• 文献检索
  • 文档翻译
  • 深度研究
  • 学术资讯
  • Suppr Zotero 插件Zotero 插件
  • 邀请有礼
  • 套餐&价格
  • 历史记录
应用&插件
Suppr Zotero 插件Zotero 插件浏览器插件Mac 客户端Windows 客户端微信小程序
定价
高级版会员购买积分包购买API积分包
服务
文献检索文档翻译深度研究API 文档MCP 服务
关于我们
关于 Suppr公司介绍联系我们用户协议隐私条款
关注我们

Suppr 超能文献

核心技术专利:CN118964589B侵权必究
粤ICP备2023148730 号-1Suppr @ 2026

文献检索

告别复杂PubMed语法,用中文像聊天一样搜索,搜遍4000万医学文献。AI智能推荐,让科研检索更轻松。

立即免费搜索

文件翻译

保留排版,准确专业,支持PDF/Word/PPT等文件格式,支持 12+语言互译。

免费翻译文档

深度研究

AI帮你快速写综述,25分钟生成高质量综述,智能提取关键信息,辅助科研写作。

立即免费体验

预测心脏再同步治疗反应的生存能力测试

Viability Test in Prediction of Response to Cardiac Resynchronization Therapy.

作者信息

Grozdic Milojevic Isidora, Radovanovic Nikola N, Petrovic Jelena, Sobic-Saranovic Dragana, Artiko Vera

机构信息

Center for Nuclear Medicine and PET, University Clinical Center of Serbia, 11000 Belgrade, Serbia.

Faculty of Medicine, University Belgrade, 11000 Belgrade, Serbia.

出版信息

J Clin Med. 2025 Jul 29;14(15):5341. doi: 10.3390/jcm14155341.

DOI:10.3390/jcm14155341
PMID:40806963
原文链接:https://pmc.ncbi.nlm.nih.gov/articles/PMC12347201/
Abstract

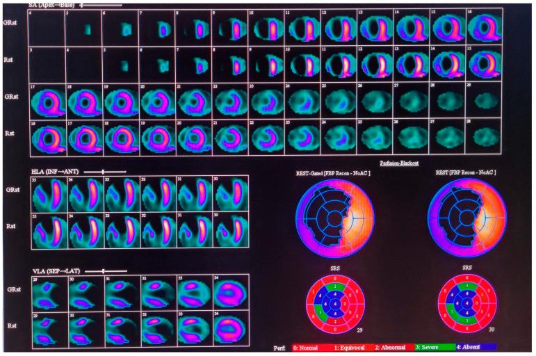
: This study aimed to evaluate myocardial scar burden and distribution, as well as other nuclear imaging parameters, in predicting cardiac resynchronization therapy (CRT) responses and long-term outcomes in patients selected for CRT with ischemic HF etiology. : Seventy-one patients were prospectively included. They all had NYHA class II/III despite optimal medical therapy, LVEF ≤ 35%, wide QRS complexes, and ischemic HF etiology. All were indicated for de novo CRT implantation and underwent a SPECT MPI viability test prior to CRT implantation. Two-dimensional echocardiography was performed one day before CRT implantation and 6 months after the intervention. The follow-up examination was conducted six months after the CRT implantation and, after 5 years, patients underwent a telephone follow-up to assess survival. : Most patients (85%) were male, with an average age of 66.26 ± 9.25 yrs. SPECT MPI revealed large myocardial scars (44.53 ± 20.94%) with high summed rest scores (SRSs) of 25.02 ± 11.29 and low EFs of 26.67 ± 7.71%. At the 6-month follow-up, after the CRT implantation, the NYHA class significantly changed and 35% of the patients were classified as CRT responders. The only difference between responders and non-responders was in the SRS and myocardial scar size ( < 0.001). A scar size of 19.5% was an optimal cutoff for the prediction of CRT response (AUC 0.853, Sn 85% and 1-sp 94%). : SPECT MPI parameters are valuable in predicting responses and long-term survival in patients with CRT. Patients with myocardial scars of less than 19.5% may be suited to CRT and experience better cardiovascular survival.

