• 文献检索
  • 文档翻译
  • 深度研究
  • 学术资讯
  • Suppr Zotero 插件Zotero 插件
  • 邀请有礼
  • 套餐&价格
  • 历史记录
应用&插件
Suppr Zotero 插件Zotero 插件浏览器插件Mac 客户端Windows 客户端微信小程序
定价
高级版会员购买积分包购买API积分包
服务
文献检索文档翻译深度研究API 文档MCP 服务
关于我们
关于 Suppr公司介绍联系我们用户协议隐私条款
关注我们

Suppr 超能文献

核心技术专利:CN118964589B侵权必究
粤ICP备2023148730 号-1Suppr @ 2026

文献检索

告别复杂PubMed语法,用中文像聊天一样搜索,搜遍4000万医学文献。AI智能推荐,让科研检索更轻松。

立即免费搜索

文件翻译

保留排版,准确专业,支持PDF/Word/PPT等文件格式,支持 12+语言互译。

免费翻译文档

深度研究

AI帮你快速写综述,25分钟生成高质量综述,智能提取关键信息,辅助科研写作。

立即免费体验

异基因人脐带血用于急性缺血性中风:I期临床试验。

Allogeneic human umbilical cord blood for acute ischemic stroke: Phase I clinical trial.

作者信息

Lo Raymond Y, Luo Yuncin, Chen Shu-Cin, Wang Jen-Hung, Ko Chen-Yu, Chen Ying-Jie, Su Yu-Chin, Lee Tong-Young, Wang Jonas C, Lin Shinn-Zong

机构信息

Department of Neurology, Taitung St. Mary's Hospital, Taitung, Taiwan.

Department of Neurology, Hualien Tzu Chi Hospital, Buddhist Tzu Chi Medical Foundation, Hualien, Taiwan.

出版信息

Tzu Chi Med J. 2025 May 9;37(3):321-327. doi: 10.4103/tcmj.tcmj_249_24. eCollection 2025 Jul-Sep.

DOI:10.4103/tcmj.tcmj_249_24
PMID:40741608
原文链接:https://pmc.ncbi.nlm.nih.gov/articles/PMC12306862/
Abstract

OBJECTIVES

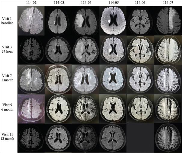
Transplantation of human umbilical cord blood cells (hUCB) may enhance neuroprotection, and thus, the intravenous (IV) infusion of hUCB in patients with acute ischemic stroke (AIS) is being tested for its safety and efficacy.

MATERIALS AND METHODS

We conducted a 12-month, open-label, and single-center, phase I trial of hUCB treatment in AIS patients at the age of 45-80 years, with magnetic resonance imaging evidence of acute infarction in the internal carotid artery supplied territory and the National Institute of Health Stroke Scale (NIHSS) score between 6 and 18. Eligible participants received a single-dose IV infusion of hUCB followed by the two doses of mannitol infusion within 9 days after the onset of stroke symptoms. The primary endpoint was the incidence of adverse events (AEs) and the secondary endpoints were the changes in NIHSS, Barthel index (BI), and Berg Balance Scale (BBS) scores.

RESULTS

Six patients (Male: Female = 3: 3) were enrolled with a mean age at 65.8 years. A total of 40 AEs occurred in six participants during this study, which included nine serious adverse events. Only transient erythema multiforme and hematuria were probably and possibly related to hUCB infusion, respectively. The mean NIHSS score was 11.5 at baseline and it significantly improved at 1, 3, 6, 9, and 12 months after treatment (mean change from baseline: -4.0, -5.3, -6.8, -7.0, and -7.3). The mean BI score was 22.5 at baseline and it significantly increased at 3 and 6 months after treatment (mean change from baseline: 26.7 and 42.5, respectively). The BBS score increased numerically but did not reach statistical significance. The changes in cytokine levels and spleen size were unremarkable.

CONCLUSION

The IV hUCB was safe and well tolerated in AIS patients, and the preliminary efficacy results demonstrated its therapeutic potential, supporting the conduct of a randomized, placebo controlled, phase II clinical trial in future.

