114/jcb.2025.152544
PMID:40697722
原文链接:https://pmc.ncbi.nlm.nih.gov/articles/PMC12277955/
Abstract

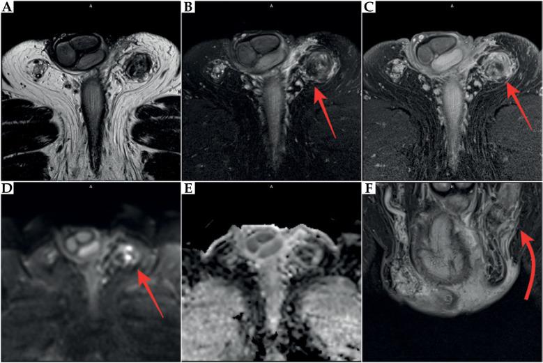
The aim of this paper was to present a rare complication of orchiepididymitis in a patient treated with brachytherapy (BT) for prostate cancer, who underwent trans-ureteral resection of the prostate (TURP) four weeks after BT. A 73-year-old patient with prostate cancer (intermediate-risk group) was eligible for high-dose-rate (HDR) BT combined with androgen deprivation therapy (ADT) for 6 months (leuprorelin). Due to increased symptoms, such as urinary retention after BT, the patient required catheterization. Additionally, bacterial inflammation in the lower urinary tract and prostate was present. Due to prolonged micturition disorders, TURP was performed, leading to chronic orchiepididymitis four months after completion of BT and three months after catheter removal following TURP. Due to long-term inflammation, which was resistant to treatment, the left testicle with left epididymis was removed. Unfortunately, inflammatory symptoms occurred post-operatively in the bed and the left groin. Since these symptoms of varying severity continued, anti-inflammatory drugs and analgesics were introduced. TURP performed too quickly after HDR-BT might cause severe complications. Extreme caution regarding TURP should be exercised in patients undergoing BT. Conservative and pharmacological treatment must be introduced in the occurrence of urinary disorders after BT, and any intervention (TURP) should be performed at least 3-6 months after BT. This is especially crucial because of the development of radiation effect over time.

摘要

本文的目的是介绍一名接受前列腺癌近距离放射治疗(BT)的患者发生的罕见附睾炎并发症,该患者在BT治疗四周后接受了经尿道前列腺切除术(TURP)。一名73岁的前列腺癌患者(中危组)符合接受高剂量率(HDR)BT联合雄激素剥夺治疗(ADT)6个月(亮丙瑞林)的条件。由于BT后出现诸如尿潴留等症状加重,患者需要导尿。此外,下尿路和前列腺存在细菌感染。由于排尿障碍持续存在,患者接受了TURP,导致在BT完成四个月后以及TURP后拔除导尿管三个月后发生慢性附睾炎。由于长期炎症对治疗有抵抗性,切除了左侧睾丸及附睾。不幸的是,术后在床上和左侧腹股沟出现了炎症症状。由于这些不同程度的症状持续存在,开始使用抗炎药和镇痛药。HDR-BT后过快进行TURP可能会导致严重并发症。接受BT的患者在进行TURP时应极其谨慎。BT后出现排尿障碍时必须采取保守和药物治疗,任何干预措施(TURP)应在BT后至少3至6个月进行。由于放射效应会随时间发展,这一点尤为关键。

https://cdn.ncbi.nlm.nih.gov/pmc/blobs/5b58/12277955/f43bf1f8e8f4/JCB-17-56383-g006.jpg
https://cdn.ncbi.nlm.nih.gov/pmc/blobs/5b58/12277955/6c2c9ef0f341/JCB-17-56383-g001.jpg
https://cdn.ncbi.nlm.nih.gov/pmc/blobs/5b58/12277955/3c3d639c9231/JCB-17-56383-g002.jpg
https://cdn.ncbi.nlm.nih.gov/pmc/blobs/5b58/12277955/2cc0deaaecbb/JCB-17-56383-g003.jpg
https://cdn.ncbi.nlm.nih.gov/pmc/blobs/5b58/12277955/dd4ac9496dfd/JCB-17-56383-g004.jpg
https://cdn.ncbi.nlm.nih.gov/pmc/blobs/5b58/12277955/da00460828e6/JCB-17-56383-g005.jpg
https://cdn.ncbi.nlm.nih.gov/pmc/blobs/5b58/12277955/f43bf1f8e8f4/JCB-17-56383-g006.jpg
https://cdn.ncbi.nlm.nih.gov/pmc/blobs/5b58/12277955/6c2c9ef0f341/JCB-17-56383-g001.jpg
https://cdn.ncbi.nlm.nih.gov/pmc/blobs/5b58/12277955/3c3d639c9231/JCB-17-56383-g002.jpg
https://cdn.ncbi.nlm.nih.gov/pmc/blobs/5b58/12277955/2cc0deaaecbb/JCB-17-56383-g003.jpg
https://cdn.ncbi.nlm.nih.gov/pmc/blobs/5b58/12277955/dd4ac9496dfd/JCB-17-56383-g004.jpg
https://cdn.ncbi.nlm.nih.gov/pmc/blobs/5b58/12277955/da00460828e6/JCB-17-56383-g005.jpg
https://cdn.ncbi.nlm.nih.gov/pmc/blobs/5b58/12277955/f43bf1f8e8f4/JCB-17-56383-g006.jpg

