• 文献检索
  • 文档翻译
  • 深度研究
  • 学术资讯
  • Suppr Zotero 插件Zotero 插件
  • 邀请有礼
  • 套餐&价格
  • 历史记录
应用&插件
Suppr Zotero 插件Zotero 插件浏览器插件Mac 客户端Windows 客户端微信小程序
定价
高级版会员购买积分包购买API积分包
服务
文献检索文档翻译深度研究API 文档MCP 服务
关于我们
关于 Suppr公司介绍联系我们用户协议隐私条款
关注我们

Suppr 超能文献

核心技术专利:CN118964589B侵权必究
粤ICP备2023148730 号-1Suppr @ 2026

文献检索

告别复杂PubMed语法,用中文像聊天一样搜索,搜遍4000万医学文献。AI智能推荐,让科研检索更轻松。

立即免费搜索

文件翻译

保留排版,准确专业,支持PDF/Word/PPT等文件格式,支持 12+语言互译。

免费翻译文档

深度研究

AI帮你快速写综述,25分钟生成高质量综述,智能提取关键信息,辅助科研写作。

立即免费体验

两例因主动脉移植材料感染导致的真菌性动脉瘤

Two Cases of Mycotic Aneurysms Caused by Infection of Aortic Graft Material.

作者信息

Mize Brandi M, Laskey Emily, Damhorst Gregory L, Kraft Colleen S, Escobar Guillermo A

机构信息

Division of Vascular Surgery and Endovascular Therapy, Department of Surgery, School of Medicine, Emory University, Atlanta, Georgia, USA.

School of Medicine, Emory University, Atlanta, Georgia, USA.

出版信息

Open Forum Infect Dis. 2025 Jul 9;12(7):ofaf404. doi: 10.1093/ofid/ofaf404. eCollection 2025 Jul.

DOI:10.1093/ofid/ofaf404
PMID:40698036
原文链接:https://pmc.ncbi.nlm.nih.gov/articles/PMC12281501/
Abstract

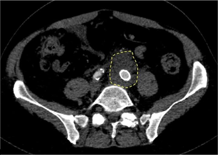
, a zoonotic pathogen, can affect multiple human organ systems causing various clinical manifestations. While aortoiliac involvement is rare worldwide, we report 2 cases of aortic brucellosis following abdominal aortic aneurysm repairs within a 9-year period at a single US institution in Georgia. One case was an infected aortic endograft, which may be the first reported. aortoiliac infections are rare even in endemic areas, thus highlighting how uncommon these cases are in Georgia. Acknowledging the dismal prognosis with symptomatic aortic graft infections, we wish to share our experience in successfully treating them, including an infected aortic endograft. We recommend obtaining a robust history when evaluating individuals with suspected mycotic aneurysms who frequently handle animals. Education on protective equipment and proper handling of animals is imperative to reduce the risk of aortic graft brucellosis infections. Our institutional experience suggests that graft explantation and doxycycline-rifampin are acceptable treatment options.

摘要

布鲁氏菌作为一种人畜共患病原体,可影响人体多个器官系统,引发各种临床表现。虽然在全球范围内,主动脉髂动脉受累情况较为罕见,但我们报告了在美国佐治亚州一家机构9年内发生的2例腹主动脉瘤修复术后主动脉布鲁氏菌病病例。其中1例为感染性主动脉内移植物,这可能是首次报道。即使在布鲁氏菌病流行地区,主动脉髂动脉感染也很罕见,这凸显了这些病例在佐治亚州的罕见程度。鉴于有症状的主动脉移植物感染预后不佳,我们希望分享成功治疗这些病例的经验,包括感染性主动脉内移植物的治疗经验。我们建议在评估经常接触动物且疑似患有霉菌性动脉瘤的个体时,详细了解病史。必须开展关于防护设备和动物正确处理方法的教育,以降低主动脉移植物布鲁氏菌病感染的风险。我们机构的经验表明,移植物切除和强力霉素 - 利福平是可接受的治疗选择。

https://cdn.ncbi.nlm.nih.gov/pmc/blobs/7cf1/12281501/ca54ae385c26/ofaf404f2.jpg
https://cdn.ncbi.nlm.nih.gov/pmc/blobs/7cf1/12281501/c0d090861e17/ofaf404f1.jpg
https://cdn.ncbi.nlm.nih.gov/pmc/blobs/7cf1/12281501/ca54ae385c26/ofaf404f2.jpg
https://cdn.ncbi.nlm.nih.gov/pmc/blobs/7cf1/12281501/c0d090861e17/ofaf404f1.jpg
https://cdn.ncbi.nlm.nih.gov/pmc/blobs/7cf1/12281501/ca54ae385c26/ofaf404f2.jpg

