Wu Min, Zhang Lin, Guo Weikai, Lv Shiyi, Jin Wangrui, Zhu Shuangshuang, Chen Huang, Jian Shuyi, Liu Layang, Xing Yajing, Peng Shihong, Liu Mingyao, Chen Yihua, Yi Zhengfang
East China Normal University, Shanghai Key Laboratory of Regulatory Biology, Institute of Biomedical Sciences and School of Life Sciences, Shanghai 200241, China.
Shanghai Yuyao Biotech Co., LTD., Shanghai 200241, China.
Genes Dis. 2025 Apr 15;12(6):101644. doi: 10.1016/j.gendis.2025.101644. eCollection 2025 Nov.
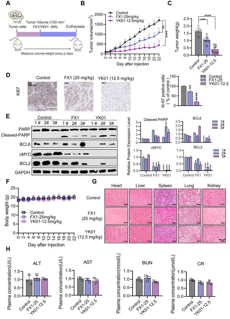
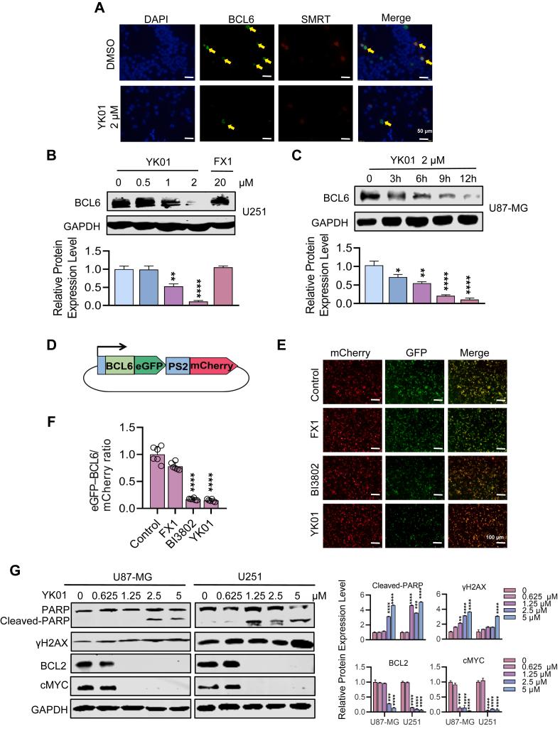
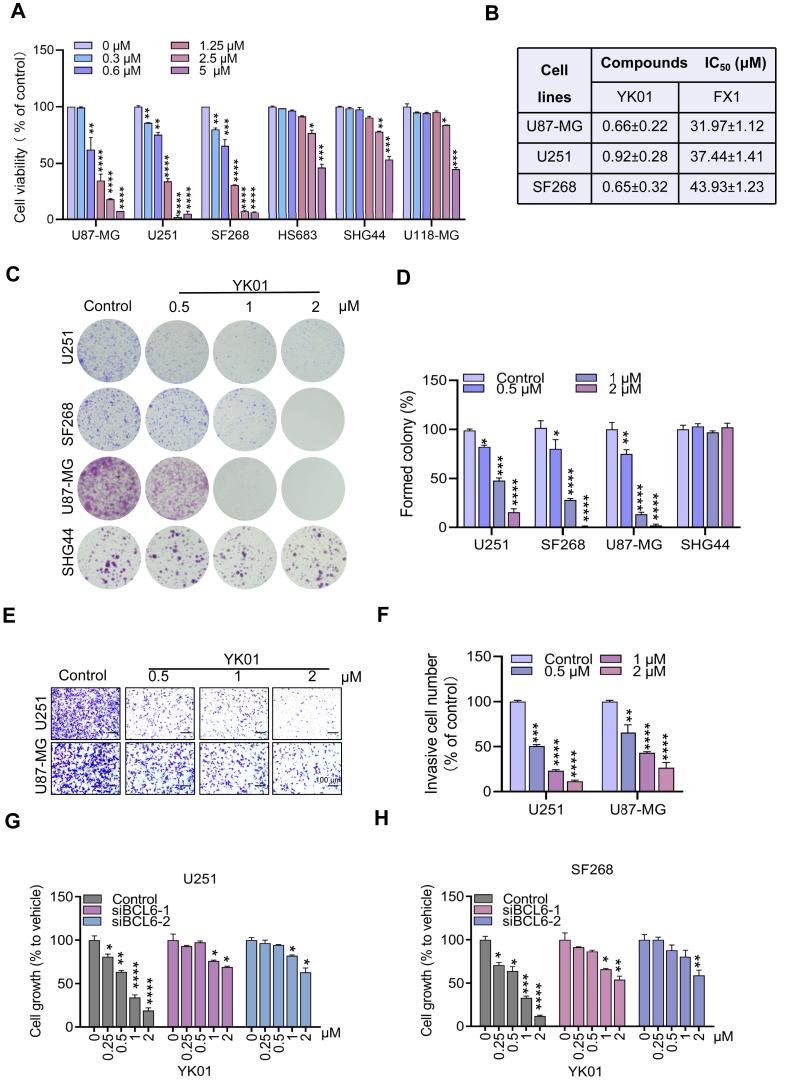
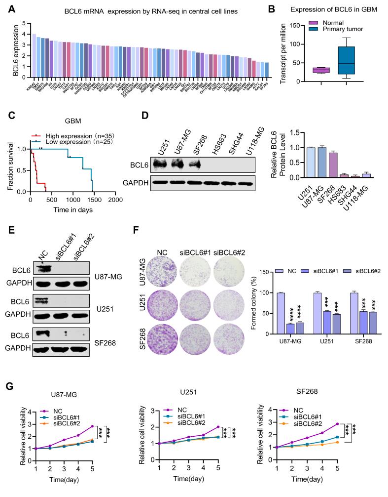
Glioblastoma multiforme (GBM) is the deadliest form of brain tumor, and effective treatments are lacking. Thus, a new generation of effective treatments is urgently needed. B-cell lymphoma 6 (BCL6) is a transcription factor that functions to suppress the transcription of DNA damage response genes, halting cell death in response to DNA damage. Here, we identified BCL6 as a lynchpin in GBM, the expression of which was greater in GBM cells