Suppr超能文献

一名患有大疱性表皮松解症的患者的局部晚期宫颈癌接受同步放化疗和电子近距离放疗的治疗情况。

Locally Advanced Cervical Cancer in a Patient with Epidermolysis Bullosa Treated with Concurrent Chemoradiotherapy and Electronic Brachytherapy.

作者信息

Hitova-Topkarova Desislava, Payakova Virginia, Yordanov Angel, Kostova-Lefterova Desislava, Encheva Elitsa

机构信息

Scientific and Innovative Program Med for Health, Medical University Pleven, 5800 Pleven, Bulgaria.

Department of Radiotherapy, UMHAT "Dr. Georgi Stranski", 5800 Pleven, Bulgaria.

出版信息

Reports (MDPI). 2025 Jan 21;8(1):12. doi: 10.3390/reports8010012.

Abstract

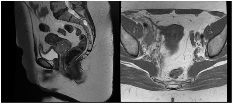
: The purpose of this report is to investigate the feasibility of combined modality treatment in a case of locally advanced cervical cancer in a patient with inherited epidermolysis bullosa as well as to suggest a protocol for cervical electronic brachytherapy. : The patient was treated with image-guided external beam radiotherapy and concomitant chemotherapy to a dose of 45 Gy in 25 fractions with a simultaneously integrated boost of 55 Gy in involved lymph nodes. The maximal skin dose was 34.09 Gy. Intracavitary electronic brachytherapy was applied to the uterine cervix in 4 fractions of 7 Gy and contributed no dose to the skin. : The treatment was tolerated well with no early toxicity. During the 3-month period of follow-up, no adverse events of grade 2 or higher were detected, and no exacerbation of skin lesions was noted. : This is the first report of treatment of cervical cancer in a patient with inherited epidermolysis bullosa where combined concurrent chemoradiotherapy and intracavitary electronic brachytherapy demonstrated feasibility and safety. The followed institutional protocol for treatment planning and delivery ensured low doses to organs and risk and reproducibility.

摘要

本报告的目的是探讨在一名患有遗传性大疱性表皮松解症的局部晚期宫颈癌患者中进行综合治疗的可行性,并提出一种宫颈电子近距离放疗方案。该患者接受了图像引导的外照射放疗和同步化疗,剂量为45 Gy,分25次进行,同时对受累淋巴结进行55 Gy的同步整合加量照射。最大皮肤剂量为34.09 Gy。对子宫颈进行了4次腔内电子近距离放疗,每次7 Gy,未对皮肤造成剂量。治疗耐受性良好,无早期毒性。在3个月的随访期间,未检测到2级或更高等级的不良事件,也未发现皮肤病变加重。这是首例关于遗传性大疱性表皮松解症患者宫颈癌治疗的报告,其中同步放化疗和腔内电子近距离放疗显示出可行性和安全性。后续的机构治疗计划和实施方案确保了对器官的低剂量、低风险和可重复性。

https://cdn.ncbi.nlm.nih.gov/pmc/blobs/4e54/12199983/4b58a7302c72/reports-08-00012-g001.jpg

文献AI研究员

20分钟写一篇综述,助力文献阅读效率提升50倍。

立即体验

用中文搜PubMed

大模型驱动的PubMed中文搜索引擎

马上搜索

文档翻译

学术文献翻译模型,支持多种主流文档格式。

立即体验