相似文献

1
Two Cases of Mycotic Aneurysms Caused by Infection of Aortic Graft Material.两例因主动脉移植材料感染导致的真菌性动脉瘤
Open Forum Infect Dis. 2025 Jul 9;12(7):ofaf404. doi: 10.1093/ofid/ofaf404. eCollection 2025 Jul.
2
Loeys-Dietz Syndrome洛伊斯-迪茨综合征
3
Sexual Harassment and Prevention Training性骚扰与预防培训
4
-Related Marfan Syndrome-相关马凡综合征
5
Narrative and Pictorial Review on State-of-the-Art Endovascular Treatment for Focal Non-Infected Lesions of the Abdominal Aorta: Anatomical Challenges, Technical Solutions, and Clinical Outcomes.腹主动脉局灶性非感染性病变的最新血管内治疗的叙述性和图像综述:解剖学挑战、技术解决方案及临床结果
J Clin Med. 2025 Jul 7;14(13):4798. doi: 10.3390/jcm14134798.
6
Prevention of infection in aortic or aortoiliac peripheral arterial reconstruction.主动脉或主-髂动脉周围动脉重建术中的感染预防
Cochrane Database Syst Rev. 2025 Apr 22;4(4):CD015192. doi: 10.1002/14651858.CD015192.pub2.
7
[Volume and health outcomes: evidence from systematic reviews and from evaluation of Italian hospital data].[容量与健康结果:来自系统评价和意大利医院数据评估的证据]
Epidemiol Prev. 2013 Mar-Jun;37(2-3 Suppl 2):1-100.
8
The Black Book of Psychotropic Dosing and Monitoring.《精神药物剂量与监测黑皮书》
Psychopharmacol Bull. 2024 Jul 8;54(3):8-59.
9
Adapting Safety Plans for Autistic Adults with Involvement from the Autism Community.在自闭症群体的参与下为成年自闭症患者调整安全计划。
Autism Adulthood. 2025 May 28;7(3):293-302. doi: 10.1089/aut.2023.0124. eCollection 2025 Jun.
10
Medical treatment for small abdominal aortic aneurysms.小腹主动脉瘤的医学治疗。
Cochrane Database Syst Rev. 2012 Sep 12;2012(9):CD009536. doi: 10.1002/14651858.CD009536.pub2.

本文引用的文献

1
Updated therapeutic options for human brucellosis: A systematic review and network meta-analysis of randomized controlled trials.人布鲁氏菌病的治疗选择更新:随机对照试验的系统评价和网络荟萃分析。
PLoS Negl Trop Dis. 2024 Aug 22;18(8):e0012405. doi: 10.1371/journal.pntd.0012405. eCollection 2024 Aug.
2
Efficacy of antibiotic prophylaxis to preventing brucellosis in accidental exposure: A systematic review.抗生素预防措施预防意外接触布鲁氏菌病的效果:系统评价。
Trop Med Int Health. 2024 Jun;29(6):454-465. doi: 10.1111/tmi.13992. Epub 2024 Apr 22.
3
Brucellosis involving the aorta and iliac arteries: a systematic review of 130 cases.
累及主动脉和髂动脉的布鲁氏菌病:130例病例的系统评价
Front Bioeng Biotechnol. 2023 Nov 30;11:1326246. doi: 10.3389/fbioe.2023.1326246. eCollection 2023.
4
The Outcome of Sac Filling With Fibrin Sealant and Gentamicin After Endovascular Aortic Repair of Brucella-Related Aorto-Iliac Artery Aneurysms: A Retrospective Single-Center Study.布氏杆菌相关主-髂动脉瘤血管腔内修复术后用纤维蛋白胶和庆大霉素填充瘤腔的疗效:一项回顾性单中心研究
J Endovasc Ther. 2025 Oct;32(5):1448-1456. doi: 10.1177/15266028231209943. Epub 2023 Nov 7.
5
Aortic and Iliac Involvement in Brucellosis - A Rare but Life Threatening Manifestation: A Review of the Literature.主动脉和髂动脉受累的布鲁菌病——一种罕见但危及生命的表现:文献复习。
Eur J Vasc Endovasc Surg. 2022 May;63(5):743-750. doi: 10.1016/j.ejvs.2022.02.004. Epub 2022 Feb 11.
6
Systematic Review of the Management of Mycotic Aortic Aneurysms.真菌性主动脉瘤的治疗方法的系统评价。
Eur J Vasc Endovasc Surg. 2019 Sep;58(3):426-435. doi: 10.1016/j.ejvs.2019.05.004. Epub 2019 Jul 16.
7
Mycotic aortic aneurysm due to brucellosis.布鲁氏菌病所致霉菌性主动脉瘤。
J Vasc Surg Cases Innov Tech. 2016 May 20;2(2):50-52. doi: 10.1016/j.jvsc.2016.03.009. eCollection 2016 Jun.
8
The Society for Vascular Surgery practice guidelines on the care of patients with an abdominal aortic aneurysm.血管外科学会治疗腹主动脉瘤患者的实践指南。
J Vasc Surg. 2018 Jan;67(1):2-77.e2. doi: 10.1016/j.jvs.2017.10.044.
9
Successful treatment of a mycotic multifocal thoracoabdominal aortic aneurysm as a late sequelae of intravesical bacillus Calmette-Guerin therapy: case report and literature review.卡介苗膀胱内灌注治疗后迟发性后遗症——真菌性多灶性胸腹主动脉瘤的成功治疗:病例报告及文献综述
Ann Vasc Surg. 2015;29(4):840.e9-13. doi: 10.1016/j.avsg.2014.12.020. Epub 2015 Feb 28.
10
Clinical manifestations of human brucellosis: a systematic review and meta-analysis.布鲁氏菌病的临床特征:系统评价和荟萃分析。
PLoS Negl Trop Dis. 2012;6(12):e1929. doi: 10.1371/journal.pntd.0001929. Epub 2012 Dec 6.