• 文献检索
  • 文档翻译
  • 深度研究
  • 学术资讯
  • Suppr Zotero 插件Zotero 插件
  • 邀请有礼
  • 套餐&价格
  • 历史记录
应用&插件
Suppr Zotero 插件Zotero 插件浏览器插件Mac 客户端Windows 客户端微信小程序
定价
高级版会员购买积分包购买API积分包
服务
文献检索文档翻译深度研究API 文档MCP 服务
关于我们
关于 Suppr公司介绍联系我们用户协议隐私条款
关注我们

Suppr 超能文献

核心技术专利:CN118964589B侵权必究
粤ICP备2023148730 号-1Suppr @ 2026

文献检索

告别复杂PubMed语法,用中文像聊天一样搜索,搜遍4000万医学文献。AI智能推荐,让科研检索更轻松。

立即免费搜索

文件翻译

保留排版,准确专业,支持PDF/Word/PPT等文件格式,支持 12+语言互译。

免费翻译文档

深度研究

AI帮你快速写综述,25分钟生成高质量综述,智能提取关键信息,辅助科研写作。

立即免费体验

绘制心智图谱:青少年女性神经性厌食症人格病理学的灰质特征在治疗过程中持续存在。

Mapping the Mind: Gray Matter Signatures of Personality Pathology in Female Adolescent Anorexia Nervosa Persist Through Treatment.

作者信息

Lenhart Lukas, Gander Manuela, Steiger Ruth, Dabkowska-Mika Agnieszka, Galijasevic Malik, Mangesius Stephanie, Fuchs Martin, Sevecke Kathrin, Gizewski Elke R

机构信息

Department of Radiology, Medical University of Innsbruck, Anichstrasse 35, A-6020 Innsbruck, Austria.

Neuroimaging Research Core Facility, Medical University of Innsbruck, Anichstrasse 35, A-6020 Innsbruck, Austria.

出版信息

J Clin Med. 2025 Aug 1;14(15):5438. doi: 10.3390/jcm14155438.

DOI:10.3390/jcm14155438
PMID:40807058
原文链接:https://pmc.ncbi.nlm.nih.gov/articles/PMC12347840/
Abstract

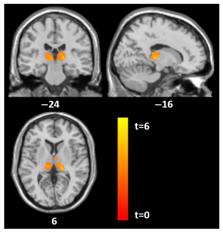
: Comorbid personality disorders (PDs) in patients with anorexia nervosa (AN) are associated with increased psychopathology, higher suicide risk, and poorer treatment response and outcomes. This study aimed to examine associations between gray matter (GM) volume and PDs in female adolescents with AN before and after short-term psychotherapeutic and nutritional therapy. : Eighteen female adolescents with acute AN, mean age 15.9 years, underwent 3T magnetic resonance imaging before and after weight restoration. The average interval between scans was 2.6 months. Structural brain changes were analyzed using voxel-based morphometry. PDs were assessed using the Structured Clinical Interview for DSM-IV Axis II Disorders (SCID II) and the Assessment of Identity Development Questionnaire. : SCID-II total scores showed significant positive associations with GM volume in the mid-cingulate cortex at both time points and in the left superior parietal-occipital lobule at baseline. The histrionic subscale correlated with GM volume in the thalamus bilaterally and the left superior parietal-occipital lobule in both assessments, as well as with the mid-cingulate cortex at follow-up. Borderline and antisocial subscales were associated with GM volume in the thalamus bilaterally at baseline and in the right mid-cingulate cortex at follow-up. : PDs in female adolescent patients with AN may be specifically related to GM alterations in the thalamus, cingulate, and parieto-occipital regions, which are present during acute illness and persist after weight restoration therapy.