摘要

本研究旨在评估心肌瘢痕负荷及分布,以及其他核成像参数,以预测缺血性心力衰竭病因且入选心脏再同步治疗(CRT)的患者的CRT反应及长期预后。前瞻性纳入71例患者。尽管接受了最佳药物治疗,但他们均为纽约心脏协会(NYHA)心功能II/III级,左心室射血分数(LVEF)≤35%,QRS波群增宽,且为缺血性心力衰竭病因。所有患者均适合首次CRT植入,并在CRT植入前接受了单光子发射计算机断层扫描心肌灌注显像(SPECT MPI)存活测试。在CRT植入前一天和干预后6个月进行二维超声心动图检查。在CRT植入后6个月进行随访检查,5年后,患者接受电话随访以评估生存率。大多数患者(85%)为男性,平均年龄为66.26±9.25岁。SPECT MPI显示存在大面积心肌瘢痕(44.53±20.94%),静息总分(SRS)较高,为25.02±11.29,EF较低,为26.67±7.71%。在CRT植入后的6个月随访中,NYHA心功能分级显著改变,35%的患者被归类为CRT反应者。反应者与无反应者之间的唯一差异在于SRS和心肌瘢痕大小(<0.001)。瘢痕大小为19.5%是预测CRT反应的最佳截断值(曲线下面积[AUC]为0.853,敏感度[Sn]为85%,1-特异度[1-sp]为94%)。SPECT MPI参数在预测CRT患者的反应及长期生存方面具有重要价值。心肌瘢痕小于19.5%的患者可能适合CRT,并具有更好的心血管生存率。

https://cdn.ncbi.nlm.nih.gov/pmc/blobs/2a04/12347201/bdf3b7896912/jcm-14-05341-g003.jpg
https://cdn.ncbi.nlm.nih.gov/pmc/blobs/2a04/12347201/b4c1cda50e1e/jcm-14-05341-g001.jpg
https://cdn.ncbi.nlm.nih.gov/pmc/blobs/2a04/12347201/bde0f9576926/jcm-14-05341-sch001.jpg
https://cdn.ncbi.nlm.nih.gov/pmc/blobs/2a04/12347201/37ac6d306cb5/jcm-14-05341-g002.jpg
https://cdn.ncbi.nlm.nih.gov/pmc/blobs/2a04/12347201/bdf3b7896912/jcm-14-05341-g003.jpg
https://cdn.ncbi.nlm.nih.gov/pmc/blobs/2a04/12347201/b4c1cda50e1e/jcm-14-05341-g001.jpg
https://cdn.ncbi.nlm.nih.gov/pmc/blobs/2a04/12347201/bde0f9576926/jcm-14-05341-sch001.jpg
https://cdn.ncbi.nlm.nih.gov/pmc/blobs/2a04/12347201/37ac6d306cb5/jcm-14-05341-g002.jpg
https://cdn.ncbi.nlm.nih.gov/pmc/blobs/2a04/12347201/bdf3b7896912/jcm-14-05341-g003.jpg

相似文献

1
Viability Test in Prediction of Response to Cardiac Resynchronization Therapy.预测心脏再同步治疗反应的生存能力测试
J Clin Med. 2025 Jul 29;14(15):5341. doi: 10.3390/jcm14155341.
2
Prescription of Controlled Substances: Benefits and Risks管制药品的处方:益处与风险
3
The clinical effectiveness and cost-effectiveness of cardiac resynchronisation (biventricular pacing) for heart failure: systematic review and economic model.心脏再同步治疗(双心室起搏)用于心力衰竭的临床疗效及成本效益:系统评价与经济学模型
Health Technol Assess. 2007 Nov;11(47):iii-iv, ix-248. doi: 10.3310/hta11470.
4
Early occurrence of heart failure hospitalization or ventricular arrhythmia re-define the long-term prognosis after CRT.心力衰竭住院或室性心律失常的早期发生重新定义了心脏再同步治疗后的长期预后。
ESC Heart Fail. 2025 Aug;12(4):2780-2790. doi: 10.1002/ehf2.15274. Epub 2025 Mar 19.
5
The Black Book of Psychotropic Dosing and Monitoring.《精神药物剂量与监测黑皮书》
Psychopharmacol Bull. 2024 Jul 8;54(3):8-59.
6
Association of Cardiac Resynchronization Therapy With Change in Left Ventricular Ejection Fraction in Patients With Chemotherapy-Induced Cardiomyopathy.心脏再同步治疗与化疗诱导性心肌病患者左心室射血分数变化的关系。
JAMA. 2019 Nov 12;322(18):1799-1805. doi: 10.1001/jama.2019.16658.
7
Implantable cardioverter defibrillators for the treatment of arrhythmias and cardiac resynchronisation therapy for the treatment of heart failure: systematic review and economic evaluation.用于治疗心律失常的植入式心脏复律除颤器和用于治疗心力衰竭的心脏再同步治疗:系统评价与经济学评估
Health Technol Assess. 2014 Aug;18(56):1-560. doi: 10.3310/hta18560.
8
Are Current Survival Prediction Tools Useful When Treating Subsequent Skeletal-related Events From Bone Metastases?当前的生存预测工具在治疗骨转移后的骨骼相关事件时有用吗?
Clin Orthop Relat Res. 2024 Sep 1;482(9):1710-1721. doi: 10.1097/CORR.0000000000003030. Epub 2024 Mar 22.
9
Comparison of Two Modern Survival Prediction Tools, SORG-MLA and METSSS, in Patients With Symptomatic Long-bone Metastases Who Underwent Local Treatment With Surgery Followed by Radiotherapy and With Radiotherapy Alone.两种现代生存预测工具 SORG-MLA 和 METSSS 在接受手术联合放疗和单纯放疗治疗有症状长骨转移患者中的比较。
Clin Orthop Relat Res. 2024 Dec 1;482(12):2193-2208. doi: 10.1097/CORR.0000000000003185. Epub 2024 Jul 23.
10
Intravenous magnesium sulphate and sotalol for prevention of atrial fibrillation after coronary artery bypass surgery: a systematic review and economic evaluation.静脉注射硫酸镁和索他洛尔预防冠状动脉搭桥术后房颤:系统评价与经济学评估
Health Technol Assess. 2008 Jun;12(28):iii-iv, ix-95. doi: 10.3310/hta12280.

