• 文献检索
  • 文档翻译
  • 深度研究
  • 学术资讯
  • Suppr Zotero 插件Zotero 插件
  • 邀请有礼
  • 套餐&价格
  • 历史记录
应用&插件
Suppr Zotero 插件Zotero 插件浏览器插件Mac 客户端Windows 客户端微信小程序
定价
高级版会员购买积分包购买API积分包
服务
文献检索文档翻译深度研究API 文档MCP 服务
关于我们
关于 Suppr公司介绍联系我们用户协议隐私条款
关注我们

Suppr 超能文献

核心技术专利:CN118964589B侵权必究
粤ICP备2023148730 号-1Suppr @ 2026

文献检索

告别复杂PubMed语法,用中文像聊天一样搜索,搜遍4000万医学文献。AI智能推荐,让科研检索更轻松。

立即免费搜索

文件翻译

保留排版,准确专业,支持PDF/Word/PPT等文件格式,支持 12+语言互译。

免费翻译文档

深度研究

AI帮你快速写综述,25分钟生成高质量综述,智能提取关键信息,辅助科研写作。

立即免费体验

一种联合手术方法治疗鼻窦眼眶血管外皮细胞瘤

A Combined Surgical Approach for the Treatment of a Sino-Naso-Orbital Glomangiopericytoma.

作者信息

Labouchère Ania, De Sandre Cécile, Broome Martin, Reinhard Antoine, Louvrier Aurélien

机构信息

Department of Maxillofacial Surgery, Lausanne University Hospital, Lausanne University, 1011 Lausanne, Switzerland.

Department of Otorhinolaryngology-Head and Neck Surgery, Lausanne University Hospital, 1011 Lausanne, Switzerland.

出版信息

Reports (MDPI). 2023 Feb 15;6(1):7. doi: 10.3390/reports6010007.

DOI:10.3390/reports6010007
PMID:40733863
原文链接:https://pmc.ncbi.nlm.nih.gov/articles/PMC12225516/
Abstract

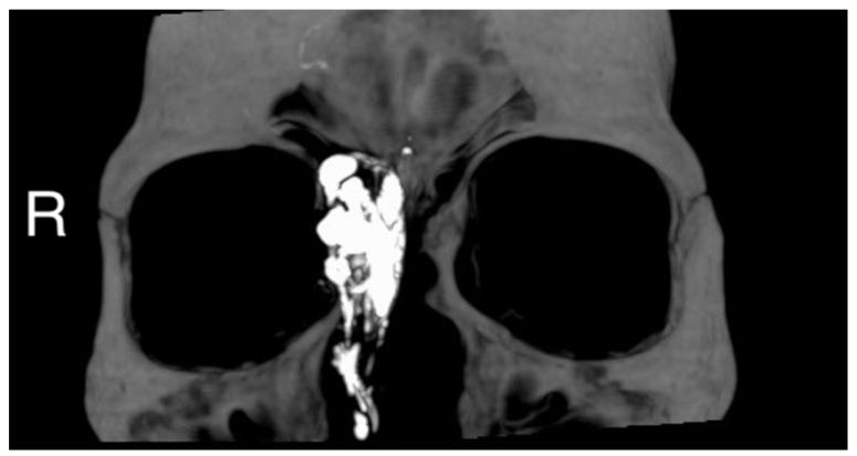
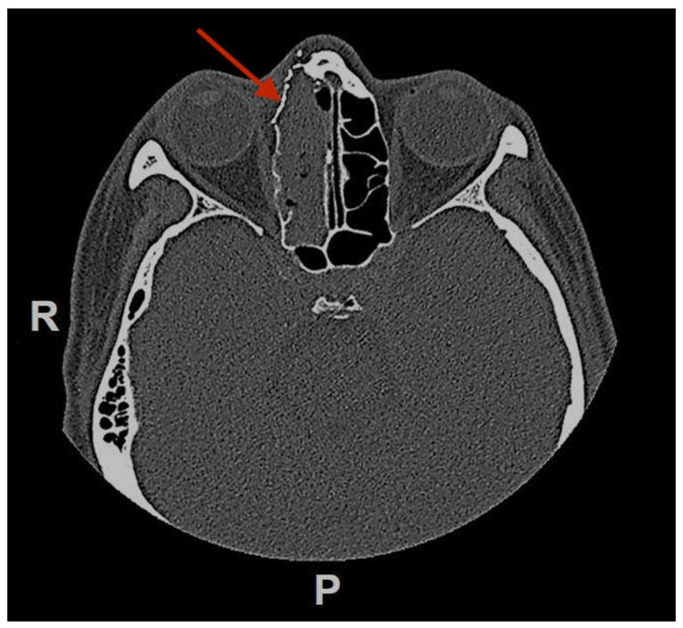
Glomangiopericytomas are a rare type of sinonasal tumors with high relapse rates. Endoscopic sinus surgery is the classical technique to remove such tumors. Here we report a case of sinonasal glomangiopericytoma with orbital extension, infrequently described in the literature. A 50 year-old woman was referred to our hospital because of a right paranasal painless swelling, which appeared 9 months ago and was slowly increasing in size since her first visit. A Magnetic Resonance Imaging (MRI) revealed a tumor (18 × 25 × 37 mm) centered on the right ethmoidal cells, with adjacent nasal bone erosion and a right orbital invasion. The tumor was removed with a combined surgical approach (endoscopic and trans-sinusal frontal approach) after pre-surgical embolization. Based on the results of the histopathological examination, the diagnosis of a glomangiopericytoma was confirmed. The patient was discharged after one week, and an uneventful long-term follow-up.

