Suppr超能文献

参芪苷提取物通过调节炎症因子、免疫球蛋白和短链脂肪酸修复断奶应激仔猪的肠道屏障。

ShenQiGan Extract Repairs Intestinal Barrier in Weaning-Stressed Piglets by Modulating Inflammatory Factors, Immunoglobulins, and Short-Chain Fatty Acids.

作者信息

Guo Rongxia, Jiang Chenghui, Niu Yanlong, Niu Chun, Chen Baoxia, Yuan Ziwen, Hua Yongli, Wei Yanming

机构信息

College of Veterinary Medicine, Gansu Agricultural University, Lanzhou 730070, China.

出版信息

Animals (Basel). 2025 Jul 28;15(15):2218. doi: 10.3390/ani15152218.

Abstract

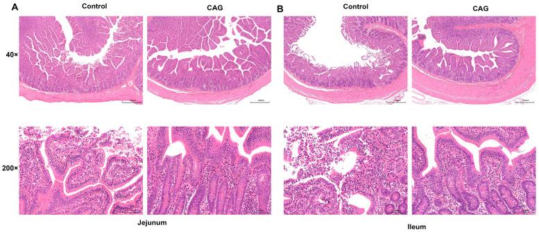
Weaning stress damages the intestines and disrupts the intestinal barrier in piglets, which significantly impacts the pig farming industry's economy. We aimed to examine the effects of ShenQiGan extract (CAG) on intestinal barrier function and explore the underlying molecular mechanisms in stress-challenged weaned piglets. The experimental design involved 80 weaned piglets aged 28 days (with an average body weight of 7.78 ± 0.074 kg) that were randomly allocated into four groups: Control, LCAG (0.1% CAG), MCAG (0.5% CAG), and HCAG (1.0% CAG). After a 28-day trial period, the growth performance and incidence of diarrhea in piglets were evaluated. CAG increased the average daily gain of weaned piglets, reduced the feed-to-gain ratio, and decreased the incidence of diarrhea. It significantly lowered serum inflammatory cytokine levels while elevating immunoglobulin levels. The supplement notably enhanced concentrations of acetic acid, propionic acid, butyric acid, and isobutyric acid. Furthermore, CAG demonstrated intestinal morphology restoration and upregulation of tight junction proteins and MUC2 protein expression in jejunum. At the mRNA level, it significantly upregulated the expression of Occludin, Claudin1, and MUC2 genes. CAG improves growth performance and mitigates diarrhea in weaned piglets by enhancing intestinal barrier integrity, modulating systemic inflammatory responses, elevating immunoglobulin levels, and promoting short-chain fatty acids (SCFAs) production in the cecum.

摘要

断奶应激会损害仔猪肠道并破坏肠道屏障,这对养猪业的经济产生重大影响。我们旨在研究参芪甘提取物(CAG)对肠道屏障功能的影响,并探讨其在应激断奶仔猪中的潜在分子机制。实验设计包括80头28日龄的断奶仔猪(平均体重7.78±0.074千克),随机分为四组:对照组、低剂量CAG组(0.1% CAG)、中剂量CAG组(0.5% CAG)和高剂量CAG组(1.0% CAG)。经过28天的试验期后,评估仔猪的生长性能和腹泻发生率。CAG提高了断奶仔猪的平均日增重,降低了料重比,并降低了腹泻发生率。它显著降低了血清炎症细胞因子水平,同时提高了免疫球蛋白水平。该补充剂显著提高了乙酸、丙酸、丁酸和异丁酸的浓度。此外,CAG使空肠的肠道形态得到恢复,并上调了紧密连接蛋白和MUC2蛋白的表达。在mRNA水平上,它显著上调了Occludin、Claudin1和MUC2基因的表达。CAG通过增强肠道屏障完整性、调节全身炎症反应、提高免疫球蛋白水平以及促进盲肠中短链脂肪酸(SCFAs)的产生,改善断奶仔猪的生长性能并减轻腹泻。

https://cdn.ncbi.nlm.nih.gov/pmc/blobs/2b42/12345433/487fedda72ea/animals-15-02218-g001.jpg

文献AI研究员

20分钟写一篇综述,助力文献阅读效率提升50倍。

立即体验

用中文搜PubMed

大模型驱动的PubMed中文搜索引擎

马上搜索

文档翻译

学术文献翻译模型,支持多种主流文档格式。

立即体验