Wang Yangwei, He Shiwen, Diao Mingxin, Zhao Rong, Ren Jinghua, Mei Peiyuan, Wu Shihao, Fan Sheng, Liao Yongde
Department of Thoracic Surgery, Union Hospital, Tongji Medical College, Huazhong University of Science and Technology, Wuhan, China.
Cancer Center, Union Hospital, Tongji Medical College, Huazhong University of Science and Technology, Wuhan, China.
Cell Death Dis. 2025 Jul 30;16(1):576. doi: 10.1038/s41419-025-07870-z.
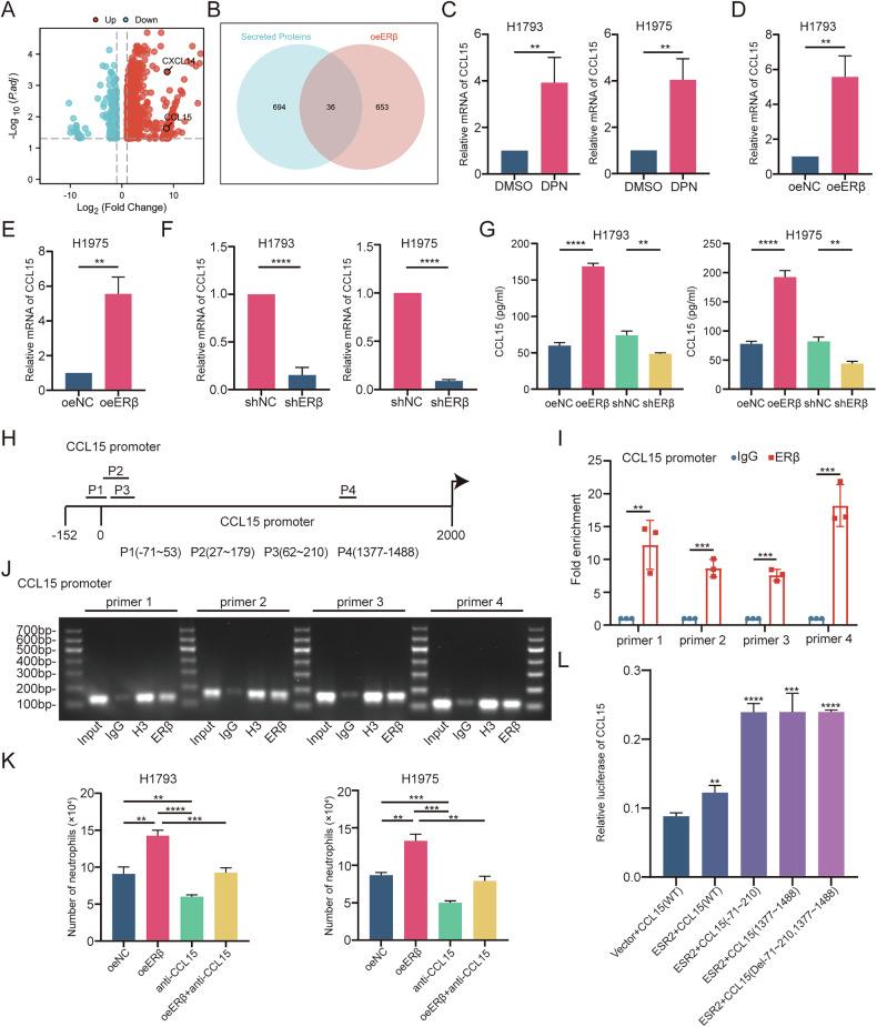
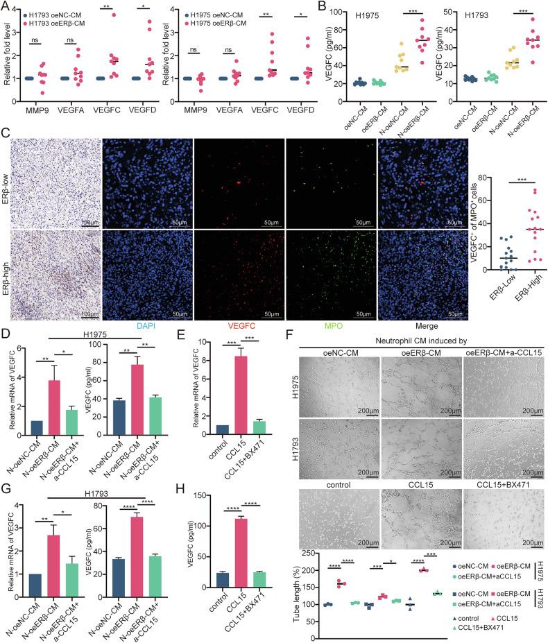
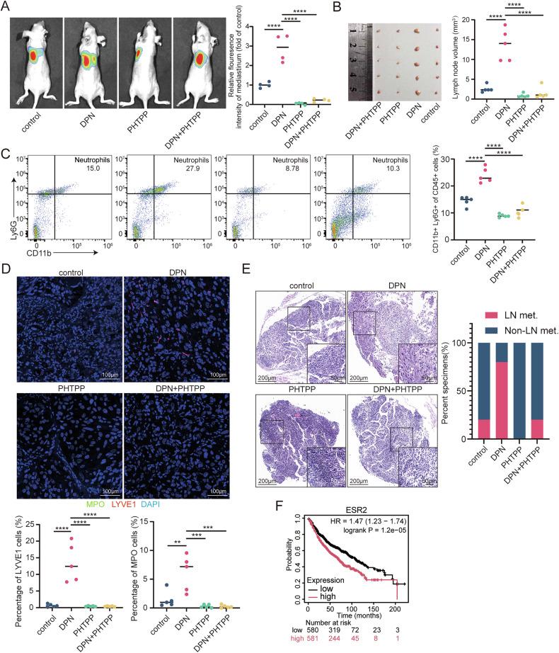
This study investigated the role of estrogen receptor beta (ERβ) in the lymph node metastasis of lung adenocarcinoma (LUAD), focusing on its interaction with tumor-associated neutrophils (TANs) and its regulation of lymphangiogenesis. Clinical analysis of LUAD patient samples revealed that high ERβ expression was correlated with positive lymph node metastasis and increased lymphatic vessel density. In vitro experiments showed that ERβ promotes neutrophil chemotaxis by regulating CCL15 transcription, whereas TANs secrete VEGF-C, enhancing lymphangiogenesis. Using an orthotopic lung