Suppr超能文献

胰腺CT成像特征组合用于预测胰腺导管腺癌先行胰十二指肠切除术后的早期复发

Combination of imaging features on pancreatic CT for predicting early recurrence after upfront pancreatoduodenectomy of pancreatic ductal adenocarcinoma.

作者信息

Zhang Shuanglin, Guo Yi-Xuan, Dai Gui-Xue, Qi Xiumin, Wang Hao, Zhou Yongping, Zhang Kai, Chen Fang-Ming

机构信息

Department of Radiology, Jiangnan University Medical Center, 68 Zhongshan Road, Wuxi, China.

Department of Pathology, Jiangnan University Medical Center, 68 Zhongshan Road, Wuxi, China.

出版信息

Eur J Radiol Open. 2025 Jul 26;15:100672. doi: 10.1016/j.ejro.2025.100672. eCollection 2025 Dec.

Abstract

PURPOSE

This study aimed to identify preoperative computed tomography (CT) imaging features for predicting early recurrence after upfront pancreatoduodenectomy of pancreatic ductal adenocarcinoma (PDAC), and to assess the diagnostic performance and prognostic relevance of their combination.

METHODS

This study retrospectively included PDAC patients who underwent pancreatoduodenectomy and preoperative pancreatic CT between January 2016 and December 2023. Early recurrence is defined based on imaging evidence or pathology within 12 months after surgery. Significant imaging features for early recurrence were identified using univariate and multivariate analyses. Disease-free survival (DFS) and overall survival (OS) were analyzed in relation to these significant imaging features.

RESULTS

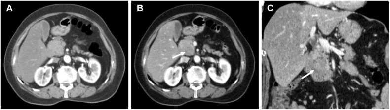
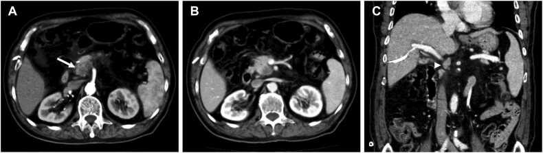
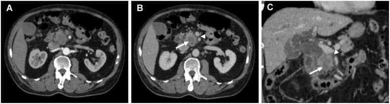
A total of 149 patients were evaluated (median age: 67 years; interquartile range: 41-89 years; 82 men), among whom 70 (47.0 %) experienced early recurrence. Rim enhancement, tumor necrosis, peripancreatic tumor infiltration, and suspicious metastatic lymph nodes, were independently associated with early recurrence. When any two or more of these four significant imaging features were combined, the specificity was 86.1 % (68/79) and the sensitivity was 88.6 % (60/70). DFS and OS were significantly worse in PDAC patients with two or more of these features compared to those with none or only one (all log-rank  < 0.001).

CONCLUSION

A combination of two or more imaging features such as rim enhancement, tumor necrosis, peripancreatic tumor infiltration, and suspicious metastatic lymph nodes, could be used as a prognostic imaging marker for early recurrence, demonstrating effective diagnostic performance and an association with DFS and OS after pancreatoduodenectomy of PDAC.

摘要

目的

本研究旨在确定术前计算机断层扫描(CT)成像特征,以预测胰腺导管腺癌(PDAC)先行胰十二指肠切除术后的早期复发,并评估其联合应用的诊断性能和预后相关性。

方法

本研究回顾性纳入了2016年1月至2023年12月期间接受胰十二指肠切除术及术前胰腺CT检查的PDAC患者。早期复发根据术后12个月内的影像学证据或病理结果定义。通过单因素和多因素分析确定早期复发的重要影像学特征。分析了这些重要影像学特征与无病生存期(DFS)和总生存期(OS)的关系。

结果

共评估了149例患者(中位年龄:67岁;四分位间距:41 - 89岁;男性82例),其中70例(47.0%)出现早期复发。边缘强化、肿瘤坏死、胰周肿瘤浸润和可疑转移性淋巴结与早期复发独立相关。当这四个重要影像学特征中的任意两个或更多个联合时,特异性为86.1%(68/79),敏感性为88.6%(60/70)。与无这些特征或仅有一个特征的PDAC患者相比,具有两个或更多个这些特征的患者的DFS和OS显著更差(所有对数秩检验<0.001)。

结论

边缘强化、肿瘤坏死、胰周肿瘤浸润和可疑转移性淋巴结等两个或更多个影像学特征的联合可作为早期复发的预后影像学标志物,显示出有效的诊断性能,并与PDAC胰十二指肠切除术后的DFS和OS相关。

https://cdn.ncbi.nlm.nih.gov/pmc/blobs/66a4/12319333/4a65cb4b8ed2/gr1.jpg

文献检索

告别复杂PubMed语法,用中文像聊天一样搜索,搜遍4000万医学文献。AI智能推荐,让科研检索更轻松。

立即免费搜索

文件翻译

保留排版,准确专业,支持PDF/Word/PPT等文件格式,支持 12+语言互译。

免费翻译文档

深度研究

AI帮你快速写综述,25分钟生成高质量综述,智能提取关键信息,辅助科研写作。

立即免费体验