Suppr超能文献

一例由阿立哌唑和苯海索导致巨大粪石性结肠病继发粪块阻塞:病例报告

A giant fecaloma causing stercoral colitis secondary to aripiprazole and benztropine: A case report.

作者信息

Abbarh Shahem, Albuni Mhd Kutaiba, Irshad Misbah, Hajjar Adnan Humam, Sawaf Bisher, Al-Ejji Khalid

机构信息

Department of Internal Medicine, Hamad Medical Corporation, Doha, Qatar.

Department of Internal Medicine, Trihealth Good Samaritan Hospital, Cincinnati, OH, USA.

出版信息

Qatar Med J. 2025 Jul 5;2025(2):58. doi: 10.5339/qmj.2025.58. eCollection 2025.

Abstract

BACKGROUND

Fecaloma is a mass of hardened feces impacted in the rectum and sigmoid. When the colonic mucosal wall and vasculature are compressed, stercoral colitis, a rare type of inflammatory colitis, may occur. Despite being connected to psychiatric patients and antipsychotic medications in the literature, fecaloma remains a significant, yet often overlooked, cause of morbidity and mortality in this population.

CASE PRESENTATION

A 43-year-old patient with schizophrenia being treated with aripiprazole and benztropine lost follow-up and eventually presented to the emergency department with a giant fecaloma and associated stercoral colitis. She was managed with oral and rectal laxatives and supportive therapy. Additionally, aripiprazole was discontinued.

DISCUSSION

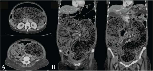
Antipsychotics have been associated with constipation, fecaloma, and stercoral colitis due to their anticholinergic properties. Benztropine, an antimuscarinic drug commonly used in psychiatric patients to alleviate extrapyramidal symptoms, may further decrease gastrointestinal mobility. Fecaloma and associated stercoral colitis are often diagnosed via imaging, typically a computed tomography scan of the abdomen. Management depends on the severity and generally ranges from conservative treatment to surgical options.

CONCLUSION

This case describes a schizophrenic patient undergoing treatment with aripiprazole and benztropine who presented with constipation and was diagnosed with a giant fecaloma complicated by stercoral colitis. The patient was managed successfully with aggressive laxatives and discontinuation of aripiprazole. Early recognition and prompt management of fecaloma are essential to mitigate associated complications. In addition, it is important to recognize risk factors for constipation and regularly review home medications, such as antipsychotics, that may cause constipation as a side effect.

摘要

背景

粪石是指积聚在直肠和乙状结肠的硬结粪便团块。当结肠黏膜壁和血管受到压迫时,可能会发生一种罕见的炎症性结肠炎——粪性结肠炎。尽管在文献中粪石与精神科患者及抗精神病药物有关,但它仍然是该人群发病和死亡的一个重要但常被忽视的原因。

病例介绍

一名43岁的精神分裂症患者正在接受阿立哌唑和苯海索治疗,失去随访后最终因巨大粪石及相关粪性结肠炎就诊于急诊科。她接受了口服和直肠泻药治疗及支持治疗。此外,停用了阿立哌唑。

讨论

抗精神病药物因其抗胆碱能特性与便秘、粪石和粪性结肠炎有关。苯海索是一种常用于精神科患者以缓解锥体外系症状的抗毒蕈碱药物,可能会进一步降低胃肠蠕动。粪石及相关粪性结肠炎通常通过影像学检查诊断,典型的是腹部计算机断层扫描。治疗取决于严重程度,一般从保守治疗到手术选择。

结论

本病例描述了一名接受阿立哌唑和苯海索治疗的精神分裂症患者,出现便秘并被诊断为巨大粪石并发粪性结肠炎。该患者通过积极使用泻药和停用阿立哌唑成功治愈。早期识别和及时处理粪石对于减轻相关并发症至关重要。此外,认识到便秘的危险因素并定期复查可能导致便秘副作用的家庭用药,如抗精神病药物,也很重要。

https://cdn.ncbi.nlm.nih.gov/pmc/blobs/6627/12338109/107f4a45c968/qmj-2025-02-058-g001.jpg

文献检索

告别复杂PubMed语法,用中文像聊天一样搜索,搜遍4000万医学文献。AI智能推荐,让科研检索更轻松。

立即免费搜索

文件翻译

保留排版,准确专业,支持PDF/Word/PPT等文件格式,支持 12+语言互译。

免费翻译文档

深度研究

AI帮你快速写综述,25分钟生成高质量综述,智能提取关键信息,辅助科研写作。

立即免费体验