than in normal cells and associated with poor survival in GBM patients. The silencing of BCL6 additionally affected GBM cell proliferation and triggered cellular damage. Furthermore, we reported the identification of YK01, a novel small-molecule inhibitor of BCL6. YK01 exhibited excellent anti-GBM bioactivity and caused apoptosis; importantly, YK01 significantly inhibited the growth of GBM cells both and . Moreover, the combination of YK01 and temozolomide treatment significantly suppressed the growth and metastasis of tumors and prolonged the survival of mice with tumors. In summary, our findings reveal that BCL6 appears to play a crucial role in GBM and may be a therapeutic target for treating this incurable condition.
多形性胶质母细胞瘤(GBM)是最致命的脑肿瘤形式,且缺乏有效的治疗方法。因此,迫切需要新一代有效的治疗方法。B细胞淋巴瘤6(BCL6)是一种转录因子,其作用是抑制DNA损伤反应基因的转录,从而在DNA损伤时阻止细胞死亡。在此,我们确定BCL6是GBM中的关键因素,其在GBM细胞中的表达高于正常细胞,且与GBM患者的不良预后相关。BCL6的沉默还会影响GBM细胞增殖并引发细胞损伤。此外,我们报告了一种新型BCL6小分子抑制剂YK01的鉴定。YK01表现出优异的抗GBM生物活性并导致细胞凋亡;重要的是,YK01在体外和体内均显著抑制GBM细胞的生长。此外,YK01与替莫唑胺联合治疗可显著抑制肿瘤的生长和转移,并延长荷瘤小鼠的生存期。总之,我们的研究结果表明,BCL6似乎在GBM中起关键作用,并可能成为治疗这种不治之症的治疗靶点。