Suppr超能文献

热成像摄像机在取出残留腹直肌鞘导管中的新应用:一项病例研究。

The Novel Introduction of a Thermal Camera in the Retrieval of a Retained Rectus Sheath Catheter: A Case Study.

作者信息

Awaly Mahmoud, Norton Melanie, Ahmed Doaa, Abdelbar Ahmed, Lim Jessica, Al-Karawi D, Al-Zaidi Shakir, Sayasneh Ahmad

机构信息

Gynaecological Oncology, Guy's and St Thomas' NHS Foundation Trust, London, GBR.

Obstetrics and Gynaecology, Guy's and St Thomas' NHS Foundation Trust, London, GBR.

出版信息

Cureus. 2025 Jun 27;17(6):e86892. doi: 10.7759/cureus.86892. eCollection 2025 Jun.

Abstract

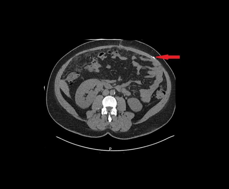
Midline laparotomy remains essential in gynecological oncology, and rectus sheath catheters (RSCs) are commonly used for postoperative analgesia. We report the case of a 46-year-old woman who underwent midline laparotomy for a suspected ovarian mass, which intraoperatively revealed mucinous ascites consistent with pseudomyxoma peritonei. An RSC was placed for pain control; however, during removal, a 5 cm segment remained embedded in the subrectus sheath. Initial imaging with plain X-ray failed to detect the retained catheter, which was eventually confirmed by computed tomography (CT). Intraoperative localization attempts using C-arm fluoroscopy and palpation were unsuccessful. A novel adjunctive approach using a Flir One Pro smartphone-based thermal camera (Flir One Pro Systems, Sweden), approved by clinical governance and operated by a trained surgeon, successfully identified localized heat on the abdominal wall, corresponding to inflammation caused by the retained catheter. Guided by this finding, a 2 cm incision was made to retrieve the coiled catheter without complications. The patient recovered well and was discharged on the third postoperative day. Histopathology confirmed pseudomyxoma peritonei, and the case was referred to a colorectal multidisciplinary team. This report highlights the feasibility and clinical value of thermal imaging as a radiation-free, real-time adjunct for detecting retained surgical materials, particularly when conventional imaging fails. Thermal imaging offers portability, precision, and safety, though its broader adoption requires standardized training, validation, and further research.

摘要

中线剖腹术在妇科肿瘤学中仍然至关重要,腹直肌鞘导管(RSCs)常用于术后镇痛。我们报告了一例46岁女性的病例,该患者因疑似卵巢肿块接受了中线剖腹术,术中发现黏液性腹水,符合腹膜假黏液瘤。放置了一根RSC用于控制疼痛;然而,在拔除过程中,一段5厘米长的导管仍嵌在腹直肌鞘内。最初的X线平片成像未能检测到残留导管,最终通过计算机断层扫描(CT)得以证实。使用C形臂荧光透视和触诊进行术中定位的尝试均未成功。一种新颖的辅助方法,使用经临床管理部门批准、由训练有素的外科医生操作的基于Flir One Pro智能手机的热成像相机(瑞典Flir One Pro系统公司),成功在腹壁上识别出局部发热,对应于残留导管引起的炎症。在此发现的引导下,做了一个2厘米的切口取出盘绕的导管,未出现并发症。患者恢复良好,术后第三天出院。组织病理学证实为腹膜假黏液瘤,该病例被转诊至结直肠多学科团队。本报告强调了热成像作为一种无辐射、实时辅助手段检测残留手术材料的可行性和临床价值,特别是在传统成像失败时。热成像具有便携性、精确性和安全性,不过其更广泛的应用需要标准化培训、验证和进一步研究。

https://cdn.ncbi.nlm.nih.gov/pmc/blobs/e37d/12301637/d02e86083f70/cureus-0017-00000086892-i01.jpg

相似文献

1
The Novel Introduction of a Thermal Camera in the Retrieval of a Retained Rectus Sheath Catheter: A Case Study.
Cureus. 2025 Jun 27;17(6):e86892. doi: 10.7759/cureus.86892. eCollection 2025 Jun.
2
Management of urinary stones by experts in stone disease (ESD 2025).
Arch Ital Urol Androl. 2025 Jun 30;97(2):14085. doi: 10.4081/aiua.2025.14085.
4
Ultrasound guidance versus anatomical landmarks for internal jugular vein catheterization.
Cochrane Database Syst Rev. 2015 Jan 9;1(1):CD006962. doi: 10.1002/14651858.CD006962.pub2.
7
123I-MIBG scintigraphy and 18F-FDG-PET imaging for diagnosing neuroblastoma.
Cochrane Database Syst Rev. 2015 Sep 29;2015(9):CD009263. doi: 10.1002/14651858.CD009263.pub2.
8
The Black Book of Psychotropic Dosing and Monitoring.
Psychopharmacol Bull. 2024 Jul 8;54(3):8-59.
9
Intraoperative frozen section analysis for the diagnosis of early stage ovarian cancer in suspicious pelvic masses.
Cochrane Database Syst Rev. 2016 Mar 1;3(3):CD010360. doi: 10.1002/14651858.CD010360.pub2.

本文引用的文献

1
Rectus sheath catheter analgesia for patients undergoing laparotomy.
BJA Educ. 2018 Jun;18(6):166-172. doi: 10.1016/j.bjae.2018.03.002. Epub 2018 Mar 16.
2
Knotty Catheter! - An unusual complication of rectus sheath block.
Indian J Anaesth. 2019 Nov;63(11):947-948. doi: 10.4103/ija.IJA_236_19. Epub 2019 Nov 8.
3
Imaging of retained surgical items: A pictorial review including new innovations.
Indian J Radiol Imaging. 2017 Jul-Sep;27(3):354-361. doi: 10.4103/ijri.IJRI_31_17.
5
REctus Sheath block for postoperative analgesia in gynecological ONcology Surgery (RESONS): a randomized-controlled trial.
Can J Anaesth. 2016 Dec;63(12):1335-1344. doi: 10.1007/s12630-016-0732-9. Epub 2016 Sep 14.
7
Infrared thermal imaging: a review of the literature and case report.
Neuroimage. 2009 Aug;47 Suppl 2:T154-62. doi: 10.1016/j.neuroimage.2009.03.043. Epub 2009 Mar 28.
8
Health effects of ionising radiation from diagnostic CT.
Lancet. 2006 May 27;367(9524):1712-4. doi: 10.1016/S0140-6736(06)68748-5.

文献AI研究员

20分钟写一篇综述,助力文献阅读效率提升50倍。

立即体验

用中文搜PubMed

大模型驱动的PubMed中文搜索引擎

马上搜索

文档翻译

学术文献翻译模型,支持多种主流文档格式。

立即体验