摘要

神经性厌食症(AN)患者的共病性人格障碍(PDs)与精神病理学增加、自杀风险升高以及治疗反应和结果较差有关。本研究旨在探讨短期心理治疗和营养治疗前后,患有AN的女性青少年的灰质(GM)体积与PDs之间的关联。18名患有急性AN的女性青少年,平均年龄15.9岁,在体重恢复前后接受了3T磁共振成像检查。两次扫描的平均间隔时间为2.6个月。使用基于体素的形态计量学分析大脑结构变化。使用《精神疾病诊断与统计手册》第四版轴II障碍的结构化临床访谈(SCID II)和身份发展评估问卷对PDs进行评估。SCID-II总分在两个时间点均与扣带回中部的GM体积以及基线时左侧顶上枕叶的GM体积呈显著正相关。在两次评估中,表演型分量表均与双侧丘脑以及左侧顶上枕叶的GM体积相关,并且在随访时与扣带回中部相关。边缘型和反社会型分量表在基线时与双侧丘脑的GM体积相关,在随访时与右侧扣带回中部的GM体积相关。患有AN的女性青少年患者的PDs可能与丘脑、扣带回和顶枕叶区域的GM改变特别相关,这些改变在急性疾病期间存在,并在体重恢复治疗后持续存在。

https://cdn.ncbi.nlm.nih.gov/pmc/blobs/de1d/12347840/4b1c534bde83/jcm-14-05438-g002.jpg
https://cdn.ncbi.nlm.nih.gov/pmc/blobs/de1d/12347840/a745c7b99ebe/jcm-14-05438-g001.jpg
https://cdn.ncbi.nlm.nih.gov/pmc/blobs/de1d/12347840/4b1c534bde83/jcm-14-05438-g002.jpg
https://cdn.ncbi.nlm.nih.gov/pmc/blobs/de1d/12347840/a745c7b99ebe/jcm-14-05438-g001.jpg
https://cdn.ncbi.nlm.nih.gov/pmc/blobs/de1d/12347840/4b1c534bde83/jcm-14-05438-g002.jpg

相似文献

1
Mapping the Mind: Gray Matter Signatures of Personality Pathology in Female Adolescent Anorexia Nervosa Persist Through Treatment.绘制心智图谱:青少年女性神经性厌食症人格病理学的灰质特征在治疗过程中持续存在。
J Clin Med. 2025 Aug 1;14(15):5438. doi: 10.3390/jcm14155438.
2
Prescription of Controlled Substances: Benefits and Risks管制药品的处方:益处与风险
3
Tobacco Smoking and Gray Matter Volume in Individuals at Clinical High Risk for Psychosis: A Longitudinal Magnetic Resonance Imaging Study.精神病临床高危个体的吸烟与灰质体积:一项纵向磁共振成像研究
Biol Psychiatry Glob Open Sci. 2025 May 27;5(5):100539. doi: 10.1016/j.bpsgos.2025.100539. eCollection 2025 Sep.
4
Digital augmentation of aftercare for patients with anorexia nervosa: the TRIANGLE RCT and economic evaluation.神经性厌食症患者后期护理的数字化增强:TRIANGLE随机对照试验及经济评估
Health Technol Assess. 2025 Jul;29(31):1-162. doi: 10.3310/ADLS3672.
5
Morphological analysis and functional connectivity of the insular in patients with dysphagia after cerebral infarction based on resting-state fMRI.基于静息态功能磁共振成像的脑梗死后吞咽障碍患者脑岛的形态学分析及功能连接
BMC Neurol. 2025 Jul 30;25(1):307. doi: 10.1186/s12883-025-04322-1.
6
Energy expenditure during nutritional rehabilitation: a scoping review to investigate hypermetabolism in individuals with anorexia nervosa.营养康复期间的能量消耗:一项关于神经性厌食症患者高代谢的范围综述。
J Eat Disord. 2024 May 21;12(1):63. doi: 10.1186/s40337-024-01019-7.
7
Particulate Air Pollutants, Brain Structure, and Neurocognitive Disorders in Older Women.老年女性中的空气颗粒物污染物、脑结构与神经认知障碍
Res Rep Health Eff Inst. 2017 Oct;2017(193):1-65.
8
The Black Book of Psychotropic Dosing and Monitoring.《精神药物剂量与监测黑皮书》
Psychopharmacol Bull. 2024 Jul 8;54(3):8-59.
9
The Impact of Age on Gray Matter Volume Reduction in Anorexia Nervosa: A Systematic Review.年龄对神经性厌食症灰质体积减少的影响:一项系统综述。
medRxiv. 2025 Mar 4:2025.03.03.25322748. doi: 10.1101/2025.03.03.25322748.
10
Efficacy and brain modulation mechanisms of acupuncture for chronic prostatitis/chronic pelvic pain syndrome revealed by structural MRI changes.结构磁共振成像变化揭示针刺治疗慢性前列腺炎/慢性盆腔疼痛综合征的疗效及脑调节机制
Front Neurol. 2025 Jun 25;16:1579484. doi: 10.3389/fneur.2025.1579484. eCollection 2025.

