Suppr超能文献

缺失的静脉:一例表现为静脉血栓栓塞的下腔静脉发育不全病例

The Missing Vein: A Case of Inferior Vena Cava Agenesis Presenting With Venous Thromboembolism.

作者信息

Kimani Antony, Carey Wandera M, Patel Rajiv, Manji Soraiya, Iyer Alok, Khakhar Zamanali, Ali Sayed K

机构信息

Department of Internal Medicine, Aga Khan University Hospital, Nairobi, KEN.

Department of Medicine, University of Nairobi, Nairobi, KEN.

出版信息

Cureus. 2025 Jun 27;17(6):e86897. doi: 10.7759/cureus.86897. eCollection 2025 Jun.

Abstract

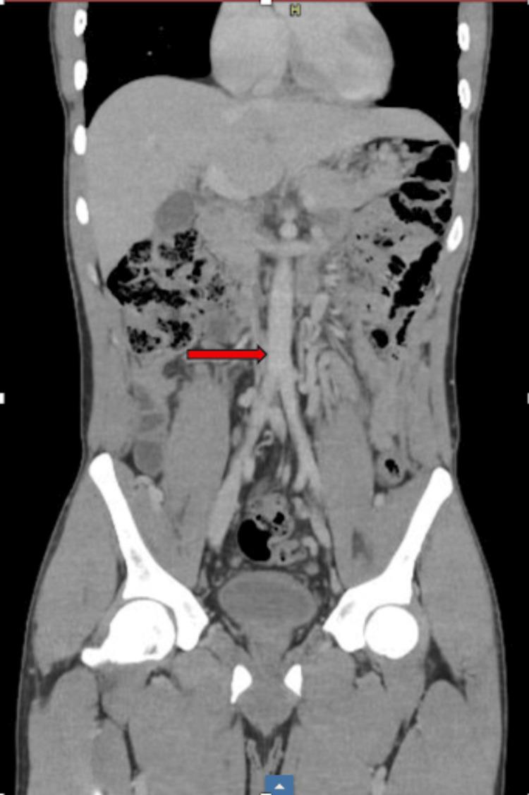
Agenesis of the inferior vena cava (IVC) is a rare congenital anomaly that is frequently identified incidentally in patients presenting with venous thromboembolism. The IVC is susceptible to a wide range of congenital anomalies. Due to its rarity and infrequent clinical encounters, it is often overlooked. We describe the case of a young man of African descent who presented with a deep vein thrombosis due to a previously unrecognized diagnosis of IVC agenesis. This case sheds light on IVC agenesis as an alternative diagnosis, especially in younger patients without traditional risk factors for venous thromboembolism.

摘要

下腔静脉缺如是一种罕见的先天性异常,常在静脉血栓栓塞患者中偶然发现。下腔静脉易出现多种先天性异常。由于其罕见性且临床少见,常被忽视。我们描述了一例非洲裔年轻男性病例,该患者因先前未被识别的下腔静脉缺如诊断而出现深静脉血栓形成。该病例揭示了下腔静脉缺如作为一种鉴别诊断的情况,尤其是在没有静脉血栓栓塞传统危险因素的年轻患者中。

https://cdn.ncbi.nlm.nih.gov/pmc/blobs/9246/12301704/7be1ba12cf06/cureus-0017-00000086897-i01.jpg

文献AI研究员

20分钟写一篇综述,助力文献阅读效率提升50倍。

立即体验

用中文搜PubMed

大模型驱动的PubMed中文搜索引擎

马上搜索

文档翻译

学术文献翻译模型,支持多种主流文档格式。

立即体验