相似文献

1
Orchiepididymitis as a rare complication of TURP performed four weeks after high-dose-rate brachytherapy for prostate cancer.睾丸附睾炎是前列腺癌高剂量率近距离放射治疗四周后进行经尿道前列腺电切术的一种罕见并发症。
J Contemp Brachytherapy. 2025 Jun;17(3):202-212. doi: 10.5114/jcb.2025.152544. Epub 2025 Jun 30.
2
Management of urinary stones by experts in stone disease (ESD 2025).结石病专家对尿路结石的管理(2025年结石病专家共识)
Arch Ital Urol Androl. 2025 Jun 30;97(2):14085. doi: 10.4081/aiua.2025.14085.
3
Minimally invasive treatments for lower urinary tract symptoms in men with benign prostatic hyperplasia: a network meta-analysis.男性良性前列腺增生症下尿路症状的微创治疗:网络荟萃分析。
Cochrane Database Syst Rev. 2021 Jul 15;7(7):CD013656. doi: 10.1002/14651858.CD013656.pub2.
4
Conservative management for postprostatectomy urinary incontinence.前列腺切除术后尿失禁的保守治疗
Cochrane Database Syst Rev. 2012 Jan 18;1:CD001843. doi: 10.1002/14651858.CD001843.pub4.
5
Conservative management for postprostatectomy urinary incontinence.前列腺切除术后尿失禁的保守治疗
Cochrane Database Syst Rev. 2015 Jan 20;1(1):CD001843. doi: 10.1002/14651858.CD001843.pub5.
6
The Black Book of Psychotropic Dosing and Monitoring.《精神药物剂量与监测黑皮书》
Psychopharmacol Bull. 2024 Jul 8;54(3):8-59.
7
Does Augmenting Irradiated Autografts With Free Vascularized Fibula Graft in Patients With Bone Loss From a Malignant Tumor Achieve Union, Function, and Complication Rate Comparably to Patients Without Bone Loss and Augmentation When Reconstructing Intercalary Resections in the Lower Extremity?对于因恶性肿瘤导致骨缺损的患者,在重建下肢节段性切除时,采用带血管游离腓骨移植来增强照射后的自体骨移植,其骨愈合、功能及并发症发生率与无骨缺损且未进行增强的患者相比是否相当?
Clin Orthop Relat Res. 2025 Jun 26. doi: 10.1097/CORR.0000000000003599.
8
A Systematic Review and Meta-analysis of Functional Outcomes and Complications Following Transurethral Procedures for Lower Urinary Tract Symptoms Resulting from Benign Prostatic Obstruction: An Update.经尿道前列腺切除术治疗良性前列腺梗阻所致下尿路症状的功能结局和并发症的系统评价和荟萃分析:更新
Eur Urol. 2015 Jun;67(6):1066-1096. doi: 10.1016/j.eururo.2014.06.017. Epub 2014 Jun 25.
9
A rapid and systematic review of the clinical effectiveness and cost-effectiveness of paclitaxel, docetaxel, gemcitabine and vinorelbine in non-small-cell lung cancer.对紫杉醇、多西他赛、吉西他滨和长春瑞滨在非小细胞肺癌中的临床疗效和成本效益进行的快速系统评价。
Health Technol Assess. 2001;5(32):1-195. doi: 10.3310/hta5320.
10
Combined Hypofractionated Radiation Therapy and Brachytherapy for Managing Prostate-Specific Membrane Antigen Positron Emission Tomography-Staged Organ-Confined Prostate Cancer: Primary Endpoint Analysis of a Prospective Study.调强适形放疗联合近距离放疗治疗前列腺特异性膜抗原正电子发射断层扫描分期的局限性前列腺癌:一项前瞻性研究的主要终点分析
Pract Radiat Oncol. 2025 Jun 20. doi: 10.1016/j.prro.2025.03.013.