本文引用的文献

1
Brain morphology in adolescent girls with first-onset anorexia nervosa.初发性神经性厌食症少女的脑形态学
Eur Child Adolesc Psychiatry. 2025 Apr 23. doi: 10.1007/s00787-025-02715-8.
2
Common and distinct neural patterns of gray matter alterations in adults with anorexia nervosa and obsessive-compulsive disorder.神经性厌食症和强迫症成年患者灰质改变的常见及独特神经模式。
Eur Arch Psychiatry Clin Neurosci. 2025 Jan 29. doi: 10.1007/s00406-024-01946-1.
3
Transient patterns of advanced brain ageing in female adolescents with anorexia nervosa.
神经性厌食症女性青少年的晚期脑衰老短暂模式。
Br J Psychiatry. 2024 Nov;225(5):499-505. doi: 10.1192/bjp.2024.119. Epub 2024 Dec 11.
4
Clinical heterogeneity of feeding and eating disorders: using personality psychopathology to differentiate "simplex" and "complex" phenotypes.喂养与进食障碍的临床异质性:利用人格精神病理学区分“单纯型”和“复杂型”表型。
BMC Psychiatry. 2024 Dec 4;24(1):888. doi: 10.1186/s12888-024-06345-3.
5
Atlas of Gray Matter Volume Differences Across Psychiatric Conditions: A Systematic Review With a Novel Meta-Analysis That Considers Co-Occurring Disorders.跨精神疾病的灰质体积差异图谱:一项纳入共病障碍的新型荟萃分析的系统评价
Biol Psychiatry. 2025 Jul 1;98(1):76-90. doi: 10.1016/j.biopsych.2024.10.020. Epub 2024 Nov 2.
6
CAT: a computational anatomy toolbox for the analysis of structural MRI data.CAT:用于分析结构磁共振成像数据的计算解剖工具箱。
Gigascience. 2024 Jan 2;13. doi: 10.1093/gigascience/giae049.
7
Borderline shades: Morphometric features predict borderline personality traits but not histrionic traits.边界阴影:形态特征可预测边缘型人格特质,但不能预测表演型人格特质。
Neuroimage Clin. 2023;40:103530. doi: 10.1016/j.nicl.2023.103530. Epub 2023 Oct 14.
8
Attachment Trauma Is Associated with White Matter Fiber Microstructural Alterations in Adolescents with Anorexia Nervosa before and after Exposure to Psychotherapeutic and Nutritional Treatment.依恋创伤与神经性厌食症青少年在接受心理治疗和营养治疗前后的白质纤维微观结构改变有关。
Brain Sci. 2023 May 14;13(5):798. doi: 10.3390/brainsci13050798.
9
A DSM-5 AMPD and ICD-11 compatible measure for an early identification of personality disorders in adolescence-LoPF-Q 12-18 latent structure and short form.DSM-5 AMPD 和 ICD-11 兼容的青少年人格障碍早期识别工具——LoPF-Q 12-18 潜结构和短式。
PLoS One. 2022 Sep 21;17(9):e0269327. doi: 10.1371/journal.pone.0269327. eCollection 2022.
10
Dynamic Structural Brain Changes in Anorexia Nervosa: A Replication Study, Mega-analysis, and Virtual Histology Approach.神经性厌食症的动态结构脑变化:一项复制研究、荟萃分析和虚拟组织学方法。
J Am Acad Child Adolesc Psychiatry. 2022 Sep;61(9):1168-1181. doi: 10.1016/j.jaac.2022.03.026. Epub 2022 Apr 4.