• 文献检索
  • 文档翻译
  • 深度研究
  • 学术资讯
  • Suppr Zotero 插件Zotero 插件
  • 邀请有礼
  • 套餐&价格
  • 历史记录
应用&插件
Suppr Zotero 插件Zotero 插件浏览器插件Mac 客户端Windows 客户端微信小程序
定价
高级版会员购买积分包购买API积分包
服务
文献检索文档翻译深度研究API 文档MCP 服务
关于我们
关于 Suppr公司介绍联系我们用户协议隐私条款
关注我们

Suppr 超能文献

核心技术专利:CN118964589B侵权必究
粤ICP备2023148730 号-1Suppr @ 2026

文献检索

告别复杂PubMed语法,用中文像聊天一样搜索,搜遍4000万医学文献。AI智能推荐,让科研检索更轻松。

立即免费搜索

文件翻译

保留排版,准确专业,支持PDF/Word/PPT等文件格式,支持 12+语言互译。

免费翻译文档

深度研究

AI帮你快速写综述,25分钟生成高质量综述,智能提取关键信息,辅助科研写作。

立即免费体验

隐匿却具侵袭性:一名29岁男性膀胱肉瘤样癌病例报告,表现为膀胱皮肤瘘且无血尿

Silent but Invasive: A Case Report of a Sarcomatoid Bladder Carcinoma in a 29-Year-Old Male Presenting As Vesico-Cutaneous Fistula Without Hematuria.

作者信息

Agarwal Neeraj, Kumawat Rajesh K, Sharma Sarthak, Gupta Prashant, Jangid Dharmendra K

机构信息

Urology and Renal Transplant Surgery, Sawai Man Singh Medical College, Jaipur, IND.

出版信息

Cureus. 2025 Jul 18;17(7):e88261. doi: 10.7759/cureus.88261. eCollection 2025 Jul.

DOI:10.7759/cureus.88261
PMID:40831874
原文链接:https://pmc.ncbi.nlm.nih.gov/articles/PMC12358243/
Abstract

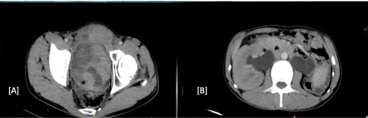
Sarcomatoid urothelial carcinoma (SUC) is a rare and aggressive variant of urinary bladder cancer and is associated with a poor prognosis. This case report presents the unusual case of a 29-year-old male who presented with a vesicocutaneous fistula causing continuous suprapubic urine leakage for four months following a previous bladder surgery for a vesical calculus. This patient had no history of hematuria, which is a common symptom of bladder cancer. Investigations, including contrast-enhanced computed tomography (CECT) and 18F-fluorodeoxyglucose (FDG) positron emission tomography-computed tomography (PET-CT), revealed a large, locally advanced bladder mass infiltrating the anterior abdominal wall with a vesicocutaneous fistula. The patient underwent a radical cystoprostatectomy, wide local excision of the fistulous tract, bilateral pelvic lymph node dissection, right cutaneous ureterostomy, and abdominal wall reconstruction with a pedicled anterolateral thigh flap. Histopathology confirmed poorly differentiated SUC. This case is unique due to the patient's young age, the atypical presentation with a vesicocutaneous fistula without hematuria, and the sarcomatoid histology. It highlights the aggressive nature of SUC, its potential for unusual presentations that can delay diagnosis, and the necessity of considering bladder cancer in young patients with urinary fistulas, even without hematuria. Radical surgery with meticulous reconstruction offers the best chance for disease control in such complex scenarios, emphasizing the importance of early suspicion and multidisciplinary management.

