Suppr超能文献

抑制STING诱导的线粒体Drp1/N-GSDMD介导的线粒体DNA释放可减轻脓毒症诱导的肺损伤。

Inhibition of STING-induced mitochondrial Drp1/N-GSDMD-mediated MtDNA release alleviates Sepsis-induced lung injury.

作者信息

Zou Shishi, Zuo Yifan, Chen Yukai, Zhang Tianyu, Fu Tinglv, Li Guorui, Xiong Rui, Liu Bohao, Hu Yong, Hu Zhaoyu, Miao Chunguang, Wu Xiaojing, Li Ning, Geng Qing

机构信息

Department of Thoracic Surgery, Renmin Hospital of Wuhan University, Wuhan, 430060, China.

Department of Oncology, Renmin Hospital of Wuhan University, Wuhan, 430060, China.

出版信息

Cell Mol Life Sci. 2025 Aug 8;82(1):305. doi: 10.1007/s00018-025-05774-x.

Abstract

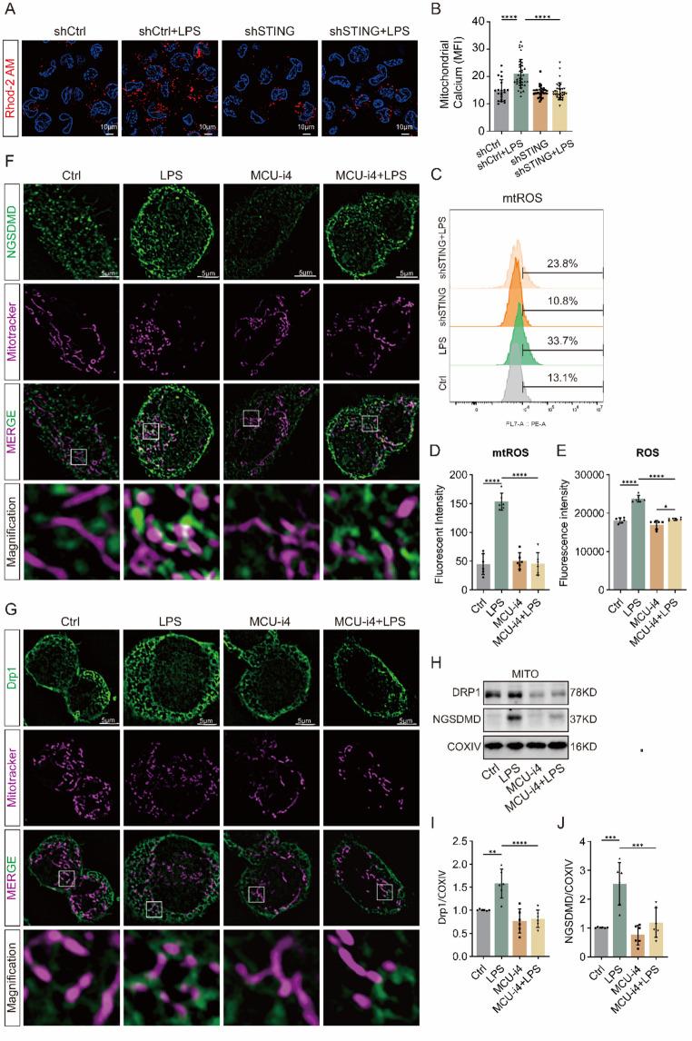
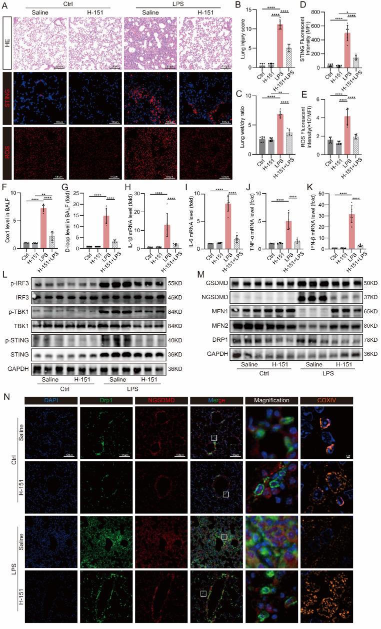
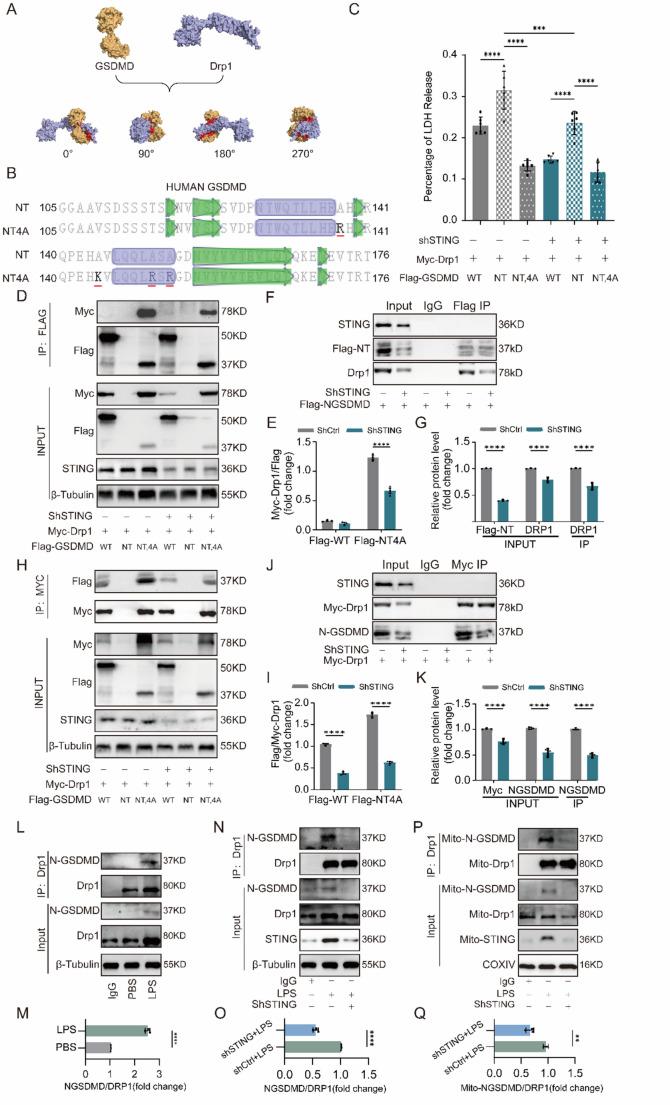
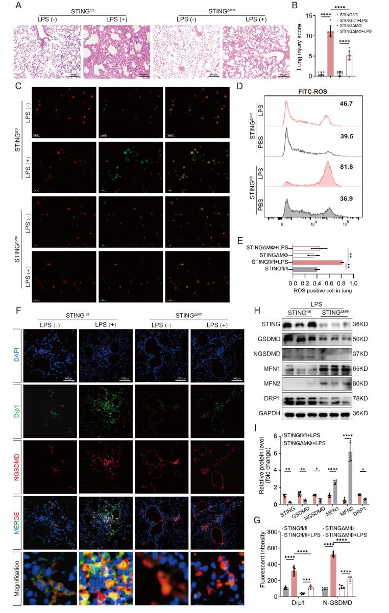
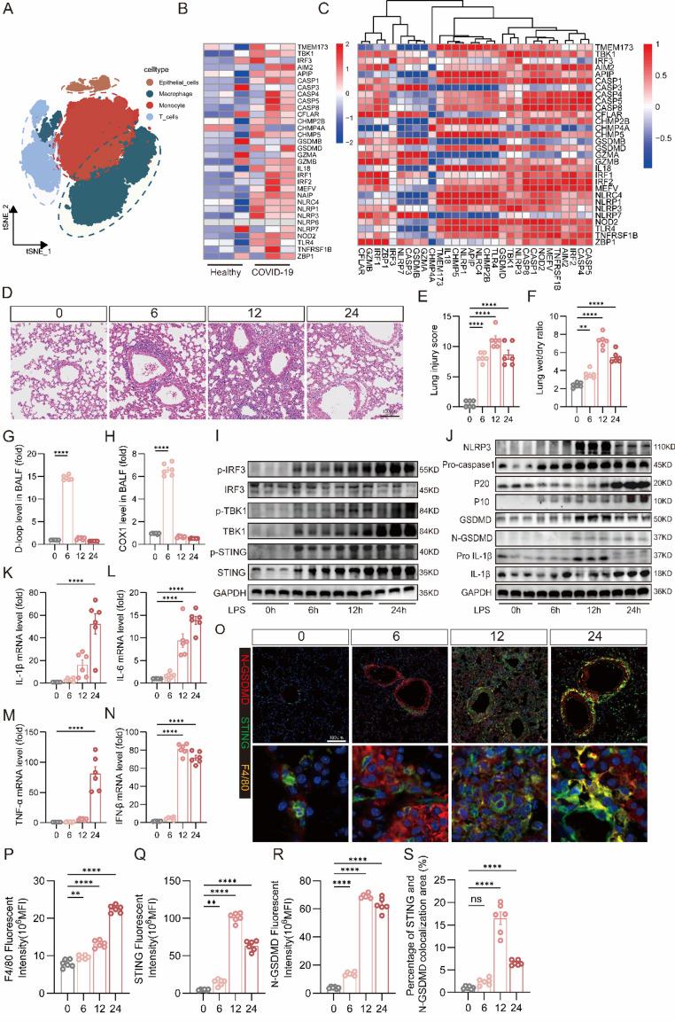
The stimulator of interferon genes (STING) pathway serves as a crucial nexus in inflammatory responses and cell death. Despite its role in Mitochondria-Endoplasmic Reticulum Contact (MERC), the mechanistic contributions to inflammatory outcomes remain poorly understood. In clinical acute respiratory distress syndrome (ARDS) models of COVID-19 infection and animal models of LPS-induced acute lung injury (ALI), the STING pathway is closely associated with the pyroptosis pathway. The macrophage STING-N-GSDMD-mtDNA positive feedback loop, upon LPS challenge, induces inflammatory responses and pyroptosis. The GSDMD inhibitor disulfiram (DSF) specifically abrogates the N-terminal portion of GSDMD anchored to the mitochondrial membrane. Furthermore, macrophage STING mediates the direct interaction between Drp1 and N-GSDMD on mitochondrial membrane by regulating mitochondrial calcium, linking mitochondrial fission to the induction of inflammatory responses. Targeting STING-mediated mitochondrial homeostasis, both genetically and pharmacologically, may play a protective role in preventing and treating sepsis-induced acute lung injury. Overall, our study posits that STING deficiency mitigates the cooperative interaction between N-GSDMD and Drp1 in mediating mitochondrial permeabilization and rupture following LPS challenge, paving the way for further investigations into inflammation and pyroptosis.

