Suppr超能文献

在zmm突变体中,MUS81依赖的交叉互换(CO)形成需要SRS2。

SRS2 is required for MUS81-dependent CO formation in zmm mutants.

作者信息

Petiot Valentine, Chéron Floriane, White Charles I, Da Ines Olivier

机构信息

Institut Génétique Reproduction et Développement (iGReD), Université Clermont Auvergne, UMR 6293 CNRS, U1103 INSERM, Clermont-Ferrand, France.

出版信息

PLoS Genet. 2025 Aug 7;21(8):e1011637. doi: 10.1371/journal.pgen.1011637. eCollection 2025 Aug.

Abstract

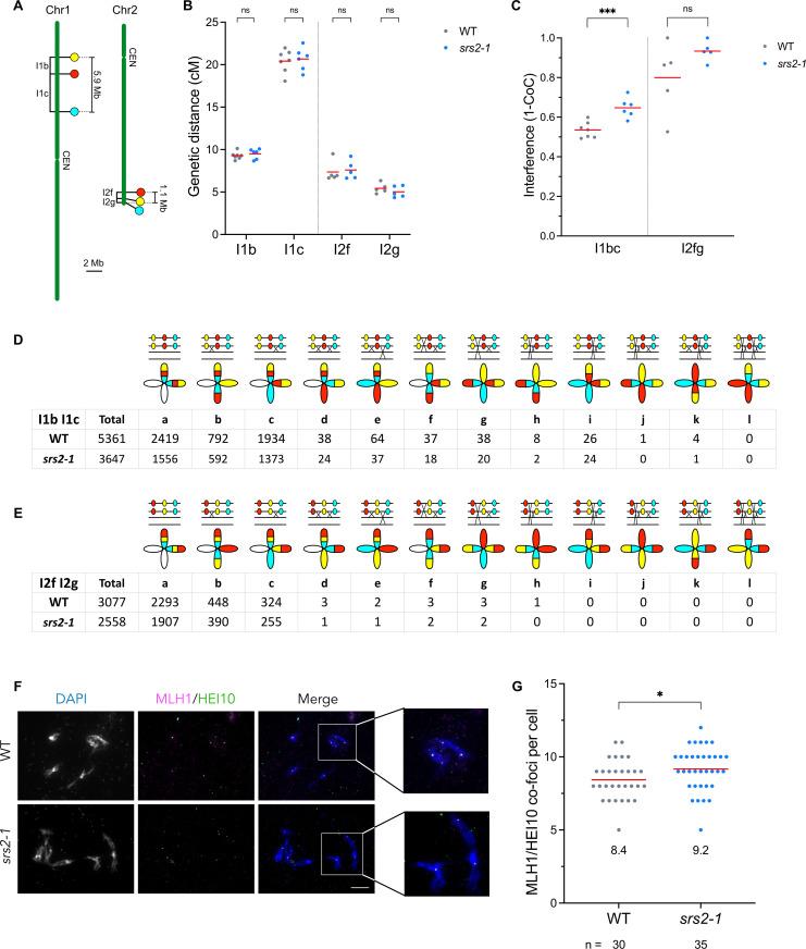
Helicases are enzymes that use the energy derived from ATP hydrolysis to translocate along and unwind nucleic acids. Accordingly, helicases are instrumental in maintaining genomic integrity and ensuring genetic diversity. Srs2 is a multi-functional DNA helicase that dismantles Rad51 nucleofilaments and regulates DNA strand invasion to prevent excessive or inappropriate homologous recombination in yeast. Consistently, the deletion of Srs2 has significant consequences for the maintenance of genome integrity in mitotic cells. In contrast, its role in meiotic recombination remains less clear. We present here substantial evidence that SRS2 plays an important role in meiotic recombination in the model plant Arabidopsis thaliana. Arabidopsis srs2 mutants exhibit moderate defects in DNA damage-induced RAD51 focus formation, but SRS2 is dispensable for DNA repair and RAD51-dependent recombination in somatic cells. Meiotic progression and fertility appear unaffected in srs2 plants but, strikingly, the absence of SRS2 leads to increased genetic interference accompanied by increased numbers of Class I COs and a reduction in MUS81-dependent Class II COs. We propose that SRS2 plays a role in MUS81-mediated resolution of a subset of recombination intermediates into Class II CO. The absence of SRS2 would thus lead to the alternative channeling of these recombination intermediates into the Class I CO pathway, resulting in an increased proportion of Class I CO.

摘要

解旋酶是一类利用ATP水解产生的能量沿核酸移动并使其解旋的酶。因此,解旋酶在维持基因组完整性和确保遗传多样性方面发挥着重要作用。Srs2是一种多功能DNA解旋酶,它能拆解Rad51核丝并调节DNA链入侵,以防止酵母中过度或不适当的同源重组。一致地,Srs2的缺失对有丝分裂细胞中基因组完整性的维持具有重大影响。相比之下,它在减数分裂重组中的作用仍不太清楚。我们在此提供了大量证据表明SRS2在模式植物拟南芥的减数分裂重组中发挥重要作用。拟南芥srs2突变体在DNA损伤诱导的RAD51焦点形成方面表现出中度缺陷,但SRS2对于体细胞中的DNA修复和RAD51依赖性重组是可有可无的。srs2植物的减数分裂进程和育性似乎未受影响,但令人惊讶的是,SRS2的缺失导致遗传干扰增加,同时I类交叉互换(CO)数量增加,而MUS81依赖性II类CO数量减少。我们提出SRS2在MUS81介导的一部分重组中间体转化为II类CO的过程中发挥作用。因此,SRS2的缺失会导致这些重组中间体通过替代途径进入I类CO途径,从而导致I类CO的比例增加。

https://cdn.ncbi.nlm.nih.gov/pmc/blobs/556e/12349706/fe1d9d686601/pgen.1011637.g001.jpg

文献AI研究员

20分钟写一篇综述,助力文献阅读效率提升50倍。

立即体验

用中文搜PubMed

大模型驱动的PubMed中文搜索引擎

马上搜索

文档翻译

学术文献翻译模型,支持多种主流文档格式。

立即体验