本文引用的文献

1
Comparison of Transurethral Resection of the Prostate (TURP) with 0.5-cm Tissue Preservation Proximal to the Verumontanum and Standard TURP in terms of Postoperative Ejaculation Disorders.
Urol J. 2025 Jan 12;22(1):50-55. doi: 10.22037/uj.v21i.8074.
2
Prostate high dose-rate brachytherapy as monotherapy for low and intermediate-risk prostate cancer: Efficacy results from a randomized phase II clinical trial of one fraction of 19 Gy or two fractions of 13.5 Gy: A 9-year update.前列腺高剂量率近距离放疗作为低危和中危前列腺癌的单一疗法:单次 19 Gy 或两次 13.5 Gy 分割剂量的随机 II 期临床试验的疗效结果:9 年更新。
Radiother Oncol. 2024 Sep;198:110381. doi: 10.1016/j.radonc.2024.110381. Epub 2024 Jun 13.
3
Impact of untreated preoperative asymptomatic bacteriuria in patients undergoing holmium laser enucleation of prostate.未治疗的术前无症状菌尿对接受钬激光前列腺剜除术患者的影响。
Ann R Coll Surg Engl. 2025 Feb;107(2):135-140. doi: 10.1308/rcsann.2024.0027. Epub 2024 May 24.
4
EAU-EANM-ESTRO-ESUR-ISUP-SIOG Guidelines on Prostate Cancer-2024 Update. Part I: Screening, Diagnosis, and Local Treatment with Curative Intent.EAU-EANM-ESTRO-ESUR-ISUP-SIOG 前列腺癌指南-2024 更新。第一部分:筛查、诊断和以治愈为目的的局部治疗。
Eur Urol. 2024 Aug;86(2):148-163. doi: 10.1016/j.eururo.2024.03.027. Epub 2024 Apr 13.
5
Propensity score-matched evaluation of palliative transurethral resection and holmium laser enucleation of the prostate for bladder outlet obstruction in patients with prostate cancer.倾向评分匹配法评估姑息性经尿道前列腺切除术与钬激光前列腺剜除术治疗前列腺癌患者膀胱出口梗阻的疗效
Prostate Cancer Prostatic Dis. 2025 Mar;28(1):153-159. doi: 10.1038/s41391-024-00831-1. Epub 2024 Apr 10.
6
Antegrade ejaculation preservation in surgical treatment for benign prostatic hyperplasia: quest for balance between voiding and sexual function.良性前列腺增生症手术治疗中逆行射精的保留:在排尿功能和性功能之间寻求平衡。
Curr Opin Urol. 2024 Jul 1;34(4):286-293. doi: 10.1097/MOU.0000000000001178. Epub 2024 Apr 9.
7
Necrotizing granulomatous epididymo-orchitis post intravesical BCG administration after brachytherapy for prostate cancer.前列腺癌近距离放射治疗后膀胱内灌注卡介苗引发的坏死性肉芽肿性附睾睾丸炎
Urol Case Rep. 2024 Mar 10;54:102694. doi: 10.1016/j.eucr.2024.102694. eCollection 2024 May.
8
Ejaculation physiology and dysfunction after BPH surgery: the role of the new MISTs.BPH 手术后的射精生理学和功能障碍:新型 MISTs 的作用。
Prostate Cancer Prostatic Dis. 2023 Sep;26(3):475-482. doi: 10.1038/s41391-023-00686-y. Epub 2023 Jul 27.
9
Effect of Brachytherapy With External Beam Radiation Therapy Versus Brachytherapy Alone for Intermediate-Risk Prostate Cancer: NRG Oncology RTOG 0232 Randomized Clinical Trial.外照射放疗与单纯近距离放疗治疗中危前列腺癌的效果比较:NRG 肿瘤学 RTOG 0232 随机临床试验。
J Clin Oncol. 2023 Aug 20;41(24):4035-4044. doi: 10.1200/JCO.22.01856. Epub 2023 Jun 14.
10
The potential of low-dose-rate brachytherapy with iodine-125 in the treatment of local recurrences of prostate cancer after primary high-dose-rate monotherapy.碘-125低剂量率近距离放射疗法在原发性高剂量率单一疗法后前列腺癌局部复发治疗中的潜力。
J Contemp Brachytherapy. 2023 Apr;15(2):103-109. doi: 10.5114/jcb.2023.126618. Epub 2023 Apr 12.