摘要

血管外皮细胞瘤是一种罕见的鼻窦肿瘤,复发率高。鼻内镜鼻窦手术是切除此类肿瘤的经典技术。在此,我们报告一例鼻窦血管外皮细胞瘤侵犯眼眶的病例,该病例在文献中鲜有描述。一名50岁女性因右侧鼻旁无痛性肿胀前来我院就诊,该肿胀于9个月前出现,自首次就诊以来大小逐渐增大。磁共振成像(MRI)显示一个肿瘤(18×25×37mm),以右侧筛窦为中心,伴有相邻鼻骨侵蚀和右侧眼眶侵犯。术前栓塞后,采用联合手术方法(鼻内镜和经鼻窦额部入路)切除肿瘤。根据组织病理学检查结果,确诊为血管外皮细胞瘤。患者术后一周出院,长期随访情况良好。

https://cdn.ncbi.nlm.nih.gov/pmc/blobs/5e4a/12225516/eb182428c5cf/reports-06-00007-g006.jpg
https://cdn.ncbi.nlm.nih.gov/pmc/blobs/5e4a/12225516/57297777aad6/reports-06-00007-g001a.jpg
https://cdn.ncbi.nlm.nih.gov/pmc/blobs/5e4a/12225516/c0840b709162/reports-06-00007-g002.jpg
https://cdn.ncbi.nlm.nih.gov/pmc/blobs/5e4a/12225516/d2cdb0f548f7/reports-06-00007-g003.jpg
https://cdn.ncbi.nlm.nih.gov/pmc/blobs/5e4a/12225516/e91a68530910/reports-06-00007-g004.jpg
https://cdn.ncbi.nlm.nih.gov/pmc/blobs/5e4a/12225516/53c15b051244/reports-06-00007-g005.jpg
https://cdn.ncbi.nlm.nih.gov/pmc/blobs/5e4a/12225516/eb182428c5cf/reports-06-00007-g006.jpg
https://cdn.ncbi.nlm.nih.gov/pmc/blobs/5e4a/12225516/57297777aad6/reports-06-00007-g001a.jpg
https://cdn.ncbi.nlm.nih.gov/pmc/blobs/5e4a/12225516/c0840b709162/reports-06-00007-g002.jpg
https://cdn.ncbi.nlm.nih.gov/pmc/blobs/5e4a/12225516/d2cdb0f548f7/reports-06-00007-g003.jpg
https://cdn.ncbi.nlm.nih.gov/pmc/blobs/5e4a/12225516/e91a68530910/reports-06-00007-g004.jpg
https://cdn.ncbi.nlm.nih.gov/pmc/blobs/5e4a/12225516/53c15b051244/reports-06-00007-g005.jpg
https://cdn.ncbi.nlm.nih.gov/pmc/blobs/5e4a/12225516/eb182428c5cf/reports-06-00007-g006.jpg