摘要

干扰素基因刺激因子(STING)通路是炎症反应和细胞死亡的关键枢纽。尽管其在线粒体-内质网接触(MERC)中发挥作用,但对炎症结果的机制性贡献仍知之甚少。在新冠病毒感染的临床急性呼吸窘迫综合征(ARDS)模型和脂多糖诱导的急性肺损伤(ALI)动物模型中,STING通路与焦亡通路密切相关。巨噬细胞的STING-N-GSDMD-线粒体DNA正反馈回路在受到脂多糖刺激后,会诱导炎症反应和焦亡。GSDMD抑制剂双硫仑(DSF)特异性地消除了锚定在线粒体膜上的GSDMD的N端部分。此外,巨噬细胞STING通过调节线粒体钙来介导Drp1与线粒体膜上的N-GSDMD之间的直接相互作用,将线粒体分裂与炎症反应的诱导联系起来。从基因和药理学角度靶向STING介导的线粒体稳态,可能在预防和治疗脓毒症诱导的急性肺损伤中发挥保护作用。总体而言,我们的研究认为,STING缺陷减轻了N-GSDMD与Drp1在脂多糖刺激后介导线粒体通透性和破裂方面的协同相互作用,为进一步研究炎症和焦亡铺平了道路。

https://cdn.ncbi.nlm.nih.gov/pmc/blobs/600c/12334783/8ced77429f0e/18_2025_5774_Fig1_HTML.jpg

文献检索

告别复杂PubMed语法,用中文像聊天一样搜索,搜遍4000万医学文献。AI智能推荐,让科研检索更轻松。

立即免费搜索

文件翻译

保留排版,准确专业,支持PDF/Word/PPT等文件格式,支持 12+语言互译。

免费翻译文档

深度研究

AI帮你快速写综述,25分钟生成高质量综述,智能提取关键信息,辅助科研写作。

立即免费体验