Suppr超能文献

锁定肱骨钉周围的纵向种植体周围骨干骨折:一例报告

A Longitudinal Peri-Implant Diaphyseal Fracture Around a Locked Humeral Nail: A Case Report.

作者信息

Del Potro Jareño Ana, González Menocal Alfonso, Couceiro Laredo Ana Antonia, Conde Ruiz Laura, López Dorado Daniel

机构信息

Hospital Universitario Infanta Elena, 28342 Valdemoro, Spain.

出版信息

Reports (MDPI). 2025 Jun 5;8(2):89. doi: 10.3390/reports8020089.

Abstract

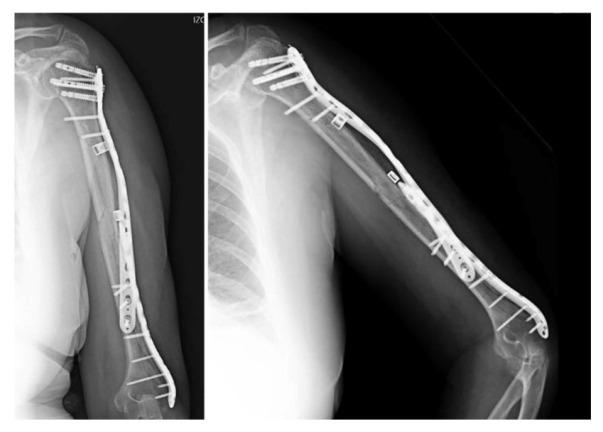
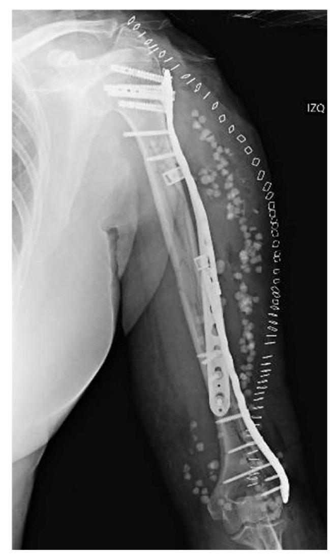
: Non-prosthetic peri-implant fractures (NPPIFs) are rare injuries occurring around internal fixation devices, and are distinct from periprosthetic fractures. While most studies focus on the femur, humeral NPPIFs remain poorly documented. This case illustrates a complex humeral NPPIF and highlights key surgical considerations. : A 62-year-old woman presented with a spiral humeral shaft fracture (AO 12B2) after a fall. Following closed reduction and antegrade intramedullary nailing, an intraoperative peri-implant fracture occurred at the distal interlocking screw. CT imaging revealed a complex fracture extending from the lateral condyle to the proximal humerus. Treatment included implant removal and open reduction with dual plate fixation-lateral distal and helically contoured proximal plates-plus cerclage bands and antibiotic-loaded beads. Recovery was uneventful, with a full range of motion achieved at six months. At one year, the DASH score and MEPS were 86 and 75, respectively. : Humeral NPPIFs are challenging and require individualized, biomechanically sound strategies. This case reinforces the importance of intraoperative assessment and careful implant selection in humeral fracture management.

摘要

非假体周围植入物骨折(NPPIFs)是发生在内固定装置周围的罕见损伤,与假体周围骨折不同。虽然大多数研究集中在股骨,但肱骨NPPIFs的文献记载仍然很少。本病例说明了一例复杂的肱骨NPPIFs,并强调了关键的手术注意事项。一名62岁女性在跌倒后出现肱骨干螺旋骨折(AO 12B2)。在进行闭合复位和顺行髓内钉固定后,术中在远端锁定螺钉处发生了植入物周围骨折。CT成像显示骨折复杂,从外侧髁延伸至肱骨近端。治疗包括取出植入物,采用双钢板固定(外侧远端钢板和螺旋形近端钢板)、环扎带和载抗生素骨珠进行切开复位。恢复过程顺利,六个月时实现了全范围活动。一年时,DASH评分和MEPS分别为86和75。肱骨NPPIFs具有挑战性,需要个体化的、生物力学合理的策略。本病例强化了术中评估和在肱骨骨折治疗中谨慎选择植入物的重要性。

https://cdn.ncbi.nlm.nih.gov/pmc/blobs/e6fb/12196821/9b483a1cbf7f/reports-08-00089-g001.jpg

文献AI研究员

20分钟写一篇综述,助力文献阅读效率提升50倍。

立即体验

用中文搜PubMed

大模型驱动的PubMed中文搜索引擎

马上搜索

文档翻译

学术文献翻译模型,支持多种主流文档格式。

立即体验