摘要

目的

人脐带血细胞(hUCB)移植可能增强神经保护作用,因此,正在对急性缺血性卒中(AIS)患者静脉输注hUCB的安全性和有效性进行测试。

材料与方法

我们开展了一项为期12个月、开放标签、单中心的I期试验,纳入年龄在45至80岁之间的AIS患者,这些患者经磁共振成像证实颈内动脉供血区域存在急性梗死,且美国国立卫生研究院卒中量表(NIHSS)评分在6至18分之间。符合条件的参与者接受单次静脉输注hUCB,随后在卒中症状发作后9天内输注两剂甘露醇。主要终点是不良事件(AE)的发生率,次要终点是NIHSS、Barthel指数(BI)和Berg平衡量表(BBS)评分的变化。

结果

共纳入6例患者(男∶女 = 3∶3),平均年龄65.8岁。在本研究期间,6名参与者共发生40起AE,其中包括9起严重不良事件。仅多形性红斑和血尿可能分别与hUCB输注有关。治疗前NIHSS平均评分为11.5分,治疗后1、3、6、9和12个月时显著改善(相对于基线的平均变化:-4.0、-5.3、-6.8、-7.0和-7.3)。治疗前BI平均评分为22.5分,治疗后3个月和6个月时显著升高(相对于基线的平均变化:分别为26.7和42.5)。BBS评分有数值上的增加,但未达到统计学意义。细胞因子水平和脾脏大小的变化不明显。

结论

静脉输注hUCB在AIS患者中安全且耐受性良好,初步疗效结果显示了其治疗潜力,支持未来开展随机、安慰剂对照的II期临床试验。

https://cdn.ncbi.nlm.nih.gov/pmc/blobs/f2ff/12306862/7ca0b6c6006a/TCMJ-37-321-g002.jpg
https://cdn.ncbi.nlm.nih.gov/pmc/blobs/f2ff/12306862/8de40e42f76b/TCMJ-37-321-g001.jpg
https://cdn.ncbi.nlm.nih.gov/pmc/blobs/f2ff/12306862/7ca0b6c6006a/TCMJ-37-321-g002.jpg
https://cdn.ncbi.nlm.nih.gov/pmc/blobs/f2ff/12306862/8de40e42f76b/TCMJ-37-321-g001.jpg
https://cdn.ncbi.nlm.nih.gov/pmc/blobs/f2ff/12306862/7ca0b6c6006a/TCMJ-37-321-g002.jpg

相似文献

1
Allogeneic human umbilical cord blood for acute ischemic stroke: Phase I clinical trial.异基因人脐带血用于急性缺血性中风:I期临床试验。
Tzu Chi Med J. 2025 May 9;37(3):321-327. doi: 10.4103/tcmj.tcmj_249_24. eCollection 2025 Jul-Sep.
2
Safety and tolerability of intravenous liposomal GM1 in patients with Parkinson disease: A single-center open-label clinical phase I trial (NEON trial).静脉注射脂质体GM1治疗帕金森病患者的安全性和耐受性:一项单中心开放标签的I期临床试验(NEON试验)。
PLoS Med. 2025 May 13;22(5):e1004472. doi: 10.1371/journal.pmed.1004472. eCollection 2025 May.
3
Systemic pharmacological treatments for chronic plaque psoriasis: a network meta-analysis.系统性药理学治疗慢性斑块状银屑病:网络荟萃分析。
Cochrane Database Syst Rev. 2021 Apr 19;4(4):CD011535. doi: 10.1002/14651858.CD011535.pub4.
4
Antibiotics for exacerbations of asthma.用于哮喘加重期的抗生素
Cochrane Database Syst Rev. 2018 Jun 25;6(6):CD002741. doi: 10.1002/14651858.CD002741.pub2.
5
Ketamine and other glutamate receptor modulators for depression in bipolar disorder in adults.氯胺酮及其他谷氨酸受体调节剂用于成人双相情感障碍的抑郁治疗
Cochrane Database Syst Rev. 2015 Sep 29(9):CD011611. doi: 10.1002/14651858.CD011611.pub2.
6
Transcranial laser therapy for acute ischaemic stroke.经颅激光治疗急性缺血性卒中
Cochrane Database Syst Rev. 2025 Jul 24;7:CD012426. doi: 10.1002/14651858.CD012426.pub2.
7
Systemic pharmacological treatments for chronic plaque psoriasis: a network meta-analysis.慢性斑块状银屑病的全身药理学治疗:一项网状Meta分析。
Cochrane Database Syst Rev. 2020 Jan 9;1(1):CD011535. doi: 10.1002/14651858.CD011535.pub3.
8
Treatment for women with postpartum iron deficiency anaemia.产后缺铁性贫血女性的治疗。
Cochrane Database Syst Rev. 2024 Dec 13;12(12):CD010861. doi: 10.1002/14651858.CD010861.pub3.
9
Systemic pharmacological treatments for chronic plaque psoriasis: a network meta-analysis.慢性斑块状银屑病的全身药理学治疗:一项网状荟萃分析。
Cochrane Database Syst Rev. 2017 Dec 22;12(12):CD011535. doi: 10.1002/14651858.CD011535.pub2.
10
Interventions for necrotizing soft tissue infections in adults.成人坏死性软组织感染的干预措施。
Cochrane Database Syst Rev. 2018 May 31;5(5):CD011680. doi: 10.1002/14651858.CD011680.pub2.

