Suppr超能文献

病毒性B型肝硬化中肝细胞癌的自发性坏死:一例报告

Spontaneous Necrosis of Hepatocellular Carcinoma in Viral B Cirrhosis: A Case Report.

作者信息

Hidous Yasmine, Nakhli Abdelwaheb, Mrabet Emna, Hemdani Nesrine, Benzarti Zeineb, Bouchabou Bochra, Ennaifer Rym

机构信息

Hepato-Gastroenterology Department, Mongi Slim Hospital, Tunis, Tunisia.

出版信息

Case Rep Oncol. 2025 Jun 27;18(1):1028-1033. doi: 10.1159/000546699. eCollection 2025 Jan-Dec.

Abstract

INTRODUCTION

Hepatocellular carcinoma (HCC) is a leading cause of cancer-related mortality worldwide and its prognosis largely depends on the stage at diagnosis and the feasibility of curative treatments. Spontaneous necrosis of HCC is an extremely rare phenomenon with an unclear pathophysiology. Various mechanisms, including vascular disturbances, immune-mediated response, and recurrent infection, have been considered. This case report presents a rare case of spontaneous necrosis of a small HCC in a patient with hepatitis B-related cirrhosis.

CASE PRESENTATION

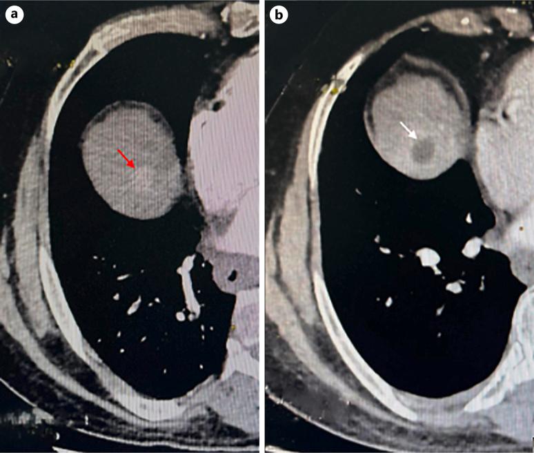
A 63-year-old male with compensated hepatitis B-related cirrhosis was under routine surveillance when a suspicious liver lesion was detected on ultrasound. Subsequent contrast-enhanced computed tomography (CT) confirmed the presence of an 18-mm HCC in segment VIII, corresponding to Barcelona Clinical Liver Cancer stage A. Due to limited curative treatment options, transarterial chemoembolization was considered. However, a follow-up CT scan was performed 2 weeks before the procedure unexpectedly revealed complete regression of arterial enhancement, suggestive of spontaneous tumor necrosis. The patient remained asymptomatic, with stable liver function and mild biological inflammatory markers. No evidence of vascular thrombosis or significant systemic inflammation was noted, suggesting localized vascular disturbances or intrinsic tumor factors might have precipitated the necrosis.

CONCLUSION

This case highlights the exceptional occurrence of spontaneous necrosis in a small HCC. While the underlying mechanisms remain speculative, further documentation and research on similar cases may provide insights into HCC pathophysiology and potential implications for future therapeutic strategies.

摘要

引言

肝细胞癌(HCC)是全球癌症相关死亡的主要原因,其预后很大程度上取决于诊断时的分期以及根治性治疗的可行性。HCC的自发性坏死是一种极其罕见的现象,其病理生理学尚不清楚。人们考虑了各种机制,包括血管紊乱、免疫介导反应和反复感染。本病例报告介绍了一名乙型肝炎相关肝硬化患者小HCC自发性坏死的罕见病例。

病例介绍

一名63岁的男性,患有代偿性乙型肝炎相关肝硬化,在常规监测期间,超声检查发现肝脏有可疑病变。随后的对比增强计算机断层扫描(CT)证实肝VIII段存在一个18毫米的HCC,符合巴塞罗那临床肝癌分期A期。由于根治性治疗选择有限,考虑进行经动脉化疗栓塞术。然而,在手术前2周进行的一次随访CT扫描意外显示动脉强化完全消退,提示肿瘤自发性坏死。患者仍无症状,肝功能稳定,生物炎症指标轻度升高。未发现血管血栓形成或明显全身炎症的证据,提示局部血管紊乱或肿瘤内在因素可能促成了坏死。

结论

本病例突出了小HCC中自发性坏死的罕见发生。虽然潜在机制仍属推测,但对类似病例的进一步记录和研究可能为HCC的病理生理学以及对未来治疗策略的潜在影响提供见解。

https://cdn.ncbi.nlm.nih.gov/pmc/blobs/9627/12310190/c07e2eebfa02/cro-2025-0018-0001-546699_F01.jpg

文献AI研究员

20分钟写一篇综述,助力文献阅读效率提升50倍。

立即体验

用中文搜PubMed

大模型驱动的PubMed中文搜索引擎

马上搜索

文档翻译

学术文献翻译模型,支持多种主流文档格式。

立即体验