摘要

肉瘤样尿路上皮癌(SUC)是膀胱癌一种罕见且侵袭性强的变异类型,预后较差。本病例报告呈现了一名29岁男性的不寻常病例,该患者在先前因膀胱结石进行膀胱手术后出现膀胱皮肤瘘,导致耻骨上持续漏尿四个月。该患者无血尿病史,而血尿是膀胱癌的常见症状。包括增强计算机断层扫描(CECT)和18F-氟脱氧葡萄糖(FDG)正电子发射断层扫描-计算机断层扫描(PET-CT)在内的检查显示,有一个巨大的、局部进展性膀胱肿块,侵犯前腹壁并伴有膀胱皮肤瘘。患者接受了根治性膀胱前列腺切除术、瘘管广泛局部切除术、双侧盆腔淋巴结清扫术、右侧皮肤输尿管造口术以及带蒂股前外侧皮瓣腹壁重建术。组织病理学证实为低分化SUC。该病例独特之处在于患者年轻、无血尿的膀胱皮肤瘘非典型表现以及肉瘤样组织学特征。它突出了SUC的侵袭性本质、其可能出现延迟诊断的不寻常表现,以及在即使无血尿的年轻尿瘘患者中考虑膀胱癌的必要性。在这种复杂情况下,精心重建的根治性手术为疾病控制提供了最佳机会,强调了早期怀疑和多学科管理的重要性。

https://cdn.ncbi.nlm.nih.gov/pmc/blobs/e783/12358243/df61de54f1e0/cureus-0017-00000088261-i05.jpg
https://cdn.ncbi.nlm.nih.gov/pmc/blobs/e783/12358243/045ac6729a6c/cureus-0017-00000088261-i01.jpg
https://cdn.ncbi.nlm.nih.gov/pmc/blobs/e783/12358243/0af14d18f363/cureus-0017-00000088261-i02.jpg
https://cdn.ncbi.nlm.nih.gov/pmc/blobs/e783/12358243/1bae867ac63b/cureus-0017-00000088261-i03.jpg
https://cdn.ncbi.nlm.nih.gov/pmc/blobs/e783/12358243/b164f05717c4/cureus-0017-00000088261-i04.jpg
https://cdn.ncbi.nlm.nih.gov/pmc/blobs/e783/12358243/df61de54f1e0/cureus-0017-00000088261-i05.jpg
https://cdn.ncbi.nlm.nih.gov/pmc/blobs/e783/12358243/045ac6729a6c/cureus-0017-00000088261-i01.jpg
https://cdn.ncbi.nlm.nih.gov/pmc/blobs/e783/12358243/0af14d18f363/cureus-0017-00000088261-i02.jpg
https://cdn.ncbi.nlm.nih.gov/pmc/blobs/e783/12358243/1bae867ac63b/cureus-0017-00000088261-i03.jpg
https://cdn.ncbi.nlm.nih.gov/pmc/blobs/e783/12358243/b164f05717c4/cureus-0017-00000088261-i04.jpg
https://cdn.ncbi.nlm.nih.gov/pmc/blobs/e783/12358243/df61de54f1e0/cureus-0017-00000088261-i05.jpg