本文引用的文献

1
Risk factors associated with hemorrhagic cystitis after allogeneic hematopoietic stem cell transplantation.异基因造血干细胞移植后出血性膀胱炎的相关危险因素。
Blood Sci. 2022 May 17;4(2):83-88. doi: 10.1097/BS9.0000000000000110. eCollection 2022 Apr.
2
Final Results of Allogeneic Adipose Tissue-Derived Mesenchymal Stem Cells in Acute Ischemic Stroke (AMASCIS): A Phase II, Randomized, Double-Blind, Placebo-Controlled, Single-Center, Pilot Clinical Trial.异体脂肪组织来源间充质干细胞治疗急性缺血性卒中的最终结果(AMASCIS):一项II期、随机、双盲、安慰剂对照、单中心先导性临床试验
Cell Transplant. 2022 Jan-Dec;31:9636897221083863. doi: 10.1177/09636897221083863.
3
Complete Restoration of Motor Function in Acute Cerebral Stroke Treated with Allogeneic Human Umbilical Cord Blood Monocytes: Preliminary Results of a phase I Clinical Trial.
同种异体人脐带血单个核细胞治疗急性脑卒中:一项 I 期临床试验的初步结果。
Cell Transplant. 2021 Jan-Dec;30:9636897211067447. doi: 10.1177/09636897211067447.
4
Pathophysiology of Blood-Brain Barrier Permeability Throughout the Different Stages of Ischemic Stroke and Its Implication on Hemorrhagic Transformation and Recovery.缺血性中风不同阶段血脑屏障通透性的病理生理学及其对出血性转化和恢复的影响
Front Neurol. 2020 Dec 9;11:594672. doi: 10.3389/fneur.2020.594672. eCollection 2020.
5
Mannitol Augments the Effects of Systemical Stem Cell Transplantation without Increasing Cell Migration in a Stroke Animal Model.甘露醇增强系统性干细胞移植在卒中动物模型中的效果而不增加细胞迁移。
Tissue Eng Regen Med. 2020 Oct;17(5):695-704. doi: 10.1007/s13770-020-00293-1. Epub 2020 Sep 8.
6
The spleen may be an important target of stem cell therapy for stroke.脾脏可能是中风干细胞治疗的一个重要靶点。
J Neuroinflammation. 2019 Jan 30;16(1):20. doi: 10.1186/s12974-019-1400-0.
7
Current approaches to prevent and treat GVHD after allogeneic stem cell transplantation.异基因造血干细胞移植后防治移植物抗宿主病的当前方法。
Hematology Am Soc Hematol Educ Program. 2018 Nov 30;2018(1):228-235. doi: 10.1182/asheducation-2018.1.228.
8
Two-year safety and clinical outcomes in chronic ischemic stroke patients after implantation of modified bone marrow-derived mesenchymal stem cells (SB623): a phase 1/2a study.改良骨髓间充质干细胞(SB623)植入慢性缺血性中风患者后的两年安全性和临床结果:一项1/2a期研究。
J Neurosurg. 2018 Nov 23;131(5):1462-1472. doi: 10.3171/2018.5.JNS173147. Print 2019 Nov 1.
9
Allogeneic Umbilical Cord Blood Infusion for Adults with Ischemic Stroke: Clinical Outcomes from a Phase I Safety Study.异体脐带血输注治疗缺血性脑卒中成人患者:I 期安全性研究的临床转归。
Stem Cells Transl Med. 2018 Jul;7(7):521-529. doi: 10.1002/sctm.18-0008. Epub 2018 May 12.
10
Safety and efficacy of multipotent adult progenitor cells in acute ischaemic stroke (MASTERS): a randomised, double-blind, placebo-controlled, phase 2 trial.多能成体祖细胞治疗急性缺血性脑卒中的安全性和有效性研究(MASTERS):一项随机、双盲、安慰剂对照、2 期临床试验。
Lancet Neurol. 2017 May;16(5):360-368. doi: 10.1016/S1474-4422(17)30046-7. Epub 2017 Mar 17.