cancer model, we confirmed that ERβ facilitates LUAD lymph node metastasis through TAN recruitment, and inhibiting neutrophils with anti-Ly6G antibodies or CCR1 antagonists reduced this effect. Additionally, the study found that ASB8, an E3 ubiquitin ligase, degrades ERβ through K48-linked polyubiquitination. Low ASB8 expression results in increased ERβ stability and promotes LUAD metastasis. These findings suggest that ERβ, by recruiting TANs through the CCL15-CCR1 axis, plays a key role in LUAD lymph node metastasis, with ASB8 acting as a crucial regulator of ERβ stability. Targeting ERβ and ASB8 could offer new therapeutic strategies for LUAD metastasis, warranting further investigation of their clinical applications.
本研究调查了雌激素受体β(ERβ)在肺腺癌(LUAD)淋巴结转移中的作用,重点关注其与肿瘤相关中性粒细胞(TANs)的相互作用及其对淋巴管生成的调节。对LUAD患者样本的临床分析表明,高ERβ表达与阳性淋巴结转移和淋巴管密度增加相关。体外实验表明,ERβ通过调节CCL15转录促进中性粒细胞趋化,而TANs分泌VEGF-C,增强淋巴管生成。使用原位肺癌模型,我们证实ERβ通过招募TANs促进LUAD淋巴结转移,用抗Ly6G抗体或CCR1拮抗剂抑制中性粒细胞可降低这种作用。此外,研究发现E3泛素连接酶ASB8通过K48连接的多聚泛素化降解ERβ。低ASB8表达导致ERβ稳定性增加并促进LUAD转移。这些发现表明,ERβ通过CCL15-CCR1轴招募TANs,在LUAD淋巴结转移中起关键作用,ASB8作为ERβ稳定性的关键调节因子。靶向ERβ和ASB8可为LUAD转移提供新的治疗策略,值得进一步研究它们的临床应用。