相似文献

1
Silent but Invasive: A Case Report of a Sarcomatoid Bladder Carcinoma in a 29-Year-Old Male Presenting As Vesico-Cutaneous Fistula Without Hematuria.隐匿却具侵袭性:一名29岁男性膀胱肉瘤样癌病例报告,表现为膀胱皮肤瘘且无血尿
Cureus. 2025 Jul 18;17(7):e88261. doi: 10.7759/cureus.88261. eCollection 2025 Jul.
2
Prescription of Controlled Substances: Benefits and Risks管制药品的处方:益处与风险
3
Management of urinary stones by experts in stone disease (ESD 2025).结石病专家对尿路结石的管理(2025年结石病专家共识)
Arch Ital Urol Androl. 2025 Jun 30;97(2):14085. doi: 10.4081/aiua.2025.14085.
4
123I-MIBG scintigraphy and 18F-FDG-PET imaging for diagnosing neuroblastoma.用于诊断神经母细胞瘤的123I-间碘苄胍闪烁扫描术和18F-氟代脱氧葡萄糖正电子发射断层显像
Cochrane Database Syst Rev. 2015 Sep 29;2015(9):CD009263. doi: 10.1002/14651858.CD009263.pub2.
5
The recurrence and multi-organ involvement of giant penile plexiform neurofibroma in an adult with neurofibromatosis type 1: a case report.1型神经纤维瘤病成年患者巨大阴茎丛状神经纤维瘤的复发及多器官累及:病例报告
BMC Urol. 2025 Jul 21;25(1):180. doi: 10.1186/s12894-025-01881-w.
6
Invasive urodynamic investigations in the management of women with refractory overactive bladder symptoms: FUTURE, a superiority RCT and economic evaluation.侵入性尿动力学检查在难治性膀胱过度活动症女性患者管理中的应用:FUTURE,一项优效性随机对照试验及经济学评估
Health Technol Assess. 2025 Jul;29(27):1-139. doi: 10.3310/UKYW4923.
7
Urine Gram Stain in the Early Detection of an Enterovesical Fistula.尿革兰氏染色在膀胱肠道瘘早期检测中的应用
Cureus. 2025 Jul 15;17(7):e88038. doi: 10.7759/cureus.88038. eCollection 2025 Jul.
8
Bladder endometriosis in a patient with undirected manifestations: a case report.一例表现不典型的膀胱子宫内膜异位症患者:病例报告
J Med Case Rep. 2025 Jun 19;19(1):286. doi: 10.1186/s13256-025-05337-5.
9
Treatment Outcomes and Patterns of Disease Recurrence of Patients with Carcinoma of the Buccal Mucosa.颊黏膜癌患者的治疗结果与疾病复发模式
Indian J Otolaryngol Head Neck Surg. 2024 Dec;76(6):5209-5220. doi: 10.1007/s12070-024-04948-6. Epub 2024 Aug 30.
10
Supratrigonal systectomy: last line treatment for radiation-induced hemorrhagic cystitis.膀胱三角上切除术:放射性出血性膀胱炎的最后一线治疗方法。
Arch Ital Urol Androl. 2025 Jun 30;97(2):13492. doi: 10.4081/aiua.2025.13492. Epub 2025 May 26.

本文引用的文献

1
Robot-Assisted Radical Cystectomy for Invasive Bladder Cancer With Vesicovaginal Fistula: A Case Report.机器人辅助根治性膀胱切除术治疗浸润性膀胱癌合并膀胱阴道瘘:一例报告
Cureus. 2024 Jul 24;16(7):e65234. doi: 10.7759/cureus.65234. eCollection 2024 Jul.
2
Sarcomatoid Urothelial Carcinoma Is Associated With Limited Response to Neoadjuvant Chemotherapy and Poor Oncologic Outcomes After Radical Cystectomy.肉瘤样尿路上皮癌与新辅助化疗的有限反应相关,并在根治性膀胱切除术后导致较差的肿瘤学结局。
Clin Genitourin Cancer. 2023 Aug;21(4):507.e1-507.e14. doi: 10.1016/j.clgc.2023.03.015. Epub 2023 Apr 4.
3
Sarcomatoid variant urothelial carcinoma of the bladder: a systematic review and meta-analysis of the clinicopathological features and survival outcomes.
膀胱肉瘤样变型尿路上皮癌:临床病理特征及生存结局的系统评价和荟萃分析
Cancer Cell Int. 2020 Nov 14;20(1):550. doi: 10.1186/s12935-020-01626-9.
4
What Is the Significance of Variant Histology in Urothelial Carcinoma?尿路上皮癌中变异组织学的意义是什么?
Eur Urol Focus. 2020 Jul 15;6(4):653-663. doi: 10.1016/j.euf.2019.09.003. Epub 2019 Sep 15.
5
Clinical features of sarcomatoid carcinoma (carcinosarcoma) of the urinary bladder: analysis of 221 cases.膀胱肉瘤样癌(癌肉瘤)的临床特征:221例分析
Sarcoma. 2010;2010. doi: 10.1155/2010/454792. Epub 2010 Jul 18.
6
Differences in survival among patients with sarcomatoid carcinoma, carcinosarcoma and urothelial carcinoma of the bladder.膀胱肉瘤样癌、癌肉瘤和尿路上皮癌患者的生存差异。
J Urol. 2007 Dec;178(6):2302-6; discussion 2307. doi: 10.1016/j.juro.2007.08.038. Epub 2007 Oct 15.