Suppr超能文献

对比增强超声/CT融合导航用于急性胰腺炎隐匿性胰周脓肿的检测及介入引流:一例报告

CEUS/CT fusion navigation for detection and interventional drainage of hidden peripancreatic abscesses in acute pancreatitis: a case report.

作者信息

Wu Yuquan, Gao Ruizhi, Pang Jinshu, He Yun, Yang Hong

机构信息

Department of Medical Ultrasound, The First Affiliated Hospital of Guangxi Medical University, Nanning, China.

出版信息

Front Med (Lausanne). 2025 Jul 9;12:1520123. doi: 10.3389/fmed.2025.1520123. eCollection 2025.

Abstract

BACKGROUND AND AIMS

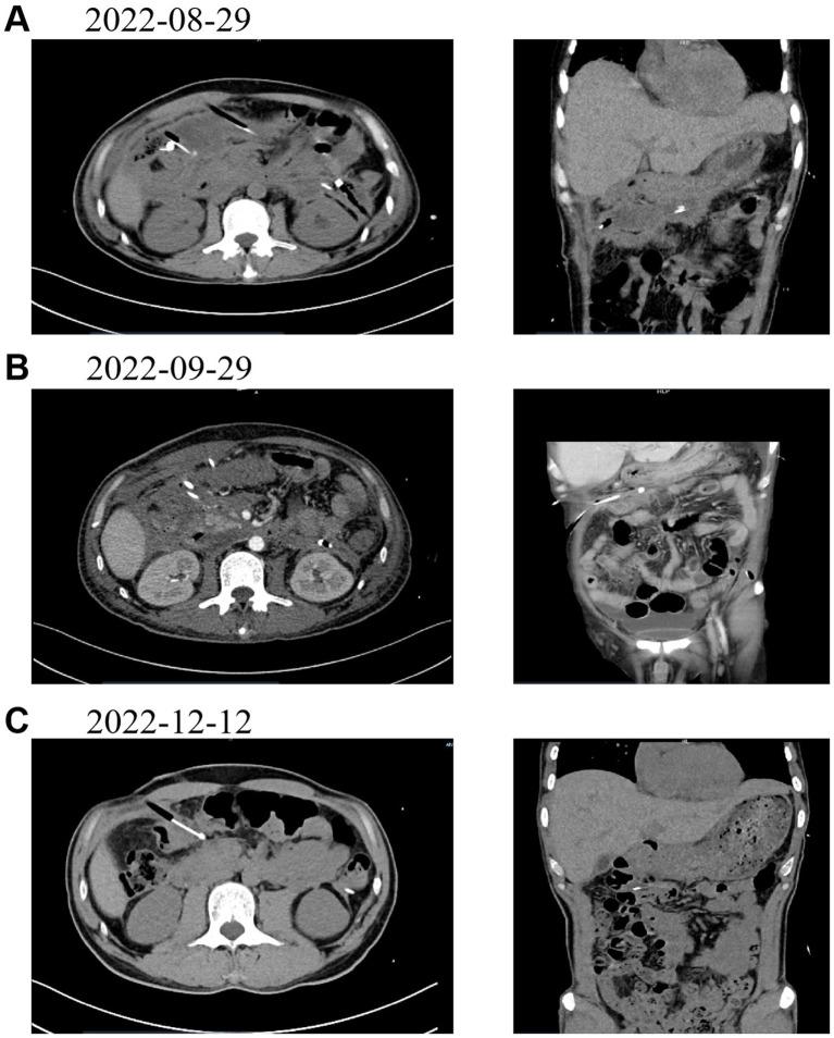
Multimodal imaging virtual fusion navigation offers higher accuracy and real-time guidance compared to single imaging modalities. This case report explores the value of contrast-enhanced ultrasound (CEUS)/CT fusion navigation in the localization, characterization, and interventional guidance of a hidden peripancreatic abscess in acute pancreatitis.

METHODS

The case involved the use of contrast-enhanced ultrasound and CT virtual fusion navigation to identify and assess the hidden peripancreatic abscess in a patient diagnosed with acute pancreatitis. The fusion technology allowed for real-time navigation during interventional procedures, offering improved lesion localization and characterization.

RESULTS

CEUS/CT fusion navigation successfully localized and characterized the hidden peripancreatic abscess. The real-time navigation provided by the fusion technology improved the accuracy and safety of the interventional procedure.

CONCLUSION

CEUS/CT fusion navigation technology demonstrated significant value in the precise localization, detailed characterization, and effective interventional guidance of a hidden peripancreatic abscess in acute pancreatitis. This approach offers a promising tool for managing similar complex cases in clinical practice.

摘要

背景与目的

与单一成像模式相比,多模态成像虚拟融合导航具有更高的准确性和实时引导性。本病例报告探讨了对比增强超声(CEUS)/CT融合导航在急性胰腺炎隐匿性胰周脓肿的定位、特征分析及介入引导中的价值。

方法

该病例使用对比增强超声和CT虚拟融合导航来识别和评估一名诊断为急性胰腺炎患者的隐匿性胰周脓肿。融合技术在介入操作过程中实现了实时导航,提高了病变定位和特征分析的准确性。

结果

CEUS/CT融合导航成功定位并分析了隐匿性胰周脓肿的特征。融合技术提供的实时导航提高了介入操作的准确性和安全性。

结论

CEUS/CT融合导航技术在急性胰腺炎隐匿性胰周脓肿的精确定位、详细特征分析及有效介入引导方面显示出显著价值。这种方法为临床实践中处理类似复杂病例提供了一种有前景的工具。

https://cdn.ncbi.nlm.nih.gov/pmc/blobs/e33f/12283670/1d9563b062e9/fmed-12-1520123-g001.jpg

文献AI研究员

20分钟写一篇综述,助力文献阅读效率提升50倍。

立即体验

用中文搜PubMed

大模型驱动的PubMed中文搜索引擎

马上搜索

文档翻译

学术文献翻译模型,支持多种主流文档格式。

立即体验