相似文献

1
A Combined Surgical Approach for the Treatment of a Sino-Naso-Orbital Glomangiopericytoma.一种联合手术方法治疗鼻窦眼眶血管外皮细胞瘤
Reports (MDPI). 2023 Feb 15;6(1):7. doi: 10.3390/reports6010007.
2
Endoscopic surgery combined with titanium mesh for infantile solitary orbital myofibroma: a case report.内镜手术联合钛网治疗婴幼儿孤立性眼眶肌纤维瘤:1例报告
Front Pediatr. 2025 Jun 18;13:1602242. doi: 10.3389/fped.2025.1602242. eCollection 2025.
3
What Are the Functional, Radiographic, and Survivorship Outcomes of a Modified Cup-cage Technique for Pelvic Discontinuity?改良杯笼技术治疗骨盆不连续性的功能、影像学和生存结果如何?
Clin Orthop Relat Res. 2024 Dec 1;482(12):2149-2160. doi: 10.1097/CORR.0000000000003186. Epub 2024 Jul 9.
4
Intracavernous Aneurysm Mimicking Tolosa-Hunt Syndrome.模仿托洛萨-亨特综合征的海绵窦内动脉瘤
Maedica (Bucur). 2024 Sep;19(3):634-640. doi: 10.26574/maedica.2024.19.3.634.
5
Oral and intranasal aspirin desensitisation for non-steroidal anti-inflammatory drug (NSAID)-exacerbated respiratory disease.用于非甾体抗炎药(NSAID)诱发的呼吸道疾病的口服和鼻内阿司匹林脱敏疗法。
Cochrane Database Syst Rev. 2025 Jan 7;1(1):CD013476. doi: 10.1002/14651858.CD013476.pub2.
6
What Are the Recurrence Rates, Complications, and Functional Outcomes After Multiportal Arthroscopic Synovectomy for Patients With Knee Diffuse-type Tenosynovial Giant-cell Tumors?膝关节弥漫型腱鞘巨细胞瘤患者行多入路关节镜下滑膜切除术的复发率、并发症及功能结局如何?
Clin Orthop Relat Res. 2024 Jul 1;482(7):1218-1229. doi: 10.1097/CORR.0000000000002934. Epub 2023 Dec 28.
7
Liposarcoma of Maxilla- A Rare Case Report.上颌骨脂肪肉瘤——1例罕见病例报告
Indian J Otolaryngol Head Neck Surg. 2024 Dec;76(6):5978-5982. doi: 10.1007/s12070-024-05022-x. Epub 2024 Sep 11.
8
Interventions for melanoma in situ, including lentigo maligna.原位黑色素瘤的干预措施,包括恶性雀斑样痣。
Cochrane Database Syst Rev. 2014 Dec 19;2014(12):CD010308. doi: 10.1002/14651858.CD010308.pub2.
9
Systemic and topical antibiotics for chronic rhinosinusitis.用于慢性鼻-鼻窦炎的全身及局部用抗生素
Cochrane Database Syst Rev. 2016 Apr 26;4(4):CD011994. doi: 10.1002/14651858.CD011994.pub2.
10
Ectopic ACTH-secreting pituitary adenoma of the sphenoid sinus: case report of endoscopic endonasal resection and systematic review of the literature.蝶窦异位促肾上腺皮质激素分泌垂体腺瘤:经鼻内镜切除术病例报告及文献系统综述
Neurosurg Focus. 2015 Feb;38(2):E10. doi: 10.3171/2014.10.FOCUS14685.

本文引用的文献

1
Orbital glomangiopericytoma in a 5-year-old child.5 岁儿童眶内血管外皮瘤。
Orbit. 2024 Jun;43(3):380-384. doi: 10.1080/01676830.2022.2151629. Epub 2022 Dec 5.
2
Glomangiopericytoma: a case series with review of literature.血管外皮细胞瘤:病例系列并文献复习
Braz J Otorhinolaryngol. 2022 Sep-Oct;88(5):817-820. doi: 10.1016/j.bjorl.2021.02.007. Epub 2021 Mar 6.
3
Endoscopic Treatment of Sinonasal Glomangiopericytoma: A Case Report in Light of the Literature.鼻窦血管外皮细胞瘤的内镜治疗:结合文献的病例报告
Yonago Acta Med. 2019 Jun 20;62(2):236-239. doi: 10.33160/yam.2019.06.009. eCollection 2019 Jun.
4
Sinonasal glomangiopericytoma: A clinicopathologic study.鼻窦血管外皮细胞瘤:临床病理研究。
Pathol Res Pract. 2019 May;215(5):983-987. doi: 10.1016/j.prp.2019.02.004. Epub 2019 Feb 3.
5
Finite element analysis of the human orbit. Behavior of titanium mesh for orbital floor reconstruction in case of trauma recurrence.人体眼眶的有限元分析。创伤复发时钛网用于眼眶底重建的行为。
J Stomatol Oral Maxillofac Surg. 2019 Apr;120(2):91-94. doi: 10.1016/j.jormas.2018.11.003. Epub 2018 Nov 16.
6
Glomangiopericytoma simulating an intracavernous meningioma.酷似海绵窦脑膜瘤的血管外皮细胞瘤
Surg Neurol Int. 2016 Mar 2;7(Suppl 5):S142-7. doi: 10.4103/2152-7806.177888. eCollection 2016.
7
Endoscopic resection of invasive glomangiopericytoma following preoperative embolisation.术前栓塞后内镜下切除侵袭性血管球周细胞瘤
BMJ Case Rep. 2016 Feb 17;2016:bcr2015213423. doi: 10.1136/bcr-2015-213423.
8
A rare tumor of nasal cavity: glomangiopericytoma.一种罕见的鼻腔肿瘤:血管球周细胞瘤。
Case Rep Otolaryngol. 2014;2014:282958. doi: 10.1155/2014/282958. Epub 2014 Jul 20.
9
[WHO classification of tumours of soft tissue and bone 2013: the main changes compared to the 3rd edition].《世界卫生组织软组织和骨肿瘤分类(2013年版):与第三版相比的主要变化》
Cesk Patol. 2014 Apr;50(2):64-70.
10
A case of glomangiopericytoma involving the orbital wall.一例累及眶壁的血管球性血管外皮细胞瘤。
Ear Nose Throat J. 2013 Apr-May;92(4-5):E13-5. doi: 10.1177/014556131309200422.