Suppr超能文献

钱币状湿疹作为丙型肝炎病毒感染的首发肝外表现:一例报告

Nummular Eczema as the Initial Extrahepatic Manifestation of Hepatitis C Virus Infection: A Case Report.

作者信息

Valdez Ramírez Carlos E, Vera de León Lizeth, Torres Salazar Quitzia L

机构信息

Internal Medicine, Institute for Social Security and Services for State Workers, Mexico City, MEX.

Biomedical Sciences, Universidad Juárez del Estado de Durango, Durango, MEX.

出版信息

Cureus. 2025 Aug 4;17(8):e89379. doi: 10.7759/cureus.89379. eCollection 2025 Aug.

Abstract

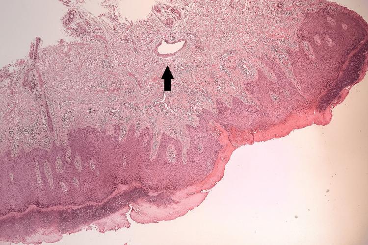
Although dermatological manifestations are common in hepatitis C virus (HCV) infection, nummular eczema is rarely reported in this context. We describe the case of a 73-year-old man with a seven-month history of pruritic lesions on the posterior thorax, unresponsive to symptomatic treatment. Physical and dermoscopic examination revealed well-demarcated, coin-shaped plaques with peripheral erythema and fine desquamation. Histopathology confirmed chronic inflammatory dermatitis. Laboratory tests showed elevated transaminases and high HCV viral load. The patient had a history of blood transfusion two decades prior but no prior HCV diagnosis. He was treated with a 12-week course of glecaprevir/pibrentasvir, which resulted in complete resolution of skin lesions and normalization of liver enzymes within one month. No adverse events were recorded. This case highlights the importance of recognizing atypical dermatological signs as possible early indicators of HCV infection and supports the effectiveness of direct-acting antivirals in resolving both hepatic and extrahepatic manifestations.

摘要

虽然皮肤表现在丙型肝炎病毒(HCV)感染中很常见,但钱币状湿疹在这种情况下很少被报道。我们描述了一名73岁男性的病例,其胸部后部有瘙痒性皮损,病程7个月,对症治疗无效。体格检查和皮肤镜检查发现边界清晰的钱币状斑块,周围有红斑和细小脱屑。组织病理学证实为慢性炎症性皮炎。实验室检查显示转氨酶升高,HCV病毒载量高。该患者20年前有输血史,但之前未诊断出HCV。他接受了为期12周的glecaprevir/pibrentasvir治疗,治疗1个月内皮肤病变完全消退,肝酶恢复正常。未记录到不良事件。该病例强调了将非典型皮肤体征识别为HCV感染可能的早期指标的重要性,并支持直接抗病毒药物在解决肝脏和肝外表现方面的有效性。

https://cdn.ncbi.nlm.nih.gov/pmc/blobs/530f/12321641/743238f25a28/cureus-0017-00000089379-i01.jpg

文献AI研究员

20分钟写一篇综述,助力文献阅读效率提升50倍。

立即体验

用中文搜PubMed

大模型驱动的PubMed中文搜索引擎

马上搜索

文档翻译

学术文献翻译模型,支持多种主流文档格式。

立即体验