Suppr超能文献

非洲爪蟾(非洲爪蟾)血清中补体第四成分的特性分析。

Characterization of the fourth component of complement in the serum of the clawed frog Xenopus laevis.

作者信息

Fujii T, Sekizawa A, Katagiri C

出版信息

Immunology. 1985 Dec;56(4):743-50.

Abstract

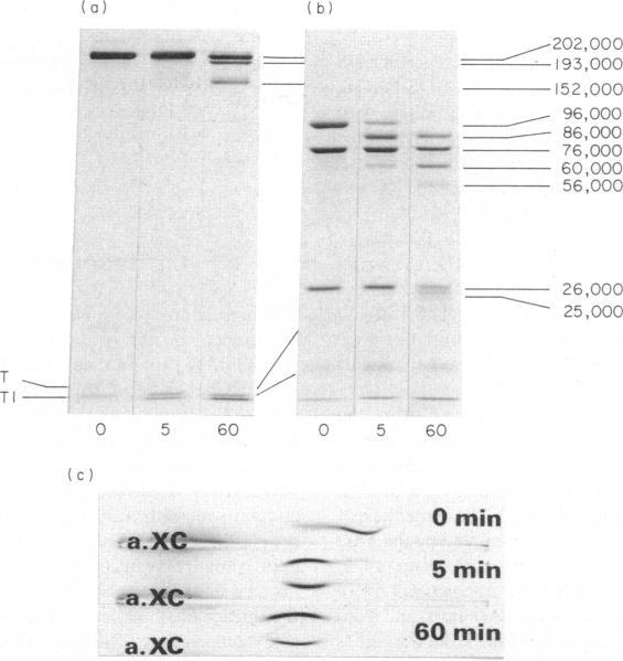
The 202,000 MW protein XC, which is distinct from C3 but is essential for antibody-dependent haemolytic activity against SRBC, was obtained from Xenopus plasma following polyethylene glycol precipitation, ion-exchange chromatography and gel-filtration. The protein required other components of the Xenopus serum in order to lyse sensitized SRBC, but did not lyse unsensitized RRBC through the alternative pathway. The protein, contained at 0.17 mg/ml in the original plasma, comprised three distinct subunits of 96,000, 76,000 and 26,000, which were linked by disulphide bonds. Digestion by trypsin resulted in a specific cleavage of the 96,000 subunit and a conversion of its immunoelectrophoretic mobility to the anodal side, leaving the 76,000 and 26,000 subunits intact. The treatment with SDS and urea resulted in the splitting of the 96,000 subunits into 48,000 and 45,000 components, but this splitting was inhibited upon pretreatment with methylamine, suggesting the presence of a thiol ester bond in the 96,000 subunit. The amino acid composition of the XC revealed a striking resemblance to that of human C3 and C4. We therefore conclude that the 202,000 protein isolated in this study represents the C4 which plays an essential role in the classical haemolytic pathway.

摘要

分子量为202,000的蛋白质XC与C3不同,但对针对SRBC的抗体依赖性溶血活性至关重要。它是通过聚乙二醇沉淀、离子交换色谱和凝胶过滤从非洲爪蟾血浆中获得的。该蛋白质需要非洲爪蟾血清中的其他成分才能裂解致敏的SRBC,但不能通过替代途径裂解未致敏的RRBC。原始血浆中该蛋白质的含量为0.17 mg/ml,由96,000、76,000和26,000三个不同的亚基组成,这些亚基通过二硫键相连。胰蛋白酶消化导致96,000亚基的特异性裂解,并使其免疫电泳迁移率向阳极侧转变,而76,000和26,000亚基保持完整。SDS和尿素处理导致96,000亚基分裂为48,000和45,000成分,但这种分裂在甲胺预处理后受到抑制,这表明96,000亚基中存在硫酯键。XC的氨基酸组成与人类C3和C4的氨基酸组成惊人地相似。因此,我们得出结论,本研究中分离出的202,000蛋白质代表了在经典溶血途径中起重要作用的C4。

https://cdn.ncbi.nlm.nih.gov/pmc/blobs/e7a2/1453814/b1b09a7b3a53/immunology00189-0165-a.jpg

文献检索

告别复杂PubMed语法,用中文像聊天一样搜索,搜遍4000万医学文献。AI智能推荐,让科研检索更轻松。

立即免费搜索

文件翻译

保留排版,准确专业,支持PDF/Word/PPT等文件格式,支持 12+语言互译。

免费翻译文档

深度研究

AI帮你快速写综述,25分钟生成高质量综述,智能提取关键信息,辅助科研写作。

立即免费体验