本文引用的文献

1
Recent Advances in Cardiac Resynchronization Therapy: Current Treatment and Future Direction.心脏再同步治疗的最新进展:当前治疗方法与未来方向
J Clin Med. 2025 Jan 29;14(3):889. doi: 10.3390/jcm14030889.
2
Coronary Plaque Radiomic Phenotypes Predict Fatal or Nonfatal Myocardial Infarction: Analysis of the SCOT-HEART Trial.冠状动脉斑块放射组学表型预测致命或非致命性心肌梗死:SCOT-HEART试验分析
JACC Cardiovasc Imaging. 2025 Mar;18(3):308-319. doi: 10.1016/j.jcmg.2024.08.012. Epub 2024 Oct 30.
3
Cardiac Magnetic Resonance Identifies Responders to Cardiac Resynchronization Therapy with an Assessment of Septal Scar and Left Ventricular Dyssynchrony.
心脏磁共振成像通过评估室间隔瘢痕和左心室不同步性来识别心脏再同步治疗的反应者。
J Clin Med. 2023 Nov 20;12(22):7182. doi: 10.3390/jcm12227182.
4
Myocardial Perfusion SPECT Imaging Radiomic Features and Machine Learning Algorithms for Cardiac Contractile Pattern Recognition.心肌灌注 SPECT 成像的放射组学特征及机器学习算法在心脏收缩模式识别中的应用。
J Digit Imaging. 2023 Apr;36(2):497-509. doi: 10.1007/s10278-022-00705-9. Epub 2022 Nov 14.
5
Predicting obstructive coronary artery disease in heart failure with reduced ejection fraction: A practical clinical score.预测射血分数降低的心力衰竭患者的阻塞性冠状动脉疾病:一种实用的临床评分
Rev Port Cardiol. 2023 Jan;42(1):21-28. doi: 10.1016/j.repc.2021.09.020. Epub 2022 Sep 14.
6
2022 AHA/ACC/HFSA Guideline for the Management of Heart Failure: A Report of the American College of Cardiology/American Heart Association Joint Committee on Clinical Practice Guidelines.2022年美国心脏协会/美国心脏病学会/美国心力衰竭学会心力衰竭管理指南:美国心脏病学会/美国心脏协会临床实践指南联合委员会报告
Circulation. 2022 May 3;145(18):e895-e1032. doi: 10.1161/CIR.0000000000001063. Epub 2022 Apr 1.
7
Comparison of radiation dose and its correlates between coronary computed tomography angiography and invasive coronary angiography in Northeastern Thailand.泰国东北部地区冠状动脉计算机断层扫描血管造影与有创冠状动脉造影辐射剂量及其相关因素的比较。
Egypt Heart J. 2022 Jan 25;74(1):6. doi: 10.1186/s43044-022-00241-5.
8
2021 ESC Guidelines on cardiac pacing and cardiac resynchronization therapy.2021年欧洲心脏病学会心脏起搏与心脏再同步治疗指南。
Eur Heart J. 2021 Sep 14;42(35):3427-3520. doi: 10.1093/eurheartj/ehab364.
9
Incremental value of left ventricular shape parameters measured by gated SPECT MPI in predicting the super-response to CRT.门控 SPECT MPI 测量的左心室形态参数对预测 CRT 超级反应的增量价值。
J Nucl Cardiol. 2022 Aug;29(4):1537-1546. doi: 10.1007/s12350-020-02469-7. Epub 2021 Jan 27.
10
Mechanical dyssynchrony and super-response to CRT.机械性不同步与心脏再同步治疗的超反应
J Nucl Cardiol. 2022 Jun;29(3):1175-1177. doi: 10.1007/s12350-020-02453-1. Epub 2021 Jan 5.