Suppr超能文献

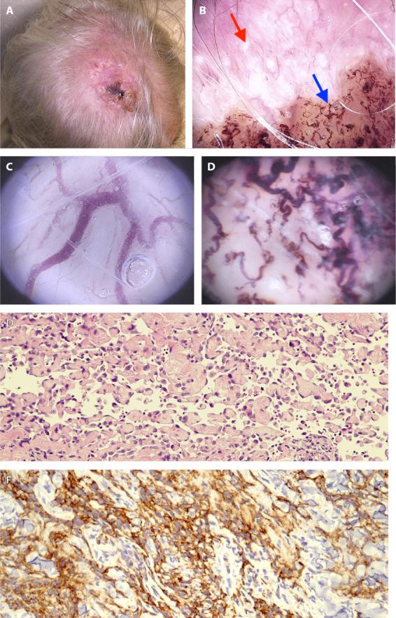
Cutaneous Angiosarcoma Mimics Basal Cell Carcinoma: Utility of Optical Super-High Magnification Dermoscopy in Differential Diagnosis.

作者信息

Guida Stefania, Bigotto Gianmarco Diego, Stabile Giorgio, Brunetti Antonio Podo, Rizzo Nathalie, Rongioletti Franco

机构信息

School of Medicine, Vita-Salute San Raffaele University, Milan, Italy.

Dermatology Clinic, IRCCS San Raffaele Hospital, Milan, Italy.

出版信息

Dermatol Pract Concept. 2025 Jul 31;15(3):5296. doi: 10.5826/dpc.1503a5296.

Abstract
摘要
https://cdn.ncbi.nlm.nih.gov/pmc/blobs/ad63/12339127/21d63f7ede13/dp1503a5296g001.jpg

文献AI研究员

20分钟写一篇综述,助力文献阅读效率提升50倍。

立即体验

用中文搜PubMed

大模型驱动的PubMed中文搜索引擎

马上搜索

文档翻译

学术文献翻译模型,支持多种主流文档格式。

立即体验