Suppr超能文献

阿戈美拉汀对多柔比星诱导的肝毒性的改善作用。

Ameliorative effects of agomelatine against doxorubicin-induced hepatotoxicity.

作者信息

Savas Hasan Basri, Sozen Mehmet Enes, Cuce Gokhan, Batur Tuba

机构信息

School of Medicine, Department of Medical Biochemistry, Mardin Artuklu University, Mardin, Turkey.

School of Medicine, Department of Histology and Embryology, Alanya Alaaddin Keykubat University, Antalya, Turkey.

出版信息

BMC Pharmacol Toxicol. 2025 Aug 8;26(1):146. doi: 10.1186/s40360-025-00988-y.

Abstract

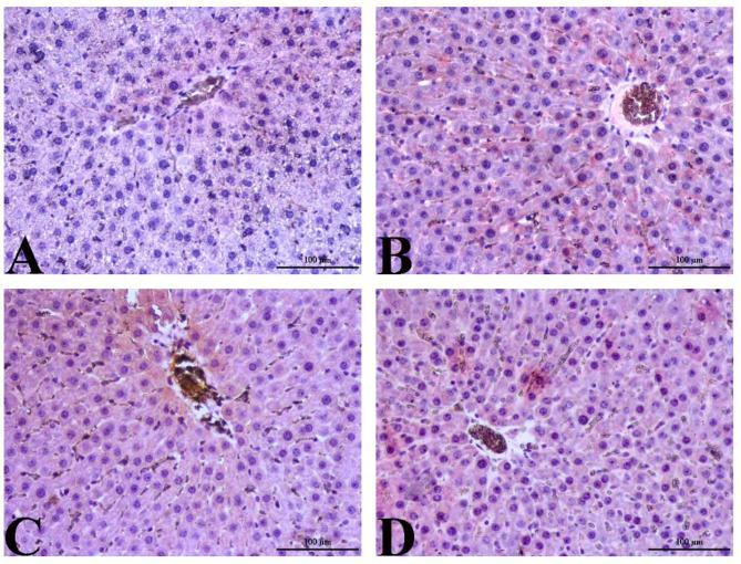
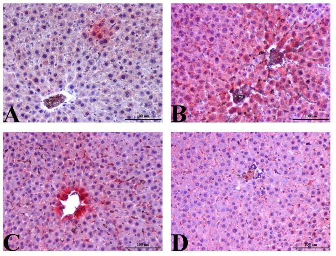
Drug-induced hepatotoxicity is a significant impediment to the use of doxorubicin, a commonly employed chemotherapeutic agent with established efficacy in cancer treatment. The present study aimed to determine the potential protective effects of agomelatine against doxorubicin hepatotoxicity in rat toxicity models. Thirty-two rats were divided into four groups: control (with saline administration), Doxo (with 40 mg/kg doxorubicin administration), Doxo + Ago20, and Doxo + Ago40 (with 20 and 40 mg/kg agomelatine administration and 40 mg/kg doxorubicin administration). On the day of 14 rats were sacrificed, samples were collected for comparison of immunohistochemical, hematological, and biochemical analysis. There were statistically significant differences between the study groups in terms of immunohistochemical, hematological, and biochemical parameters. Agomelatine administration reduced the TNF-alpha, and caspase-3, which increased by doxorubicin, and reversed levels of oxidative stress markers altered by doxorubicin (p < 0.05). Doxorubicin induces oxidative stress, apoptosis, and hepatotoxicity. Agomelatine may be favored as a primary antidepressant to mitigate hepatic damage induced by doxorubicin.

摘要

药物性肝毒性是使用阿霉素的一个重大障碍,阿霉素是一种常用的化疗药物,在癌症治疗中已证实具有疗效。本研究旨在确定阿戈美拉汀在大鼠毒性模型中对阿霉素肝毒性的潜在保护作用。将32只大鼠分为四组:对照组(给予生理盐水)、阿霉素组(给予40mg/kg阿霉素)、阿霉素+阿戈美拉汀20组和阿霉素+阿戈美拉汀40组(分别给予20mg/kg和40mg/kg阿戈美拉汀以及40mg/kg阿霉素)。在第14天处死14只大鼠,采集样本用于免疫组织化学、血液学和生化分析的比较。研究组在免疫组织化学、血液学和生化参数方面存在统计学显著差异。给予阿戈美拉汀可降低由阿霉素升高的肿瘤坏死因子-α和半胱天冬酶-3,并逆转由阿霉素改变的氧化应激标志物水平(p<0.05)。阿霉素会诱导氧化应激、细胞凋亡和肝毒性。阿戈美拉汀可能作为一种主要的抗抑郁药,有利于减轻阿霉素诱导的肝损伤。

https://cdn.ncbi.nlm.nih.gov/pmc/blobs/de98/12333101/333917f735b4/40360_2025_988_Fig1_HTML.jpg

文献AI研究员

20分钟写一篇综述,助力文献阅读效率提升50倍。

立即体验

用中文搜PubMed

大模型驱动的PubMed中文搜索引擎

马上搜索

文档翻译

学术文献翻译模型,支持多种主流文档格式。

立即体验