Suppr超能文献

以急性心力衰竭为并发症的嗜铬细胞瘤——强调急性心力衰竭的病因以指导诊断和治疗:一例病例报告

Pheochromocytoma with acute heart failure as a complication-emphasis on the etiology of acute heart failure for diagnosis and treatment: a case report.

作者信息

Wang Ke, Liang Jiayin, Shen Shenghui

机构信息

The Integrated Traditional Chinese and Western Medicine School of Clinical Medicine, Zhejiang Chinese Medical University, Hangzhou, Zhejiang, 310053, China.

Department of Cardiology, Zhejiang Academy of Traditional Chinese Medicine, Hangzhou, Zhejiang, 310012, China.

出版信息

BMC Cardiovasc Disord. 2025 Aug 14;25(1):605. doi: 10.1186/s12872-025-05044-5.

Abstract

BACKGROUND

The primary causes of heart failure include myocardial damage and structural abnormalities. In addition to cardiovascular disease, noncardiovascular disease can also lead to heart failure. Identifying these etiologies is critical for accurate diagnosis and timely, targeted treatment.

CASE PRESENTATION

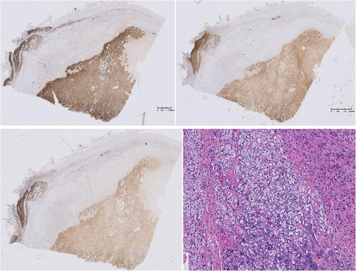
The patient presented with a 10-month history of recurrent chest tightness and shortness of breath, with symptoms significantly worsening 6 hours before admission. She was diagnosed with acute heart failure in the decompensated phase, complicated by cardiogenic shock. Stabilization was achieved via an intra-aortic balloon pump (IABP) and veno-arterial extracorporeal membrane oxygenation (VA-ECMO). Further evaluation revealed pheochromocytoma as the underlying cause of acute heart failure. The patient underwent successful surgical resection of the pheochromocytoma, with no recurrence of heart failure symptoms observed during follow-up.

CONCLUSION

Acute heart failure is a rare but critical condition with rapid onset, often presenting as an emergency. Effective management necessitates life support therapy to stabilize the patient, allowing time for further diagnostic and therapeutic measures.

摘要

背景

心力衰竭的主要病因包括心肌损伤和结构异常。除心血管疾病外,非心血管疾病也可导致心力衰竭。识别这些病因对于准确诊断和及时、有针对性的治疗至关重要。

病例介绍

该患者有10个月反复胸闷、气短病史,入院前6小时症状明显加重。她被诊断为失代偿期急性心力衰竭,并发心源性休克。通过主动脉内球囊反搏(IABP)和静脉-动脉体外膜肺氧合(VA-ECMO)实现了病情稳定。进一步评估发现嗜铬细胞瘤是急性心力衰竭的潜在病因。患者成功接受了嗜铬细胞瘤手术切除,随访期间未观察到心力衰竭症状复发。

结论

急性心力衰竭是一种罕见但危急的疾病,起病迅速,常表现为急症。有效的管理需要生命支持治疗来稳定患者病情,以便有时间采取进一步的诊断和治疗措施。

https://cdn.ncbi.nlm.nih.gov/pmc/blobs/befb/12355791/a7d52519950a/12872_2025_5044_Fig1_HTML.jpg

文献检索

告别复杂PubMed语法,用中文像聊天一样搜索,搜遍4000万医学文献。AI智能推荐,让科研检索更轻松。

立即免费搜索

文件翻译

保留排版,准确专业,支持PDF/Word/PPT等文件格式,支持 12+语言互译。

免费翻译文档

深度研究

AI帮你快速写综述,25分钟生成高质量综述,智能提取关键信息,辅助科研写作。

立即免费体验